Suppr超能文献

JMJD3 无规则结构域将 3D 基因组结构与 TGFβ 依赖的转录激活联系起来。

JMJD3 intrinsically disordered region links the 3D-genome structure to TGFβ-dependent transcription activation.

机构信息

Department of Molecular Genomics, Instituto de Biología Molecular de Barcelona (IBMB), Consejo Superior de Investigaciones Científicas (CSIC), Barcelona, 08028, Spain.

Department of Chemical and Systems Biology, Stanford School of Medicine, Stanford University, Stanford, CA, 94305, USA.

出版信息

Nat Commun. 2022 Jun 7;13(1):3263. doi: 10.1038/s41467-022-30614-y.

Abstract

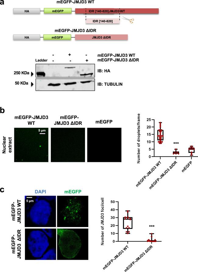
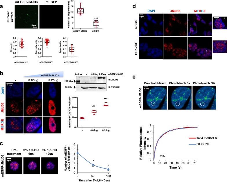
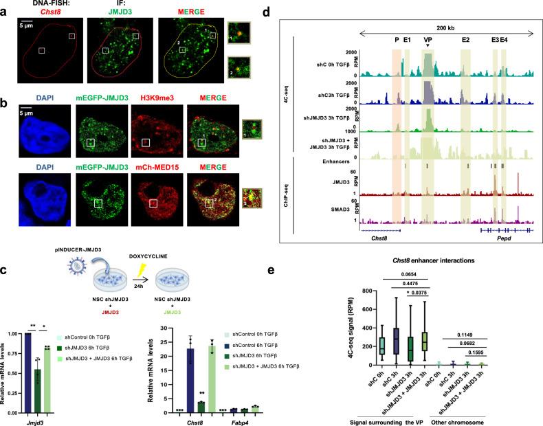
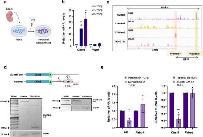
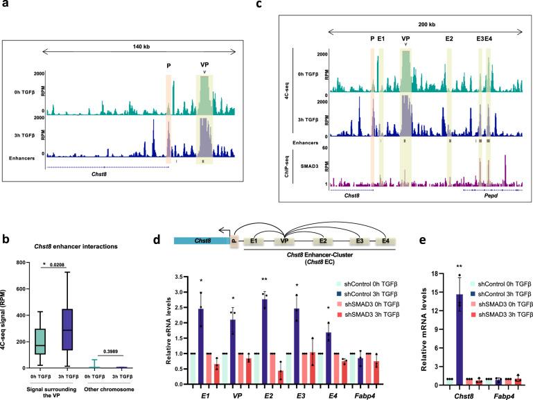
Enhancers are key regulatory elements that govern gene expression programs in response to developmental signals. However, how multiple enhancers arrange in the 3D-space to control the activation of a specific promoter remains unclear. To address this question, we exploited our previously characterized TGFβ-response model, the neural stem cells, focusing on a ~374 kb locus where enhancers abound. Our 4C-seq experiments reveal that the TGFβ pathway drives the assembly of an enhancer-cluster and precise gene activation. We discover that the TGFβ pathway coactivator JMJD3 is essential to maintain these structures. Using live-cell imaging techniques, we demonstrate that an intrinsically disordered region contained in JMJD3 is involved in the formation of phase-separated biomolecular condensates, which are found in the enhancer-cluster. Overall, in this work we uncover novel functions for the coactivator JMJD3, and we shed light on the relationships between the 3D-conformation of the chromatin and the TGFβ-driven response during mammalian neurogenesis.

摘要

增强子是关键的调控元件,可响应发育信号调节基因表达程序。然而,多个增强子如何在 3D 空间中排列以控制特定启动子的激活仍不清楚。为了解决这个问题,我们利用之前表征的 TGFβ 反应模型——神经干细胞,集中研究一个富含增强子的约 374kb 基因座。我们的 4C-seq 实验揭示了 TGFβ 途径驱动增强子簇的组装和精确的基因激活。我们发现 TGFβ 途径共激活因子 JMJD3 对于维持这些结构至关重要。使用活细胞成像技术,我们证明 JMJD3 中包含的一个固有无序区域参与了存在于增强子簇中的相分离生物分子凝聚体的形成。总的来说,在这项工作中,我们揭示了共激活因子 JMJD3 的新功能,并阐明了哺乳动物神经发生过程中染色质的 3D 构象与 TGFβ 驱动反应之间的关系。

https://cdn.ncbi.nlm.nih.gov/pmc/blobs/1c49/9174158/76f7eeeafc17/41467_2022_30614_Fig1_HTML.jpg

文献AI研究员

20分钟写一篇综述,助力文献阅读效率提升50倍。

立即体验

用中文搜PubMed

大模型驱动的PubMed中文搜索引擎

马上搜索

文档翻译

学术文献翻译模型,支持多种主流文档格式。

立即体验