Suppr超能文献

克服对检查点抑制剂的耐药性:非小细胞肺癌中的自然杀伤细胞

Overcoming Resistance to Checkpoint Inhibitors: Natural Killer Cells in Non-Small Cell Lung Cancer.

作者信息

Gemelli Maria, Noonan Douglas M, Carlini Valentina, Pelosi Giuseppe, Barberis Massimo, Ricotta Riccardo, Albini Adriana

机构信息

Istituto di Ricovero e Cura a Carattere Scientifico (IRCCS) MultiMedica, Milan, Italy.

Istituto di Ricovero e Cura a Carattere Scientifico (IRCCS) MultiMedica Science and Technology Park, Milan, Italy.

出版信息

Front Oncol. 2022 May 31;12:886440. doi: 10.3389/fonc.2022.886440. eCollection 2022.

Abstract

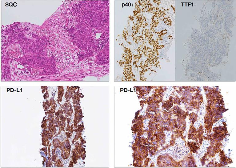
Immune checkpoint inhibitors (ICIs) have revolutionized cancer treatments over the last 10 years, with even increasing indications in many neoplasms. Non-small cell lung cancer (NSCLC) is considered highly immunogenic, and ICIs have found a wide set of applications in this area, in both early and advanced lines of treatment, significantly changing the prognosis of these patients. Unfortunately, not all patients can benefit from the treatment, and resistance to ICIs can develop at any time. In addition to T lymphocytes, which are the major target, a variety of other cells present in the tumor microenvironment (TME) act in a complex cross-talk between tumor, stromal, and immune cells. An imbalance between activating and inhibitory signals can shift TME from an "anti-" to a "pro-tumorigenic" phenotype and vice versa. Natural killer cells (NKs) are able to recognize cancer cells, based on MHC I (self and non-self) and independently from antigen presentation. They represent an important link between innate and adaptive immune responses. Little data are available about the role of pro-inflammatory NKs in NSCLC and how they can influence the response to ICIs. NKs express several ligands of the checkpoint family, such as PD-1, TIGIT, TIM-3, LAG3, CD96, IL1R8, and NKG2A. We and others have shown that TME can also shape NKs, converting them into a pro-tumoral, pro-angiogenic "nurturing" phenotype through "decidualization." The features of these NKs include expression of CD56, CD9, CD49a, and CXCR3; low CD16; and poor cytotoxicity. During ICI therapy, tumor-infiltrating or associated NKs can respond to the inhibitors or counteract the effect by acting as pro-inflammatory. There is a growing interest in NKs as a promising therapeutic target, as a basis for adoptive therapy and chimeric antigen receptor (CAR)-NK technology. In this review, we analyzed current evidence on NK function in NSCLC, focusing on their possible influence in response to ICI treatment and resistance development, addressing their prognostic and predictive roles and the rationale for exploiting NKs as a tool to overcome resistance in NSCLC, and envisaging a way to repolarize decidual NK (dNK)-like cells in lung cancer.

摘要

在过去十年中,免疫检查点抑制剂(ICI)彻底改变了癌症治疗方式,在许多肿瘤中的适应证甚至还在不断增加。非小细胞肺癌(NSCLC)被认为具有高度免疫原性,ICI在该领域已得到广泛应用,涵盖早期和晚期治疗阶段,显著改变了这些患者的预后。不幸的是,并非所有患者都能从治疗中获益,而且对ICI的耐药可能在任何时候出现。除了作为主要靶点的T淋巴细胞外,肿瘤微环境(TME)中存在的多种其他细胞在肿瘤、基质和免疫细胞之间进行复杂的相互作用。激活信号和抑制信号之间的失衡可使TME从“抗肿瘤”表型转变为“促肿瘤发生”表型,反之亦然。自然杀伤细胞(NK)能够基于MHC I(自身和非自身)识别癌细胞,且不依赖于抗原呈递。它们是先天免疫和适应性免疫反应之间的重要联系。关于促炎性NK在NSCLC中的作用以及它们如何影响对ICI的反应,目前的数据很少。NK表达多种检查点家族的配体,如PD-1、TIGIT、TIM-3、LAG3、CD96、IL1R8和NKG2A。我们和其他人已经表明,TME也可以塑造NK,通过“蜕膜化”将它们转化为促肿瘤、促血管生成的“滋养”表型。这些NK的特征包括CD56、CD9、CD49a和CXCR3的表达;低CD16;以及低细胞毒性。在ICI治疗期间,肿瘤浸润或相关的NK可以对抑制剂做出反应,或者通过发挥促炎作用抵消其效果。作为过继性治疗和嵌合抗原受体(CAR)-NK技术的基础,NK作为一个有前景的治疗靶点越来越受到关注。在这篇综述中,我们分析了目前关于NK在NSCLC中的功能的证据,重点关注它们对ICI治疗反应和耐药发展的可能影响,探讨它们的预后和预测作用以及将NK作为克服NSCLC耐药的工具的基本原理,并设想一种使肺癌中蜕膜样NK(dNK)细胞重新极化的方法。

https://cdn.ncbi.nlm.nih.gov/pmc/blobs/0f23/9194506/04e31b51518d/fonc-12-886440-g001.jpg

文献AI研究员

20分钟写一篇综述,助力文献阅读效率提升50倍。

立即体验

用中文搜PubMed

大模型驱动的PubMed中文搜索引擎

马上搜索

文档翻译

学术文献翻译模型,支持多种主流文档格式。

立即体验