Suppr超能文献

从促红细胞生成素在实验性恰加斯病中的应用得到的启示。

Insights from the use of erythropoietin in experimental Chagas disease.

机构信息

Interdisciplinary Laboratory of Biosciences, Faculty of Medicine, University of Brasilia, Brasília, Brazil.

Laboratory of Veterinary Clinical Pathology, Faculty of Agronomy and Veterinary Medicine, University of Brasília, Brasília, Brazil.

出版信息

Int J Parasitol Drugs Drug Resist. 2022 Aug;19:65-80. doi: 10.1016/j.ijpddr.2022.05.005. Epub 2022 Jun 17.

Abstract

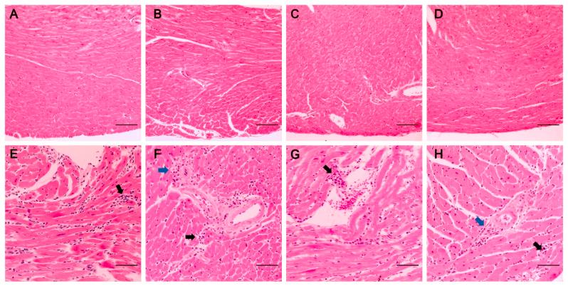
In addition to the long-established role in erythropoiesis, erythropoietin (Epo) has protective functions in a variety of tissues, including the heart. This is the most affected organ in chronic Chagas disease, caused by the protozoan Trypanosoma cruzi. Despite seven million people being infected with T. cruzi worldwide, there is no effective treatment preventing the disease progression to the chronic phase when the pathological involvement of the heart is often observed. Chronic chagasic cardiomyopathy has a wide variety of manifestations, like left ventricular systolic dysfunction, dilated cardiomyopathy, and heart failure. Since Epo may help maintain cardiac function by reducing myocardial necrosis, inflammation, and fibrosis, this study aimed to evaluate whether the Epo has positive effects on experimental Chagas disease. For that, we assessed the earlier (acute phase) and also the later (chronic phase) use of Epo in infected C57BL/6 mice. Blood cell count, biochemical parameters, parasitic load, and echocardiography data were evaluated. In addition, histopathological analysis was carried out. Our data showed that Epo had no trypanocide effect nor did it modify the production of anti-T. cruzi antibodies. Epo-treated groups exhibited parasitic burden much lower in the heart compared to blood. No pattern of hematological changes was observed combining infection with treatment with Epo. Chronic Epo administration reduced CK-MB serum activity from d0 to d180, irrespectively of T. cruzi infection. Likewise, echocardiography and histological results indicate that Epo treatment is more effective in the chronic phase of experimental Chagas disease. Since treatment is one of the greatest challenges of Chagas disease, alternative therapies should be investigated, including Epo combined with benznidazole.

摘要

除了在红细胞生成中的长期作用外,促红细胞生成素 (Epo) 在包括心脏在内的多种组织中具有保护功能。这是由原生动物克氏锥虫引起的慢性恰加斯病最受影响的器官。尽管全世界有 700 万人感染了克氏锥虫,但目前尚无有效的治疗方法可以预防疾病进展到慢性期,此时通常会观察到心脏的病理性受累。慢性恰加斯心肌病有多种表现形式,如左心室收缩功能障碍、扩张型心肌病和心力衰竭。由于 Epo 通过减少心肌坏死、炎症和纤维化来帮助维持心脏功能,因此本研究旨在评估 Epo 对实验性恰加斯病是否有积极影响。为此,我们评估了感染 C57BL/6 小鼠的早期(急性期)和晚期(慢性期)使用 Epo 的情况。评估了血细胞计数、生化参数、寄生虫载量和超声心动图数据。此外,还进行了组织病理学分析。我们的数据表明,Epo 没有杀锥虫作用,也没有改变抗克氏锥虫抗体的产生。与感染相比,Epo 治疗组心脏中的寄生虫负荷要低得多。未观察到感染与 Epo 联合治疗引起的血液学变化模式。慢性 Epo 给药可降低 CK-MB 血清活性,从 d0 到 d180,而与克氏锥虫感染无关。同样,超声心动图和组织学结果表明,Epo 治疗在实验性恰加斯病的慢性期更有效。由于治疗是恰加斯病最大的挑战之一,因此应研究替代疗法,包括 Epo 与苯并咪唑联合治疗。

https://cdn.ncbi.nlm.nih.gov/pmc/blobs/ae72/9253553/332bc74887fe/ga1.jpg

文献AI研究员

20分钟写一篇综述,助力文献阅读效率提升50倍。

立即体验

用中文搜PubMed

大模型驱动的PubMed中文搜索引擎

马上搜索

文档翻译

学术文献翻译模型,支持多种主流文档格式。

立即体验