Suppr超能文献

西达本胺与维奈托克通过上调 BIM 表达协同发挥对多发性骨髓瘤的细胞毒性作用。

Chidamide and venetoclax synergistically exert cytotoxicity on multiple myeloma by upregulating BIM expression.

机构信息

Bone Marrow Transplantation Center, The First Affiliated Hospital, Zhejiang University School of Medicine, No. 79 Qingchun Rd, Hangzhou, 310003, Zhejiang, China.

Institute of Hematology, Zhejiang University, Hangzhou, China.

出版信息

Clin Epigenetics. 2022 Jul 7;14(1):84. doi: 10.1186/s13148-022-01306-7.

Abstract

BACKGROUND

Multiple myeloma (MM) is the second most common hematologic malignancy with almost all patients eventually having relapse or refractory MM (RRMM), thus novel drugs or combination therapies are needed for improved prognosis. Chidamide and venetoclax, which target histone deacetylase and BCL2, respectively, are two promising agents for the treatment of RRMM.

RESULTS

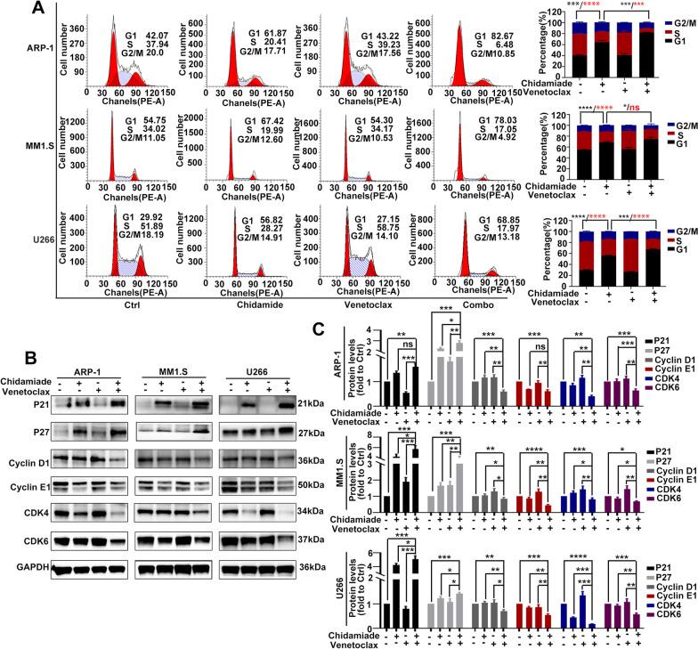
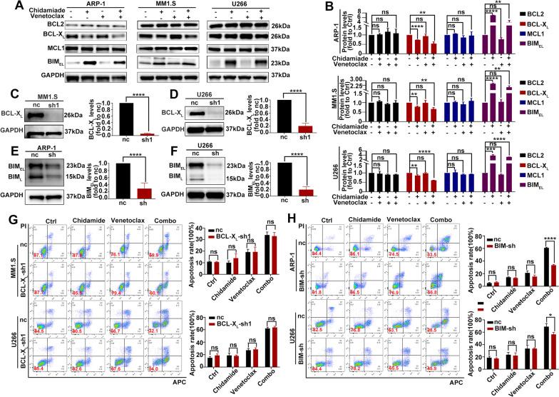
Herein, we found that chidamide and venetoclax synergistically exert an anti-myeloma effect in vitro in human myeloma cell lines (HMCLs) with a combination index (CI) < 1. Moreover, the synergistic anti-myeloma effect of these two drugs was demonstrated in primary MM cells and MM xenograft mice. Mechanistically, co-exposure to chidamide and venetoclax led to cell cycle arrest at G0/G1 and a sharp increase in DNA double-strand breaks. In addition, the combination of chidamide and venetoclax resulted in BCL-X downregulation and BIM upregulation, and the latter protein was proved to play a critical role in sensitizing HMCLs to co-treatment.

CONCLUSION

In conclusion, these results proved the high therapeutic potential of venetoclax and chidamide combination in curing MM, representing a potent and alternative salvage therapy for the treatment of RRMM.

摘要

背景

多发性骨髓瘤(MM)是第二大常见血液系统恶性肿瘤,几乎所有患者最终都会出现复发或难治性 MM(RRMM),因此需要新型药物或联合治疗方案来改善预后。组蛋白去乙酰化酶抑制剂西达本胺和 BCL2 抑制剂维奈托克分别是治疗 RRMM 的两种有前途的药物。

结果

本研究发现,西达本胺和维奈托克在体外协同作用于人骨髓瘤细胞系(HMCLs),具有低于 1 的组合指数(CI)。此外,这两种药物在原发性 MM 细胞和 MM 异种移植小鼠中表现出协同抗骨髓瘤作用。机制上,西达本胺和维奈托克联合用药导致细胞周期停滞在 G0/G1 期,并导致 DNA 双链断裂急剧增加。此外,西达本胺和维奈托克的联合用药导致 BCL-X 下调和 BIM 上调,后者蛋白被证明在使 HMCLs 对联合治疗敏感方面发挥关键作用。

结论

总之,这些结果证明了维奈托克和西达本胺联合治疗 MM 的高治疗潜力,为 RRMM 的治疗提供了一种有效的、可供选择的挽救治疗方案。

https://cdn.ncbi.nlm.nih.gov/pmc/blobs/90ee/9264603/6cfb2aaadfd1/13148_2022_1306_Fig1_HTML.jpg

文献AI研究员

20分钟写一篇综述,助力文献阅读效率提升50倍。

立即体验

用中文搜PubMed

大模型驱动的PubMed中文搜索引擎

马上搜索

文档翻译

学术文献翻译模型,支持多种主流文档格式。

立即体验