Suppr超能文献

部分内皮型一氧化氮合酶缺乏症加重阿尔茨海默病 APPswe/PS1ΔE9 小鼠模型的认知缺陷和淀粉样蛋白病理学。

Partial Endothelial Nitric Oxide Synthase Deficiency Exacerbates Cognitive Deficit and Amyloid Pathology in the APPswe/PS1ΔE9 Mouse Model of Alzheimer's Disease.

机构信息

Department of Anatomy, School of Biomedical Sciences, Brain Health Research Centre, University of Otago, Dunedin 9054, New Zealand.

Department of Psychology, Brain Health Research Centre, University of Otago, Dunedin 9054, New Zealand.

出版信息

Int J Mol Sci. 2022 Jun 30;23(13):7316. doi: 10.3390/ijms23137316.

Abstract

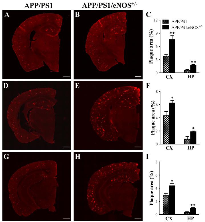
Increasing evidence implicates endothelial dysfunction in the pathogenesis of Alzheimer's disease (AD). Nitric oxide (NO) derived from endothelial NO synthase (eNOS) is essential in maintaining cerebrovascular function and can modulate the production and clearance of amyloid beta (Aβ). APPswe/PSdE1 (APP/PS1) mice display age-related Aβ accumulation and memory deficits. In order to make the model more clinically relevant with an element of endothelial dysfunction, we generated APP/PS1/eNOS mice by crossing complete eNOS deficient (eNOS) mice and APP/PS1 mice. APP/PS1/eNOS mice at 8 months of age displayed a more severe spatial working memory deficit relative to age-matched APP/PS1 mice. Moreover, immunohistochemistry and immunoblotting revealed significantly increased Aβ plaque load in the brains of APP/PS1/eNOS mice, concomitant with upregulated BACE-1 (hence increased Aβ production), downregulated insulin-degrading enzyme (hence reduced Aβ clearance) and increased immunoreactivity and expression of microglia. The present study, for the first time, demonstrated that partial eNOS deficiency exacerbated behavioral dysfunction, Aβ brain deposition, and microglial pathology in APP/PS1 mice, further implicating endothelial dysfunction in the pathogenesis of AD. The present findings also provide the scientific basis for developing preventive and/or therapeutic strategies by targeting endothelial dysfunction.

摘要

越来越多的证据表明内皮功能障碍与阿尔茨海默病(AD)的发病机制有关。内皮型一氧化氮合酶(eNOS)产生的一氧化氮(NO)对于维持脑血管功能至关重要,并且可以调节淀粉样β(Aβ)的产生和清除。APPswe/PSdE1(APP/PS1)小鼠表现出与年龄相关的 Aβ 积累和记忆缺陷。为了使模型更具临床相关性并具有内皮功能障碍的元素,我们通过将完全缺乏 eNOS(eNOS)的小鼠与 APP/PS1 小鼠杂交,生成了 APP/PS1/eNOS 小鼠。与年龄匹配的 APP/PS1 小鼠相比,8 月龄的 APP/PS1/eNOS 小鼠表现出更严重的空间工作记忆缺陷。此外,免疫组织化学和免疫印迹显示 APP/PS1/eNOS 小鼠大脑中的 Aβ 斑块负荷显着增加,同时 BACE-1 上调(因此 Aβ 产生增加),胰岛素降解酶下调(因此 Aβ 清除减少)和小胶质细胞的免疫反应性和表达增加。本研究首次表明,部分 eNOS 缺乏症加剧了 APP/PS1 小鼠的行为功能障碍、Aβ 脑沉积和小胶质细胞病理学,进一步表明内皮功能障碍与 AD 的发病机制有关。本研究结果还为通过靶向内皮功能障碍开发预防和/或治疗策略提供了科学依据。

https://cdn.ncbi.nlm.nih.gov/pmc/blobs/ddb2/9266765/170f610609f6/ijms-23-07316-g001.jpg

文献AI研究员

20分钟写一篇综述,助力文献阅读效率提升50倍。

立即体验

用中文搜PubMed

大模型驱动的PubMed中文搜索引擎

马上搜索

文档翻译

学术文献翻译模型,支持多种主流文档格式。

立即体验