Suppr超能文献

METTL14 介导的 MN1 mRNA 转录后修饰促进骨肉瘤的致瘤性和全反式维甲酸耐药性。

METTL14-mediated epitranscriptome modification of MN1 mRNA promote tumorigenicity and all-trans-retinoic acid resistance in osteosarcoma.

机构信息

Department of Musculoskeletal Oncology, The First Affiliated Hospital of Sun Yat-sen University, Guangzhou 510080, China; Guangdong Provincial Key Laboratory of Orthopedics and Traumatology, The First Affiliated Hospital of Sun Yat-sen University, Guangzhou 510080, China.

Department of Integrative Biology & Pharmacology, McGovern Medical School, University of Texas Health Science Center at Houston, TX 77030-1501, US.

出版信息

EBioMedicine. 2022 Aug;82:104142. doi: 10.1016/j.ebiom.2022.104142. Epub 2022 Jul 7.

Abstract

BACKGROUND

Osteosarcoma (OS) is the most common primary malignant bone tumor in adolescents. The molecular mechanism behind OS progression and metastasis remains poorly understood, which limits the effectiveness of current therapies. RNA N-methyladenosine (mA) modification plays a critical role in influencing RNA fate. However, the biological significance of mA modification and its potential regulatory mechanisms in the development of OS remain unclear.

METHODS

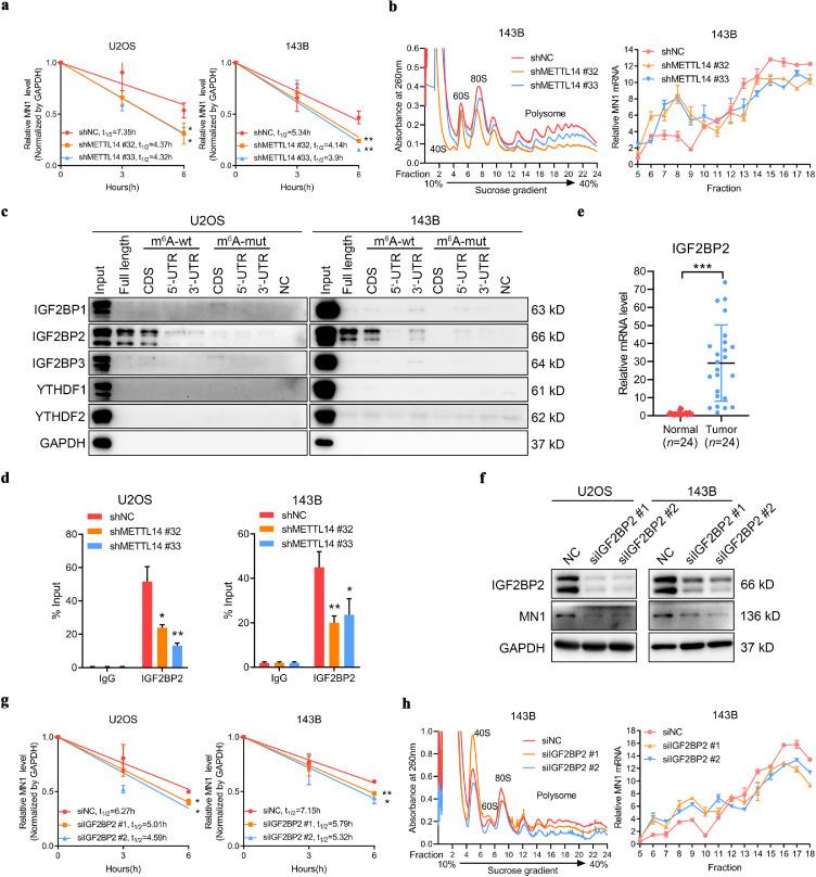
Liquid chromatography-tandem mass spectrometry (LC-MS/MS), dot blotting, and colorimetric ELISA were used to detect mA levels. Western blotting, quantitative real-time PCR (RT-qPCR) and immunohistochemistry (IHC) were used to investigate METTL14 expression levels. Methylated RNA immunoprecipitation sequencing (MeRIP-seq) and transcriptomic RNA sequencing (RNA-seq) were used to screen the target genes of METTL14. RNA pull-down and RNA immunoprecipitation (RIP) assays were conducted to explore the specific binding of target genes and relevant mA "readers". RNA stability and polysome analysis assays were used to detect the half-lives and translation efficiencies of the downstream genes of METTL14. IHC and clinical data were applied to explore the clinical correlations of METTL14 and its downstream target genes with the prognosis of OS.

FINDINGS

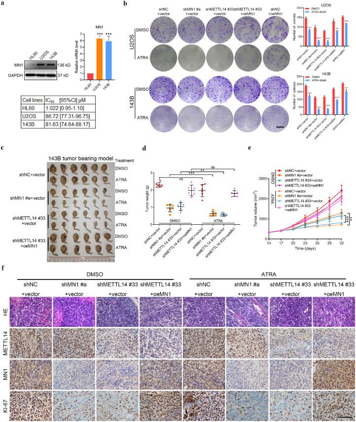
We observed the abundance of mA modifications in OS and revealed that METTL14 plays an oncogenic role in facilitating OS progression. MeRIP-seq and RNA-seq revealed that MN1 is a downstream gene of METTL14. MN1 contributes to tumor progression and all-trans-retinoic acid (ATRA) chemotherapy resistance in OS. Mechanistically, MN1 is methylated by METTL14, specifically in the coding sequence (CDS) regions, and this modification is recognized by the specific mA reader insulin-like growth factor 2 mRNA binding protein 2 (IGF2BP2) to prevent MN1 mRNA degradation and promote it translation efficiency. IHC showed that MN1 expression was positively correlated with METTL14 and IGF2BP2 expression in OS tissues. The METTL14-IGF2BP2-MN1 panel demonstrated more promising prognostic value for OS patients than any of these molecules individually.

INTERPRETATION

Our study revealed that METTL14 contributes to OS progression and ATRA resistance as an mA RNA methylase by regulating the stability and translation efficiency of MN1 and thus provides both an underlying biomarker panel for prognosis prediction in OS patients.

FUNDING

This work was supported by the National Natural Science Foundation of China (Grants 81972510 and 81772864).

摘要

背景

骨肉瘤(OS)是青少年中最常见的原发性恶性骨肿瘤。OS 进展和转移的分子机制仍知之甚少,这限制了目前治疗方法的效果。RNA N6-甲基腺苷(mA)修饰在影响 RNA 命运方面起着关键作用。然而,mA 修饰的生物学意义及其在 OS 发展中的潜在调节机制尚不清楚。

方法

采用液相色谱-串联质谱(LC-MS/MS)、斑点印迹和比色 ELISA 检测 mA 水平。Western blot、实时定量 PCR(RT-qPCR)和免疫组织化学(IHC)检测 METTL14 表达水平。甲基化 RNA 免疫沉淀测序(MeRIP-seq)和转录组 RNA 测序(RNA-seq)筛选 METTL14 的靶基因。RNA 下拉和 RNA 免疫沉淀(RIP)实验检测靶基因与相关 mA“阅读器”的特异性结合。RNA 稳定性和多核糖体分析实验检测 METTL14 下游基因的半衰期和翻译效率。IHC 和临床数据用于研究 METTL14 及其下游靶基因与 OS 预后的临床相关性。

结果

我们观察到 OS 中 mA 修饰的丰度,并揭示 METTL14 通过促进 OS 进展发挥致癌作用。MeRIP-seq 和 RNA-seq 显示 MN1 是 METTL14 的下游基因。MN1 促进 OS 肿瘤进展和全反式维甲酸(ATRA)化疗耐药。机制上,MN1 被 METTL14 甲基化,特别是在编码序列(CDS)区域,这种修饰被特定的 mA 阅读器胰岛素样生长因子 2 mRNA 结合蛋白 2(IGF2BP2)识别,以防止 MN1 mRNA 降解并促进其翻译效率。IHC 显示 OS 组织中 MN1 表达与 METTL14 和 IGF2BP2 表达呈正相关。METTL14-IGF2BP2-MN1 面板在 OS 患者的预后预测方面比任何单一分子都具有更有前途的预后价值。

结论

我们的研究表明,METTL14 通过调节 MN1 的稳定性和翻译效率作为 mA RNA 甲基转移酶促进 OS 进展和 ATRA 耐药,从而为 OS 患者的预后预测提供了潜在的生物标志物面板。

资助

本工作得到了国家自然科学基金(Grant 81972510 和 81772864)的支持。

https://cdn.ncbi.nlm.nih.gov/pmc/blobs/8e21/9272358/ad152c53c0a3/gr1.jpg

文献AI研究员

20分钟写一篇综述,助力文献阅读效率提升50倍。

立即体验

用中文搜PubMed

大模型驱动的PubMed中文搜索引擎

马上搜索

文档翻译

学术文献翻译模型,支持多种主流文档格式。

立即体验