Suppr超能文献

薄荷醇减轻盲肠结扎穿刺诱导的急性肾损伤和肺损伤的严重程度:增殖细胞核抗原和凋亡标志物的作用

The Severity of Acute Kidney and Lung Injuries Induced by Cecal Ligation and Puncture Is Attenuated by Menthol: Role of Proliferating Cell Nuclear Antigen and Apoptotic Markers.

作者信息

Anter Aliaa, Ahmed Al-Shaimaa F, Hammad Asmaa S A, Almalki Waleed Hassan, Abdel Hafez Sara Mohamed Naguib, Kasem AlShaimaa W, El-Moselhy Mohamed A, Alrabia Mohammad W, Ibrahim Ahmed R N, El-Daly Mahmoud

机构信息

Department of Pharmacology and Toxicology, Faculty of Pharmacy, Minia University, Minya, Egypt.

Department of Pharmacology and Toxicology, Umm Al-Qura University, Makkah, Saudi Arabia.

出版信息

Front Med (Lausanne). 2022 Jun 23;9:904286. doi: 10.3389/fmed.2022.904286. eCollection 2022.

Abstract

OBJECTIVE

Sepsis-induced acute lung injury (ALI) and acute kidney injury (AKI) are major causes of mortality. Menthol is a natural compound that has anti-inflammatory and antioxidative actions. Since exaggerated inflammatory and oxidative stress are characteristics of sepsis, the aim of this study was to evaluate the effect of menthol against sepsis-induced mortality, ALI, and AKI.

METHODS

The cecal ligation and puncture (CLP) procedure was employed as a model of sepsis. Rats were grouped into sham, sham-Menthol, CLP, and CLP-Menthol (100 mg/kg, p.o).

KEY FINDINGS

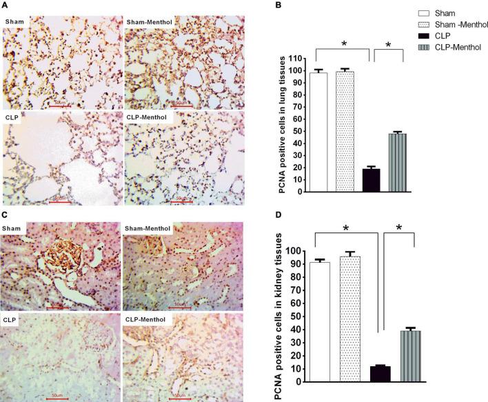
A survival study showed that menthol enhanced the survival after sepsis from 0% in septic group to 30%. Septic rats developed histological evidence of ALI and AKI. Menthol markedly suppressed sepsis induced elevation of tissue TNF-a, ameliorated sepsis-induced cleavage of caspase-3 and restored the antiapoptotic marker Bcl2.

SIGNIFICANCE

We introduced a role of the proliferating cell nuclear antigen (PCNA) in these tissues with a possible link to the damage induced by sepsis. PCNA level was markedly reduced in septic animals and menthol ameliorated this effect. Our data provide novel evidence that menthol protects against organ damage and decreases mortality in experimental sepsis.

摘要

目的

脓毒症诱导的急性肺损伤(ALI)和急性肾损伤(AKI)是主要的死亡原因。薄荷醇是一种具有抗炎和抗氧化作用的天然化合物。由于过度的炎症和氧化应激是脓毒症的特征,本研究的目的是评估薄荷醇对脓毒症诱导的死亡率、ALI和AKI的影响。

方法

采用盲肠结扎和穿刺(CLP)手术作为脓毒症模型。将大鼠分为假手术组、假手术-薄荷醇组、CLP组和CLP-薄荷醇组(100mg/kg,口服)。

主要发现

一项生存研究表明,薄荷醇可将脓毒症后的生存率从脓毒症组的0%提高到30%。脓毒症大鼠出现了ALI和AKI的组织学证据。薄荷醇显著抑制脓毒症诱导的组织TNF-α升高,改善脓毒症诱导的半胱天冬酶-3裂解,并恢复抗凋亡标志物Bcl2。

意义

我们介绍了增殖细胞核抗原(PCNA)在这些组织中的作用,其可能与脓毒症诱导的损伤有关。脓毒症动物的PCNA水平显著降低,薄荷醇改善了这种效应。我们的数据提供了新的证据,表明薄荷醇可保护机体免受器官损伤,并降低实验性脓毒症的死亡率。

https://cdn.ncbi.nlm.nih.gov/pmc/blobs/f89a/9260148/09d5dbe5b1cc/fmed-09-904286-g001.jpg

文献AI研究员

20分钟写一篇综述,助力文献阅读效率提升50倍。

立即体验

用中文搜PubMed

大模型驱动的PubMed中文搜索引擎

马上搜索

文档翻译

学术文献翻译模型,支持多种主流文档格式。

立即体验