Suppr超能文献

将自然和人工智能相结合进行强大的自动解剖分割:在颈部和胸部自动轮廓绘制中的应用。

Combining natural and artificial intelligence for robust automatic anatomy segmentation: Application in neck and thorax auto-contouring.

机构信息

Medical Image Processing Group, Department of Radiology, University of Pennsylvania, Philadelphia, Pennsylvania, USA.

School of Information Science and Engineering, Yanshan University, Qinhuangdao, China.

出版信息

Med Phys. 2022 Nov;49(11):7118-7149. doi: 10.1002/mp.15854. Epub 2022 Jul 27.

Abstract

BACKGROUND

Automatic segmentation of 3D objects in computed tomography (CT) is challenging. Current methods, based mainly on artificial intelligence (AI) and end-to-end deep learning (DL) networks, are weak in garnering high-level anatomic information, which leads to compromised efficiency and robustness. This can be overcome by incorporating natural intelligence (NI) into AI methods via computational models of human anatomic knowledge.

PURPOSE

We formulate a hybrid intelligence (HI) approach that integrates the complementary strengths of NI and AI for organ segmentation in CT images and illustrate performance in the application of radiation therapy (RT) planning via multisite clinical evaluation.

METHODS

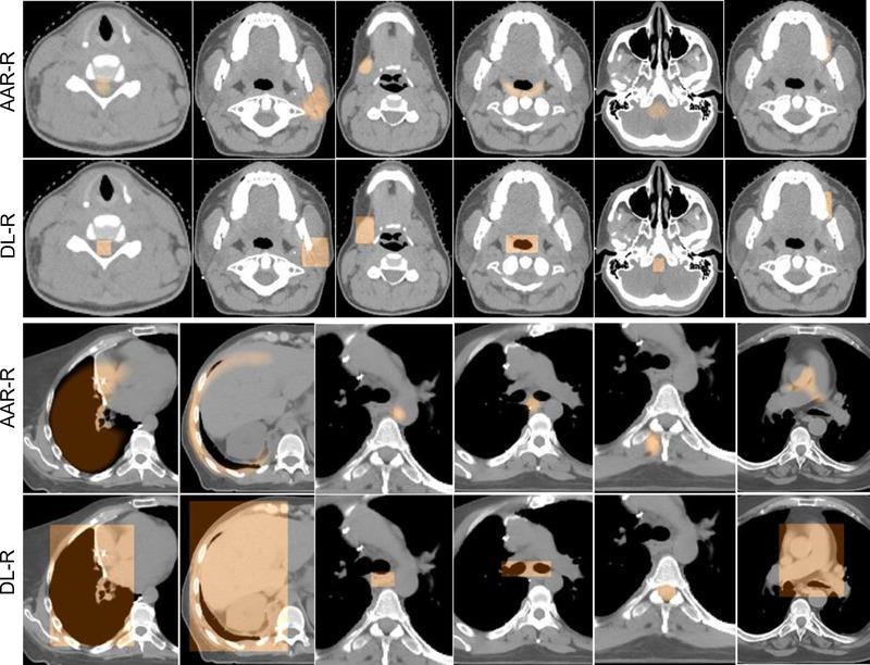
The system employs five modules: (i) body region recognition, which automatically trims a given image to a precisely defined target body region; (ii) NI-based automatic anatomy recognition object recognition (AAR-R), which performs object recognition in the trimmed image without DL and outputs a localized fuzzy model for each object; (iii) DL-based recognition (DL-R), which refines the coarse recognition results of AAR-R and outputs a stack of 2D bounding boxes (BBs) for each object; (iv) model morphing (MM), which deforms the AAR-R fuzzy model of each object guided by the BBs output by DL-R; and (v) DL-based delineation (DL-D), which employs the object containment information provided by MM to delineate each object. NI from (ii), AI from (i), (iii), and (v), and their combination from (iv) facilitate the HI system.

RESULTS

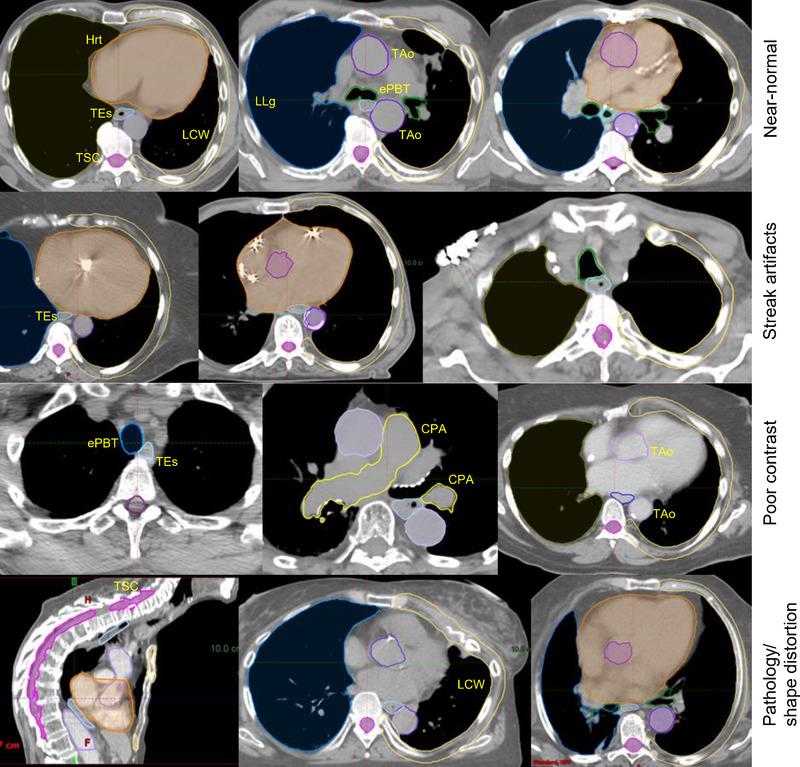
The HI system was tested on 26 organs in neck and thorax body regions on CT images obtained prospectively from 464 patients in a study involving four RT centers. Data sets from one separate independent institution involving 125 patients were employed in training/model building for each of the two body regions, whereas 104 and 110 data sets from the 4 RT centers were utilized for testing on neck and thorax, respectively. In the testing data sets, 83% of the images had limitations such as streak artifacts, poor contrast, shape distortion, pathology, or implants. The contours output by the HI system were compared to contours drawn in clinical practice at the four RT centers by utilizing an independently established ground-truth set of contours as reference. Three sets of measures were employed: accuracy via Dice coefficient (DC) and Hausdorff boundary distance (HD), subjective clinical acceptability via a blinded reader study, and efficiency by measuring human time saved in contouring by the HI system. Overall, the HI system achieved a mean DC of 0.78 and 0.87 and a mean HD of 2.22 and 4.53 mm for neck and thorax, respectively. It significantly outperformed clinical contouring in accuracy and saved overall 70% of human time over clinical contouring time, whereas acceptability scores varied significantly from site to site for both auto-contours and clinically drawn contours.

CONCLUSIONS

The HI system is observed to behave like an expert human in robustness in the contouring task but vastly more efficiently. It seems to use NI help where image information alone will not suffice to decide, first for the correct localization of the object and then for the precise delineation of the boundary.

摘要

背景

计算机断层扫描(CT)中 3D 物体的自动分割具有挑战性。目前的方法主要基于人工智能(AI)和端到端深度学习(DL)网络,在获取高级解剖信息方面能力较弱,这导致效率和鲁棒性受损。通过将自然智能(NI)纳入 AI 方法,利用人类解剖知识的计算模型,可以克服这一问题。

目的

我们提出了一种混合智能(HI)方法,该方法将 NI 和 AI 的互补优势结合起来,用于 CT 图像中的器官分割,并通过多站点临床评估展示在放射治疗(RT)计划中的应用性能。

方法

该系统采用五个模块:(i)身体区域识别,自动将给定的图像修剪到精确定义的目标身体区域;(ii)基于 NI 的自动解剖识别对象识别(AAR-R),在未使用 DL 的情况下对修剪后的图像执行对象识别,并为每个对象输出一个局部模糊模型;(iii)基于 DL 的识别(DL-R),细化 AAR-R 的粗识别结果,并为每个对象输出堆叠的 2D 边界框(BB);(iv)模型变形(MM),根据 DL-R 输出的 BB 引导每个对象的 AAR-R 模糊模型变形;以及(v)基于 DL 的描绘(DL-D),利用 MM 提供的对象包含信息描绘每个对象。(ii)中的 NI、(i)、(iii)和(v)中的 AI 及其(iv)中的组合有助于 HI 系统。

结果

在涉及四个 RT 中心的前瞻性前瞻性研究中,对 464 名患者的 CT 图像中颈部和胸部区域的 26 个器官进行了 HI 系统测试。两个身体区域的每个都使用来自一个单独的独立机构的 125 个患者的数据集进行培训/模型构建,而来自 4 个 RT 中心的 104 个和 110 个数据集分别用于颈部和胸部的测试。在测试数据集中,83%的图像存在条纹伪影、对比度差、形状变形、病变或植入物等局限性。HI 系统输出的轮廓与四个 RT 中心的临床实践中绘制的轮廓进行了比较,使用独立建立的轮廓真值集作为参考。采用了三组度量标准:通过 Dice 系数(DC)和 Hausdorff 边界距离(HD)进行准确性,通过盲法读者研究进行主观临床可接受性,以及通过 HI 系统节省的人类描绘时间进行效率。总体而言,HI 系统在颈部和胸部的平均 DC 分别为 0.78 和 0.87,平均 HD 分别为 2.22 和 4.53 毫米。它在准确性方面明显优于临床描绘,在整体上比临床描绘节省了 70%的时间,而自动轮廓和临床绘制的轮廓的可接受性评分因站点而异。

结论

观察到 HI 系统在描绘任务中的稳健性表现得像专家一样,但效率要高得多。它似乎在图像信息不足以决定物体的正确定位和边界的精确描绘时,首先利用 NI 帮助。

https://cdn.ncbi.nlm.nih.gov/pmc/blobs/9f66/10087050/19e914092717/MP-49-7118-g004.jpg

文献AI研究员

20分钟写一篇综述,助力文献阅读效率提升50倍。

立即体验

用中文搜PubMed

大模型驱动的PubMed中文搜索引擎

马上搜索

文档翻译

学术文献翻译模型,支持多种主流文档格式。

立即体验