Suppr超能文献

人乳头瘤病毒16型E6激活的八聚体结合转录因子4通过抑制p53表达共抑制因子NCOR1促进宫颈癌进展

HPV16 E6-Activated OCT4 Promotes Cervical Cancer Progression by Suppressing p53 Expression Co-Repressor NCOR1.

作者信息

Shu Shujuan, Li Zhi, Liu Liu, Ying Xia, Zhang Yina, Wang Ting, Zhou Xiaoye, Jiang Peiyue, Lv Weiguo

机构信息

Department of Obstetrics and Gynecology, Women's Hospital, Medicine School of Zhejiang University, Hangzhou, China.

出版信息

Front Oncol. 2022 Jul 7;12:900856. doi: 10.3389/fonc.2022.900856. eCollection 2022.

Abstract

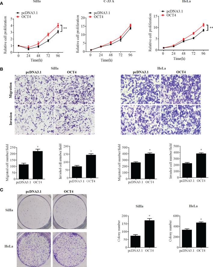
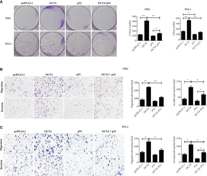
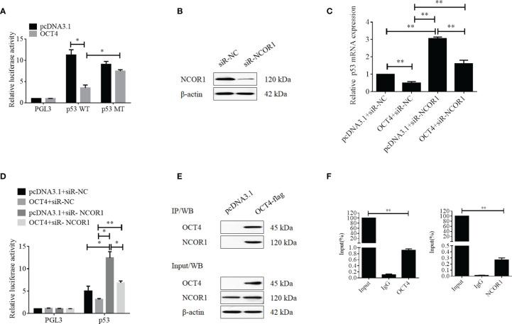
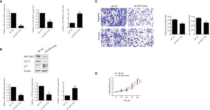
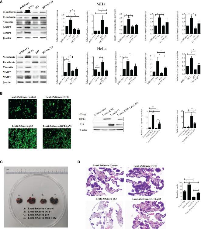
Human papillomaviruses (HPV), mainly HPV16 and HPV18, of high-risk classification are involved in cervical cancer carcinogenesis and progression. Octamer-binding transcription factor 4 (OCT4) is a key transcription factor that is increased in various cancer types. Cervical cancer patients with higher levels of OCT4 had worse survival rates. However, the definite mechanisms underlying its function in the development of cervical cancer still remain to be explicated. Here, our study demonstrated that OCT4 expression was slightly increased in cervical cancer tissues than in precancerous ones. However, OCT4 was significantly upregulated in HPV16-positive tissues, in contrast to the expression profiling for p53. Moreover, knockdown of HPV16 E6 in SiHa cells suppressed the expression of OCT4 with impaired activities of cell proliferation, migration, and invasion, while it recovered the expression of p53. Overexpression of OCT4 and p53 exerted opposite roles on cell proliferation, migration, invasion, and colony formation of cervical cancer cells. More importantly, the enforced expression of OCT4 augmented p53-inhibited cell migration, invasion, and colony formation in human cervical cancer by promoting EMT. Finally, we identified that OCT4 could bind to the promoter region to repress p53 expression by recruiting co-repressor NCOR1 using luciferase, ChIP, and co-IP experiments. We further illustrated that OCT4 not only increased the lung metastasis of cervical cancer but also effectively reversed p53-inhibited lung metastasis. In conclusion, our results suggested that HPV16 E6 activated the expression of OCT4 and subsequently crippled the transcription of p53 co-repressor NCOR1, which contributed to cervical cancer progression.

摘要

高危型人乳头瘤病毒(HPV),主要是HPV16和HPV18,参与宫颈癌的发生和发展。八聚体结合转录因子4(OCT4)是一种关键转录因子,在多种癌症类型中表达上调。OCT4水平较高的宫颈癌患者生存率较差。然而,其在宫颈癌发生发展中发挥作用的具体机制仍有待阐明。在此,我们的研究表明,与癌前组织相比,OCT4在宫颈癌组织中的表达略有增加。然而,与p53的表达谱相反,OCT4在HPV16阳性组织中显著上调。此外,在SiHa细胞中敲低HPV16 E6可抑制OCT4的表达,同时细胞增殖、迁移和侵袭活性受损,而p53的表达得以恢复。OCT4和p53的过表达对宫颈癌细胞的增殖、迁移、侵袭和集落形成发挥相反作用。更重要的是,OCT4的强制表达通过促进上皮-间质转化(EMT)增强了p53抑制的人宫颈癌细胞迁移、侵袭和集落形成。最后,我们通过荧光素酶、染色质免疫沉淀(ChIP)和免疫共沉淀(co-IP)实验确定,OCT4可通过招募共抑制因子NCOR1与启动子区域结合以抑制p53表达。我们进一步证明,OCT4不仅增加了宫颈癌的肺转移,还有效逆转了p53抑制的肺转移。总之,我们的结果表明,HPV16 E6激活了OCT4的表达,随后削弱了p53共抑制因子NCOR1的转录,这促进了宫颈癌的进展。

https://cdn.ncbi.nlm.nih.gov/pmc/blobs/49ae/9302044/5b3acd54a9c9/fonc-12-900856-g001.jpg

文献AI研究员

20分钟写一篇综述,助力文献阅读效率提升50倍。

立即体验

用中文搜PubMed

大模型驱动的PubMed中文搜索引擎

马上搜索

文档翻译

学术文献翻译模型,支持多种主流文档格式。

立即体验