Suppr超能文献

伪狂犬病毒囊膜蛋白 UL13 通过调节受体转录抑制 RLR 介导的抗病毒固有免疫。

Pseudorabies Virus Tegument Protein UL13 Suppresses RLR-Mediated Antiviral Innate Immunity through Regulating Receptor Transcription.

机构信息

Department of Preventive Veterinary Medicine, College of Veterinary Medicine, Shandong Agricultural University, Taian 271018, China.

Shandong Provincial Key Laboratory of Animal Biotechnology and Disease Control and Prevention, Shandong Agricultural University, Taian 271018, China.

出版信息

Viruses. 2022 Jul 2;14(7):1465. doi: 10.3390/v14071465.

Abstract

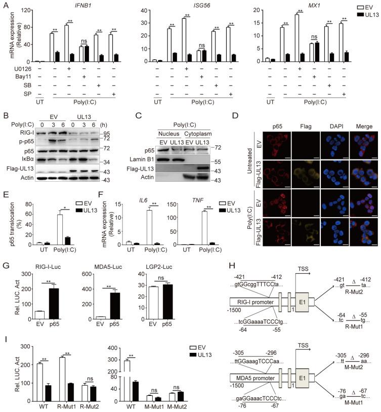
Pseudorabies virus (PRV) has evolved various strategies to escape host antiviral immune responses. However, it remains unclear whether and how PRV-encoded proteins modulate the RIG-I-like receptor (RLR)-mediated signals for immune evasion. Here, we show that the PRV tegument protein UL13 functions as an antagonist of RLR-mediated antiviral responses via suppression of the transcription of RIG-I and MDA5, but not LGP2. UL13 overexpression significantly inhibits both the mRNA and protein levels of RIG-I and MDA5, along with RIG-I- or MDA5-mediated antiviral immune responses, whereas overexpression of RIG-I or MDA5 counteracts such UL13-induced suppression. Mechanistically, UL13 suppresses the expression of RIG-I and MDA5 by inhibiting activation of the transcription factor NF-κB. Consequently, overexpression of p65 promotes the activation of and promoters. Moreover, deletion of the p65-binding sites in the promoters of or abolishes the suppression role of UL13. As a result, mutant PRV lacking UL13 elicits stronger host antiviral immune responses than PRV-WT. Hence, our results provide a novel functional role of UL13-induced suppression of host antiviral immunity through modulating receptors' transcription.

摘要

伪狂犬病病毒(PRV)已经进化出多种策略来逃避宿主抗病毒免疫反应。然而,目前尚不清楚 PRV 编码的蛋白是否以及如何调节 RIG-I 样受体(RLR)介导的免疫逃逸信号。在这里,我们表明 PRV 包膜蛋白 UL13 通过抑制 RIG-I 和 MDA5 的转录,而不是 LGP2 的转录,作为 RLR 介导的抗病毒反应的拮抗剂。UL13 过表达显著抑制 RIG-I 和 MDA5 的 mRNA 和蛋白水平,以及 RIG-I 或 MDA5 介导的抗病毒免疫反应,而 RIG-I 或 MDA5 的过表达则拮抗 UL13 诱导的抑制作用。在机制上,UL13 通过抑制转录因子 NF-κB 的激活来抑制 RIG-I 和 MDA5 的表达。因此,p65 的过表达促进了 和 启动子的激活。此外,在 或 的启动子中删除 p65 结合位点会消除 UL13 的抑制作用。结果,缺失 UL13 的突变型 PRV 比 PRV-WT 引发更强的宿主抗病毒免疫反应。因此,我们的研究结果提供了 UL13 通过调节受体转录抑制宿主抗病毒免疫的新功能作用。

https://cdn.ncbi.nlm.nih.gov/pmc/blobs/4f43/9317333/45ded58a6123/viruses-14-01465-g001.jpg

文献AI研究员

20分钟写一篇综述,助力文献阅读效率提升50倍。

立即体验

用中文搜PubMed

大模型驱动的PubMed中文搜索引擎

马上搜索

文档翻译

学术文献翻译模型,支持多种主流文档格式。

立即体验