Suppr超能文献

高钠通过抑制培养的近端肾小管上皮细胞中1,25(OH)D的合成,降低了PTH1R和Klotho的表达。

High sodium reduced the expression of PTH1R and Klotho by inhibiting 1,25(OH)D synthesis in cultured proximal tubule epithelial cells.

作者信息

Gu Jie, Shi Jialin, Chen Xujiao, Mao Jianping, You Huaizhou, Chen Jing

机构信息

Division of Nephrology, Huashan Hospital, Fudan University, Shanghai, China.

National Clinical Research Center for Aging and Medicine, Huashan Hospital, Fudan University, Shanghai, China.

出版信息

Ann Transl Med. 2022 May;10(9):506. doi: 10.21037/atm-21-5910.

Abstract

BACKGROUND

The proximal tubule is the sensing site of sodium and phosphate and the main place for the synthesis and metabolism of 1,25(OH)D. We aimed to investigate the effects of high sodium on the synthesis and function of active vitamin D and local phosphate regulation in proximal tubular epithelial cells.

METHODS

Human proximal tubule epithelial (HK-2) cells were treated with different concentrations of sodium/phosphate. The expression of 1α-OHase and 24-OHase was determined. Liquid chromatography/mass spectrometry (LC/MS) and enzyme-linked immunosorbent assay (ELISA) were used to detect the levels of 1,25(OH)D RNA sequencing and bioinformatics analysis was used to probe into the possible pathways. Chromatin samples were immunoprecipitated with antibodies against parathyroid receptor 1 (PTH1R) and Klotho.

RESULTS

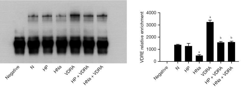
We found that high sodium decreased the expression of 1,25(OH)D by reducing 1α-OHase and 24-OHase, reduced the expression of PTH1R and Klotho, and increased the intracellular calcium concentration. These effects were reversed by sodium phosphate transporter inhibitor, sodium hydrogen transporter inhibitor, and a chelator of the extracellular calcium, whereas enhanced by ouabain. Vitamin D receptor (VDR) agonists significantly increased the recruitment of VDR to the vitamin D response element (VDRE) of PTH1R and Klotho promoter, thus increasing the expression of PTH1R and Klotho.

CONCLUSIONS

High sodium can decrease the synthesis of active vitamin D in the proximal tubules, affect the gene regulation of 1,25(OH)D/VDR, and significantly reduce the expression of PTH1R and Klotho. It revealed the influence of a high-sodium diet on mineral metabolism and the core role of vitamin D in kidney mineral metabolism.

摘要

背景

近端小管是钠和磷酸盐的感知部位,也是1,25(OH)D合成与代谢的主要场所。我们旨在研究高钠对近端肾小管上皮细胞中活性维生素D合成及功能以及局部磷酸盐调节的影响。

方法

用不同浓度的钠/磷酸盐处理人近端肾小管上皮(HK-2)细胞。测定1α-羟化酶和24-羟化酶的表达。采用液相色谱/质谱联用(LC/MS)和酶联免疫吸附测定(ELISA)检测1,25(OH)D的水平,运用RNA测序和生物信息学分析探究可能的途径。用抗甲状旁腺受体1(PTH1R)和klotho的抗体对染色质样本进行免疫沉淀。

结果

我们发现高钠通过降低1α-羟化酶和24-羟化酶来降低1,25(OH)D的表达,降低PTH1R和klotho的表达,并增加细胞内钙浓度。钠磷酸盐转运体抑制剂、钠氢转运体抑制剂和细胞外钙螯合剂可逆转这些作用,而哇巴因则增强这些作用。维生素D受体(VDR)激动剂显著增加VDR与PTH1R和klotho启动子的维生素D反应元件(VDRE)的结合,从而增加PTH1R和klotho的表达。

结论

高钠可降低近端小管中活性维生素D的合成,影响1,25(OH)D/VDR的基因调控,并显著降低PTH1R和klotho的表达。这揭示了高钠饮食对矿物质代谢的影响以及维生素D在肾脏矿物质代谢中的核心作用。

https://cdn.ncbi.nlm.nih.gov/pmc/blobs/1c47/9347055/6006ceadd885/atm-10-09-506-f1.jpg

文献AI研究员

20分钟写一篇综述,助力文献阅读效率提升50倍。

立即体验

用中文搜PubMed

大模型驱动的PubMed中文搜索引擎

马上搜索

文档翻译

学术文献翻译模型,支持多种主流文档格式。

立即体验