Suppr超能文献

小胶质细胞特异性敲除组蛋白去乙酰化酶 3 可促进创伤性脑损伤小鼠模型中的炎症消退、白质完整性和功能恢复。

Microglia-specific deletion of histone deacetylase 3 promotes inflammation resolution, white matter integrity, and functional recovery in a mouse model of traumatic brain injury.

机构信息

Pittsburgh Institute of Brain Disorders & Recovery and Department of Neurology, University of Pittsburgh, Pittsburgh, PA, 15213, USA.

Geriatric Research, Education and Clinical Center, Veterans Affairs Pittsburgh Health Care System, Pittsburgh, PA, 15261, USA.

出版信息

J Neuroinflammation. 2022 Aug 6;19(1):201. doi: 10.1186/s12974-022-02563-2.

Abstract

BACKGROUND

Histone deacetylases (HDACs) are believed to exacerbate traumatic brain injury (TBI) based on studies using pan-HDAC inhibitors. However, the HDAC isoform responsible for the detrimental effects and the cell types involved remain unknown, which may hinder the development of specific targeting strategies that boost therapeutic efficacy while minimizing side effects. Microglia are important mediators of post-TBI neuroinflammation and critically impact TBI outcome. HDAC3 was reported to be essential to the inflammatory program of in vitro cultured macrophages, but its role in microglia and in the post-TBI brain has not been investigated in vivo.

METHODS

We generated HDAC3 mice and crossed them with CX3CR1 mice, enabling in vivo conditional deletion of HDAC3. Microglia-specific HDAC3 knockout (HDAC3 miKO) was induced in CX3CR1:HDAC3 mice with 5 days of tamoxifen treatment followed by a 30-day development interval. The effects of HDAC3 miKO on microglial phenotype and neuroinflammation were examined 3-5 days after TBI induced by controlled cortical impact. Neurological deficits and the integrity of white matter were assessed for 6 weeks after TBI by neurobehavioral tests, immunohistochemistry, electron microscopy, and electrophysiology.

RESULTS

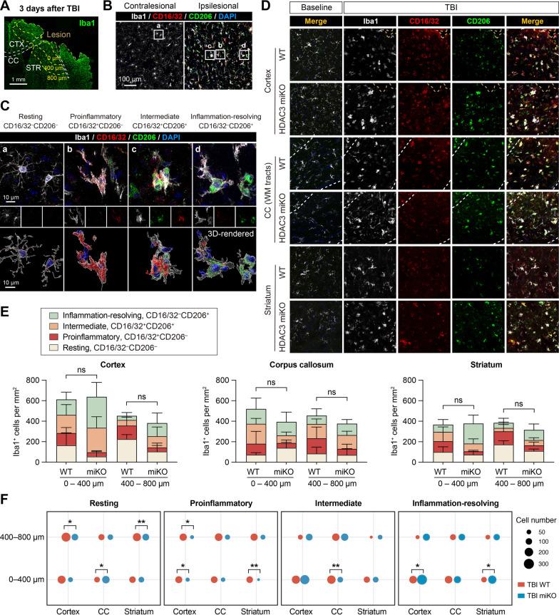
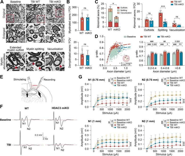
HDAC3 miKO mice harbored specific deletion of HDAC3 in microglia but not in peripheral monocytes. HDAC3 miKO reduced the number of microglia by 26%, but did not alter the inflammation level in the homeostatic brain. After TBI, proinflammatory microglial responses and brain inflammation were markedly alleviated by HDAC3 miKO, whereas the infiltration of blood immune cells was unchanged, suggesting a primary effect of HDAC3 miKO on modulating microglial phenotype. Importantly, HDAC3 miKO was sufficient to facilitate functional recovery for 6 weeks after TBI. TBI-induced injury to axons and myelin was ameliorated, and signal conduction by white matter fiber tracts was significantly enhanced in HDAC3 miKO mice.

CONCLUSION

Using a novel microglia-specific conditional knockout mouse model, we delineated for the first time the role of microglial HDAC3 after TBI in vivo. HDAC3 miKO not only reduced proinflammatory microglial responses, but also elicited long-lasting improvement of white matter integrity and functional recovery after TBI. Microglial HDAC3 is therefore a promising therapeutic target to improve long-term outcomes after TBI.

摘要

背景

基于使用泛组蛋白去乙酰化酶(HDAC)抑制剂的研究,人们认为组蛋白去乙酰化酶(HDACs)会加重创伤性脑损伤(TBI)。然而,负责产生有害影响的 HDAC 同工型以及涉及的细胞类型仍不清楚,这可能会阻碍特定靶向策略的发展,这些策略既能提高治疗效果,又能将副作用降至最低。小胶质细胞是 TBI 后神经炎症的重要介质,对 TBI 结果有重大影响。据报道,HDAC3 对于体外培养的巨噬细胞中的炎症程序是必不可少的,但它在小胶质细胞中和 TBI 后的大脑中的作用尚未在体内进行研究。

方法

我们生成了 HDAC3 敲除小鼠,并将其与 CX3CR1 小鼠杂交,使体内条件性删除 HDAC3。用 5 天的他莫昔芬处理诱导 CX3CR1:HDAC3 小鼠中的小胶质细胞特异性 HDAC3 敲除(HDAC3 miKO),然后间隔 30 天发育。在通过皮质控制冲击诱导 TBI 后 3-5 天,用 HDAC3 miKO 检测小胶质细胞表型和神经炎症的影响。通过神经行为测试、免疫组织化学、电子显微镜和电生理学评估 TBI 后 6 周的神经功能缺损和白质完整性。

结果

HDAC3 miKO 小鼠的小胶质细胞中特异性缺失了 HDAC3,但外周单核细胞中没有缺失。HDAC3 miKO 使小胶质细胞的数量减少了 26%,但在稳态大脑中并未改变炎症水平。TBI 后,HDAC3 miKO 显著减轻了促炎小胶质细胞反应和脑炎症,而血液免疫细胞的浸润没有改变,这表明 HDAC3 miKO 对小胶质细胞表型的调节具有主要作用。重要的是,HDAC3 miKO 足以促进 TBI 后 6 周的功能恢复。HDAC3 miKO 改善了 TBI 诱导的轴突和髓鞘损伤,并显著增强了白质纤维束的信号传导。

结论

使用新型小胶质细胞特异性条件性敲除小鼠模型,我们首次在体内描绘了 TBI 后小胶质细胞中 HDAC3 的作用。HDAC3 miKO 不仅减少了促炎小胶质细胞反应,还引起了 TBI 后白质完整性和功能恢复的持久改善。因此,小胶质细胞 HDAC3 是改善 TBI 后长期预后的有前途的治疗靶点。

https://cdn.ncbi.nlm.nih.gov/pmc/blobs/6fa7/9357327/7456419f736d/12974_2022_2563_Fig1_HTML.jpg

文献AI研究员

20分钟写一篇综述,助力文献阅读效率提升50倍。

立即体验

用中文搜PubMed

大模型驱动的PubMed中文搜索引擎

马上搜索

文档翻译

学术文献翻译模型,支持多种主流文档格式。

立即体验