Suppr超能文献

UHRF1过表达通过改变外泌体产生及抑制AMPK/SEMA3E促进骨肉瘤转移。

UHRF1 overexpression promotes osteosarcoma metastasis through altered exosome production and AMPK/SEMA3E suppression.

作者信息

Wu Stephanie C, Kim Ahhyun, Gu Yijun, Martinez Daniel I, Zocchi Loredana, Chen Claire C, Lopez Jocelyne, Salcido Kelsey, Singh Sarah, Wu Jie, Nael Ali, Benavente Claudia A

机构信息

Department of Pharmaceutical Sciences, University of California, Irvine, CA, 92697, USA.

Department of Developmental and Cell Biology, University of California, Irvine, CA, 92697, USA.

出版信息

Oncogenesis. 2022 Sep 6;11(1):51. doi: 10.1038/s41389-022-00430-6.

Abstract

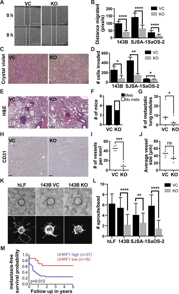
Loss-of-function mutations at the retinoblastoma (RB1) gene are associated with increased mortality, metastasis, and poor therapeutic outcome in several cancers, including osteosarcoma. However, the mechanism(s) through which RB1 loss worsens clinical outcome remains understudied. Ubiquitin-like with PHD and Ring Finger domains 1 (UHRF1) has been identified as a critical downstream effector of the RB/E2F signaling pathway that is overexpressed in various cancers. Here, we determined the role and regulatory mechanisms of UHRF1 in rendering osteosarcoma cells more aggressive. Higher UHRF1 expression correlated with malignancy in osteosarcoma cell lines, clinical samples, and genetically engineered mouse models. Gain- and loss-of-function assays revealed that UHRF1 has cell-intrinsic and extrinsic functions promoting cell proliferation, migration, invasion, angiogenesis, and metastasis. UHRF1 overexpression induced angiogenesis by suppressing AMPK activation and Semaphorin 3E (SEMA3E) expression. Further, UHRF1-mediated migration and metastasis resulted, at least in part, through altered expression of extracellular vesicles and their cargo, including urokinase-type plasminogen activator (uPA). Novel osteosarcoma genetically engineered mouse models confirmed that knocking out Uhrf1 considerably decreased metastasis and reversed the poorer survival associated with Rb1 loss. This presents a new mechanistic insight into RB1 loss-associated poor prognosis and novel oncogenic roles of UHRF1 in the regulation of angiogenesis and exosome secretion, both critical for osteosarcoma metastasis. This provides substantial support for targeting UHRF1 or its downstream effectors as novel therapeutic options to improve current treatment for osteosarcoma.

摘要

视网膜母细胞瘤(RB1)基因的功能丧失突变与包括骨肉瘤在内的多种癌症的死亡率增加、转移及不良治疗结果相关。然而,RB1缺失导致临床结果恶化的机制仍未得到充分研究。含PHD和泛素样结构域的指环蛋白1(UHRF1)已被确定为RB/E2F信号通路的关键下游效应因子,在多种癌症中过表达。在此,我们确定了UHRF1在使骨肉瘤细胞更具侵袭性方面的作用及调控机制。在骨肉瘤细胞系、临床样本和基因工程小鼠模型中,较高的UHRF1表达与恶性程度相关。功能获得和丧失实验表明,UHRF1具有促进细胞增殖、迁移、侵袭、血管生成和转移的细胞内在及外在功能。UHRF1过表达通过抑制AMPK激活和Semaphorin 3E(SEMA3E)表达诱导血管生成。此外,UHRF1介导的迁移和转移至少部分是通过细胞外囊泡及其货物(包括尿激酶型纤溶酶原激活剂(uPA))表达的改变实现的。新型骨肉瘤基因工程小鼠模型证实,敲除Uhrf1可显著降低转移,并逆转与Rb1缺失相关的较差生存率。这为RB1缺失相关的不良预后提供了新的机制见解,以及UHRF1在血管生成和外泌体分泌调节中的新致癌作用,这两者对骨肉瘤转移都至关重要。这为靶向UHRF1或其下游效应因子作为改善骨肉瘤当前治疗的新治疗选择提供了有力支持。

https://cdn.ncbi.nlm.nih.gov/pmc/blobs/7389/9448786/fb97ffdec811/41389_2022_430_Fig1_HTML.jpg

文献AI研究员

20分钟写一篇综述,助力文献阅读效率提升50倍。

立即体验

用中文搜PubMed

大模型驱动的PubMed中文搜索引擎

马上搜索

文档翻译

学术文献翻译模型,支持多种主流文档格式。

立即体验