Suppr超能文献

清肺口服液的抗炎活性及其对卵清蛋白诱导哮喘小鼠呼吸道微生物群的影响。

Anti-inflammatory activities of Qingfei oral liquid and its influence on respiratory microbiota in mice with ovalbumin-induced asthma.

作者信息

Zheng Jun, Wu Qian, Zhang Liang, Zou Ya, Wang Meifen, He Li, Guo Sheng

机构信息

Department of Traditional Chinese Medicine, Shanghai Children's Hospital, School of Medicine, Shanghai Jiao Tong University, Shanghai, China.

Department of Emergency Medicine, Putuo Hospital, Shanghai University of Traditional Medicine, Shanghai, China.

出版信息

Front Pharmacol. 2022 Aug 23;13:911667. doi: 10.3389/fphar.2022.911667. eCollection 2022.

Abstract

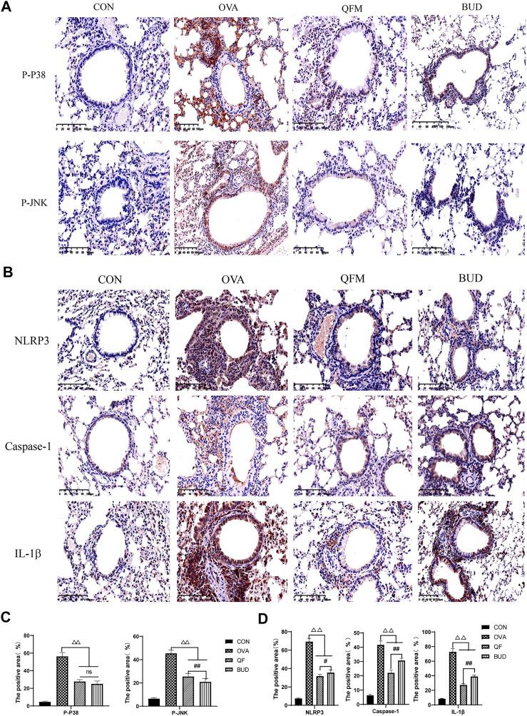
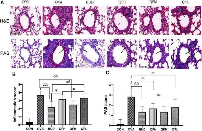
Dysbiosis of respiratory microbiota is closely related to the pathophysiological processes of asthma, including airway inflammation. Previous studies have shown that Qingfei oral liquid (QF) can alleviate airway inflammation and airway hyper-responsiveness in respiratory syncytial virus-infected asthmatic mice, but its effect on the respiratory microbiota is unknown. We therefore aimed to observe the effects of QF on airway inflammation and respiratory microbiota in ovalbumin (OVA)-induced asthmatic mice. We also explored the potential mechanism of QF in reducing airway inflammation by regulating respiratory microbiota. Hematoxylin and eosin as well as periodic acid-Schiff staining were performed to observe the effects of QF on lung pathology in asthmatic mice. Cytokine levels in bronchoalveolar lavage fluid (BALF) specimens were also measured. Changes in respiratory microbiota were analyzed using 16S rRNA gene sequencing, followed by taxonomical analysis. In order to verify the metagenomic function prediction results, the expression of key proteins related to the MAPK and NOD-like receptor signaling pathways in the lung tissues were detected by immunohistochemistry. The current study found that QF had a significant anti-inflammatory effect in the airways of asthmatic mice. This is mainly attributed to a reduction in lung pathology changes and regulating cytokine levels in BALF. Analysis of the respiratory microbiota in asthmatic mice showed that the abundance of Proteobacteria at the phylum level and at the genus level increased significantly and QF could significantly regulate the dysbiosis of respiratory microbiota in asthmatic mice. Metagenomic functional prediction showed that QF can downregulate the MAPK and Nod-like receptor signaling pathways. Immunohistochemical results showed that QF could downregulate the expression of p-JNK, p-P38, NLRP3, Caspase-1, and IL-1β, which are all key proteins in the signaling pathway of lung tissue. Our study therefore concluded that QF may reduce airway inflammation in asthmatic mice by regulating respiratory microbiota, and to the possibly downregulate MAPK and Nod-like receptor signaling pathways as its underlying mechanism.

摘要

呼吸道微生物群失调与哮喘的病理生理过程密切相关,包括气道炎症。先前的研究表明,清肺口服液(QF)可减轻呼吸道合胞病毒感染的哮喘小鼠的气道炎症和气道高反应性,但其对呼吸道微生物群的影响尚不清楚。因此,我们旨在观察QF对卵清蛋白(OVA)诱导的哮喘小鼠气道炎症和呼吸道微生物群的影响。我们还探讨了QF通过调节呼吸道微生物群减轻气道炎症的潜在机制。进行苏木精-伊红染色以及过碘酸-希夫染色以观察QF对哮喘小鼠肺部病理的影响。还测量了支气管肺泡灌洗液(BALF)标本中的细胞因子水平。使用16S rRNA基因测序分析呼吸道微生物群的变化,随后进行分类分析。为了验证宏基因组功能预测结果,通过免疫组织化学检测肺组织中与MAPK和NOD样受体信号通路相关的关键蛋白的表达。当前研究发现,QF在哮喘小鼠气道中具有显著的抗炎作用。这主要归因于肺部病理变化的减少以及BALF中细胞因子水平的调节。对哮喘小鼠呼吸道微生物群的分析表明,门水平和属水平上变形菌门的丰度显著增加,而QF可显著调节哮喘小鼠呼吸道微生物群的失调。宏基因组功能预测表明,QF可下调MAPK和Nod样受体信号通路。免疫组织化学结果表明,QF可下调p-JNK、p-P38、NLRP3、Caspase-1和IL-1β的表达,这些都是肺组织信号通路中的关键蛋白。因此,我们的研究得出结论,QF可能通过调节呼吸道微生物群减轻哮喘小鼠的气道炎症,其潜在机制可能是下调MAPK和Nod样受体信号通路。

https://cdn.ncbi.nlm.nih.gov/pmc/blobs/0e26/9445488/3fe9f5934ec1/fphar-13-911667-g001.jpg

文献AI研究员

20分钟写一篇综述,助力文献阅读效率提升50倍。

立即体验

用中文搜PubMed

大模型驱动的PubMed中文搜索引擎

马上搜索

文档翻译

学术文献翻译模型,支持多种主流文档格式。

立即体验