Suppr超能文献

环状 RNA 家族 144B/miR-342-3p/FBXL11 轴通过增加 Beclin-1 的泛素化来减少自噬并促进卵巢癌的进展。

CircRNF144B/miR-342-3p/FBXL11 axis reduced autophagy and promoted the progression of ovarian cancer by increasing the ubiquitination of Beclin-1.

机构信息

Anhui Province Key Laboratory of Environmental Hormone and Reproduction, Fuyang Normal University, Fuyang, 236037, Anhui, China.

Anhui Province Key Laboratory of Embryo Development and Reproductive Regulation, Fuyang Normal University, Fuyang, 236037, Anhui, China.

出版信息

Cell Death Dis. 2022 Oct 8;13(10):857. doi: 10.1038/s41419-022-05286-7.

Abstract

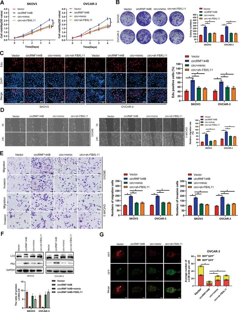
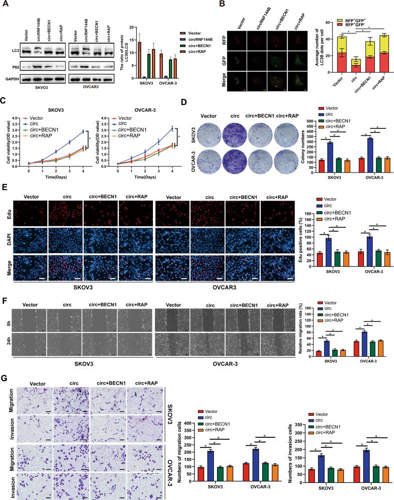
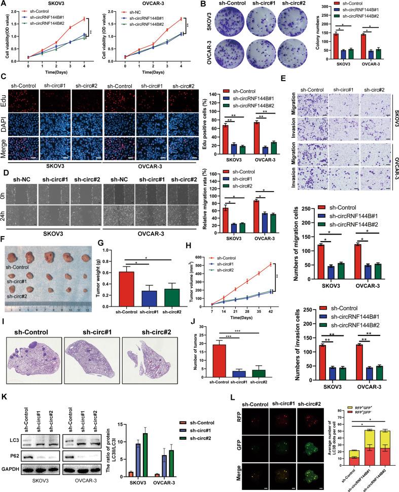
Circular RNAs (circRNAs) can regulate autophagy and ovarian cancer (OC) progression. However, autophagy-associated circRNAs involved in OC progression are largely unknown. Bioinformatics, RNA sequencing, and qRT-PCR were conducted to detect circRNF144B expression in OC as well as its relationship with patient prognosis. Functional experiments were used to determine the effects of circRNF144B on the proliferation, mobility and autophagy of OC. Double luciferase reporter assays, immunoprecipitation, and ubiquitination detection were performed to determine the molecular mechanisms of circRNF144B in autophagy and OC progression. CircRNF144B was elevated in OC tissues with low autophagy levels, and associated with poor prognosis. CircRNF144B promoted the malignant biological properties of OC cells, and inhibited the autophagy. Mechanistically, circRNF144B acts as a sponge for miR-342-3p and inhibits miR-342-3p-induced degradation of lysine demethylase 2 A (FBXL11) mRNA, leading to elevated FBXL11 protein levels. Elevated FBXL11 promoted the ubiquitination and degradation of Beclin-1, thus inhibiting autophagy. In conclusion, CircRNF144B increased FBXL11 level by sponging miR-342-3p, whereas elevated FBXL11 promoted the ubiquitination and protein degradation of Beclin-1, thus suppressing autophagy flux and promoting OC progression. Thus, circRNF144B may be an effective target for OC therapy.

摘要

环形 RNA(circRNAs)可以调节自噬和卵巢癌(OC)的进展。然而,涉及 OC 进展的自噬相关 circRNAs 在很大程度上尚不清楚。通过生物信息学、RNA 测序和 qRT-PCR 检测 OC 中 circRNF144B 的表达及其与患者预后的关系。功能实验用于确定 circRNF144B 对 OC 增殖、迁移和自噬的影响。双荧光素酶报告基因测定、免疫沉淀和泛素化检测用于确定 circRNF144B 在自噬和 OC 进展中的分子机制。circRNF144B 在自噬水平低的 OC 组织中升高,并与不良预后相关。circRNF144B 促进 OC 细胞的恶性生物学特性,并抑制自噬。机制上,circRNF144B 作为 miR-342-3p 的海绵体,抑制 miR-342-3p 诱导的赖氨酸去甲基酶 2A(FBXL11)mRNA 的降解,导致 FBXL11 蛋白水平升高。升高的 FBXL11 促进 Beclin-1 的泛素化和降解,从而抑制自噬。总之,circRNF144B 通过海绵 miR-342-3p 增加 FBXL11 水平,而升高的 FBXL11 促进 Beclin-1 的泛素化和蛋白降解,从而抑制自噬通量并促进 OC 进展。因此,circRNF144B 可能是 OC 治疗的有效靶点。

https://cdn.ncbi.nlm.nih.gov/pmc/blobs/1481/9547922/2c16a5cc2689/41419_2022_5286_Fig1_HTML.jpg

文献AI研究员

20分钟写一篇综述,助力文献阅读效率提升50倍。

立即体验

用中文搜PubMed

大模型驱动的PubMed中文搜索引擎

马上搜索

文档翻译

学术文献翻译模型,支持多种主流文档格式。

立即体验