Suppr超能文献

FUS/circEZH2/KLF5 反馈环路通过增强上皮-间充质转化促进乳腺癌中 CXCR4 诱导的肝转移。

The FUS/circEZH2/KLF5/ feedback loop contributes to CXCR4-induced liver metastasis of breast cancer by enhancing epithelial-mesenchymal transition.

机构信息

Department of Breast Oncology, State Key Laboratory of Oncology in South China, Sun Yat-Sen University Cancer Center, Guangzhou, China.

Department of Medical Oncology, the First Affiliated Hospital, Hengyang Medical School, University of South China, Hengyang, China.

出版信息

Mol Cancer. 2022 Oct 12;21(1):198. doi: 10.1186/s12943-022-01653-2.

Abstract

BACKGROUND

Metastasis of breast cancer have caused the majority of cancer-related death worldwide. The circRNAs are associated with tumorigenesis and metastasis in breast cancer according to recent research. However, the biological mechanism of circRNAs in liver metastatic breast cancer remains ambiguous yet.

METHODS

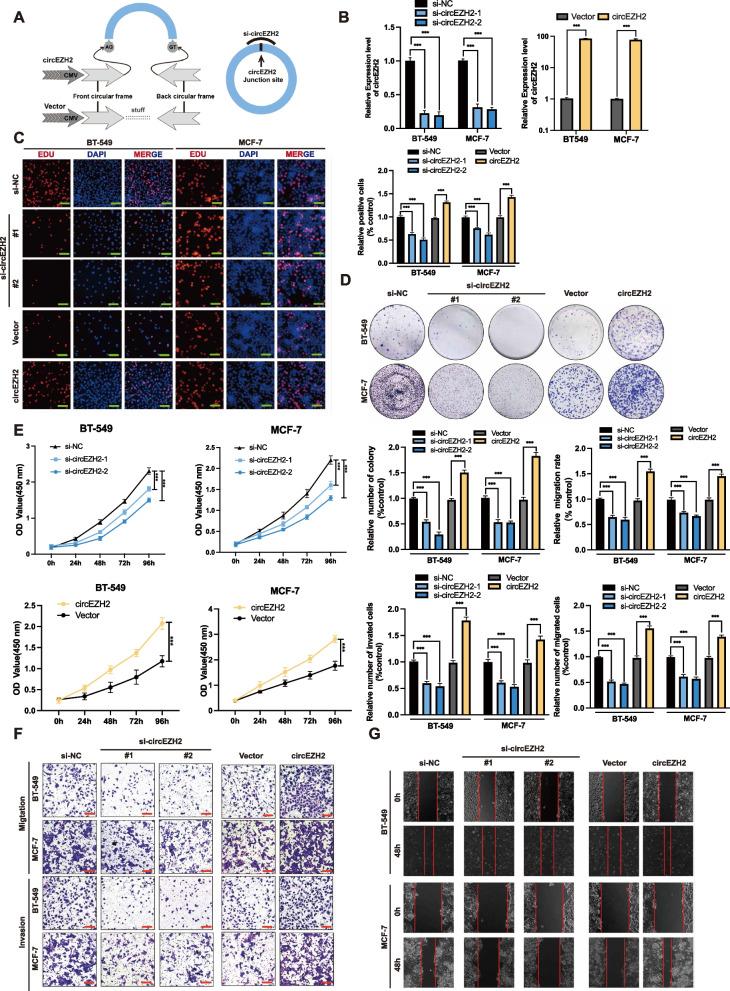
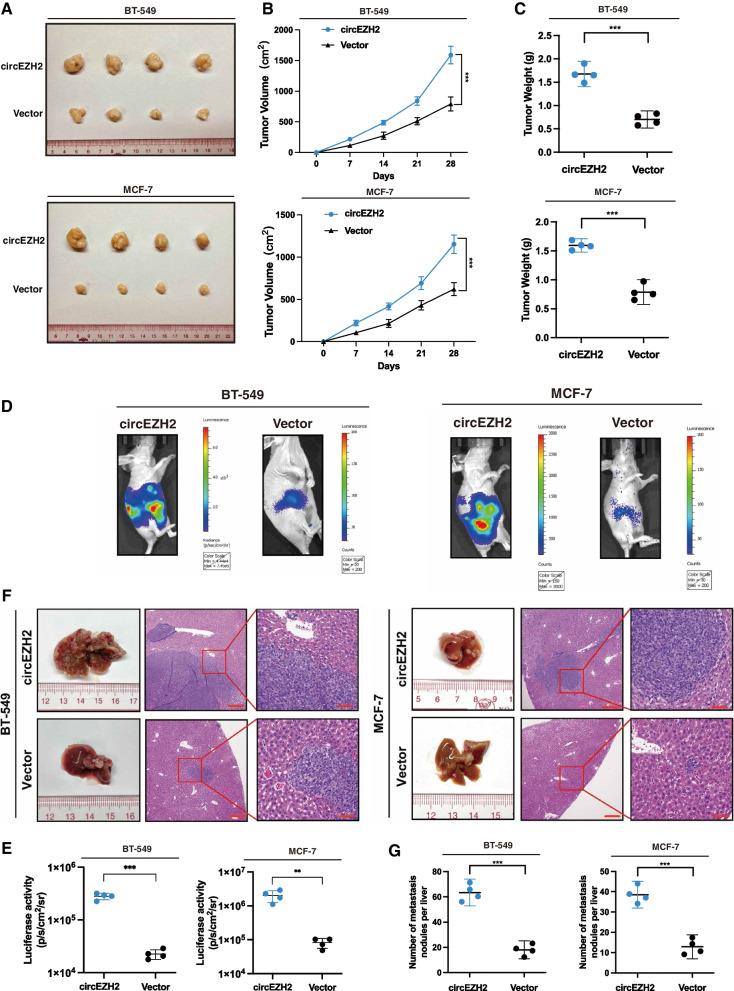
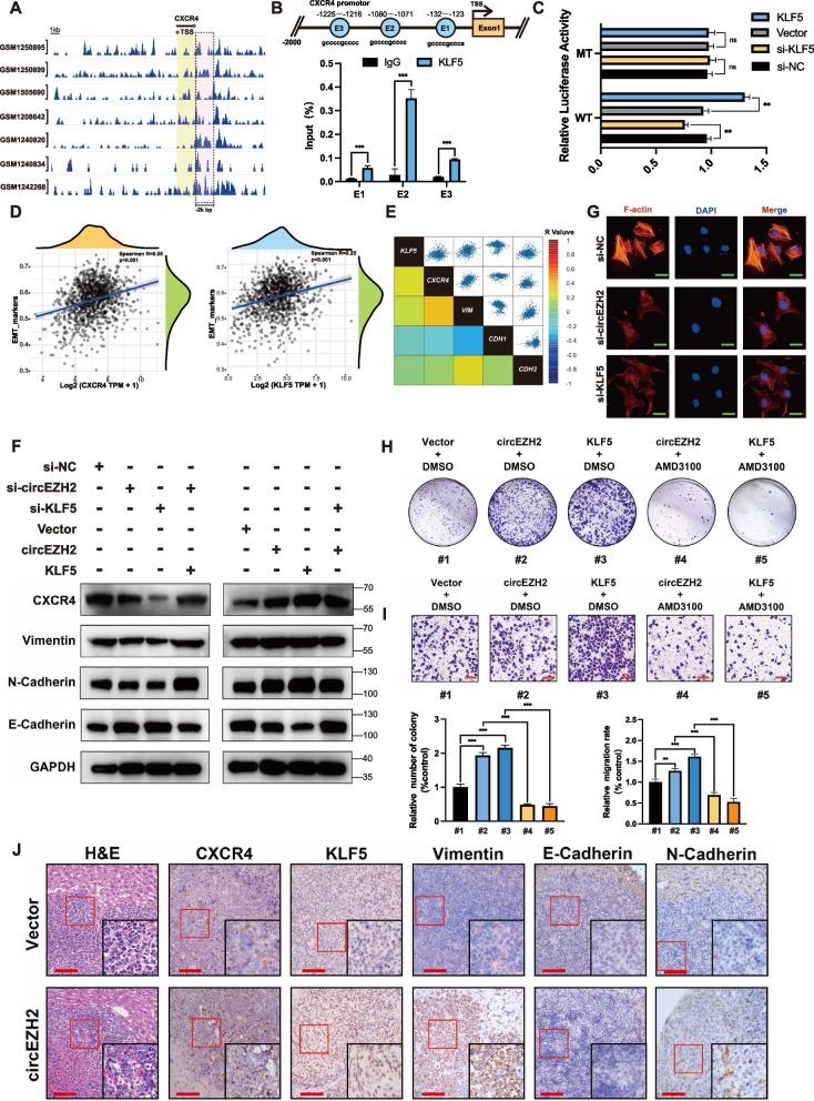
Microarray analysis of three pairs of primary BC tissues and matched hepatic metastatic specimens identified circEZH2. We used RT-qPCR and FISH assays to confirm circEZH2 existence, characteristics, and expression. Both in vivo and in vitro, circEZH2 played an oncogenic role which promoted metastasis as well. A range of bioinformatic analysis, Western blot, RNA pull-down, RIP, ChIP, and animal experiments were used to define the feedback loop involving FUS, circEZH2, miR-217-5p, KLF5, FUS, CXCR4 as well as epithelial and mesenchymal transition.

RESULTS

In our research, circEZH2 was proved to be upregulated in liver metastases in BC and predicted the worse prognosis in breast cancer patients. Overexpression of circEZH2 notably accentuated the vitality and invasion of BC cells, whereas knockdown of circEZH2 elicited the literally opposite effects. Besides, overexpressed circEZH2 promoted tumorigenesis and liver metastasis in vivo. Moreover, circEZH2 could adsorb miR-217-5p to upregulate KLF5 thus leading to activate FUS transcription which would facilitate the back-splicing program of circEZH2. Meanwhile, KLF5 could upregulated CXCR4 transcriptionally to accelerate epithelial and mesenchymal transition of breast cancer.

CONCLUSIONS

Consequently, a novel feedback loop FUS/circEZH2/KLF5/CXCR4 was established while circEZH2 could be novel biomarker and potential target for BC patients' therapy.

摘要

背景

乳腺癌转移导致了全球大多数与癌症相关的死亡。根据最近的研究,circRNAs 与乳腺癌的发生和转移有关。然而,circRNAs 在肝转移性乳腺癌中的生物学机制仍不清楚。

方法

对三对原发性 BC 组织和匹配的肝转移标本进行微阵列分析,鉴定出 circEZH2。我们使用 RT-qPCR 和 FISH 检测来证实 circEZH2 的存在、特征和表达。在体内和体外,circEZH2 都发挥了致癌作用,促进了转移。通过一系列的生物信息学分析、Western blot、RNA 下拉、RIP、ChIP 和动物实验,定义了涉及 FUS、circEZH2、miR-217-5p、KLF5、FUS、CXCR4 以及上皮和间充质转化的反馈环。

结果

在我们的研究中,circEZH2 在 BC 的肝转移中被证明上调,并预测了乳腺癌患者的预后更差。circEZH2 的过表达显著增强了 BC 细胞的活力和侵袭能力,而 circEZH2 的敲低则产生了相反的效果。此外,过表达的 circEZH2 促进了体内肿瘤的发生和肝转移。此外,circEZH2 可以吸附 miR-217-5p 来上调 KLF5,从而激活 FUS 转录,促进 circEZH2 的反向剪接程序。同时,KLF5 可以转录上调 CXCR4,加速乳腺癌的上皮间质转化。

结论

因此,建立了一个新的反馈环 FUS/circEZH2/KLF5/CXCR4,而 circEZH2 可以作为 BC 患者治疗的新型生物标志物和潜在靶点。

https://cdn.ncbi.nlm.nih.gov/pmc/blobs/d80c/9555172/aea06478e57d/12943_2022_1653_Fig1_HTML.jpg

文献AI研究员

20分钟写一篇综述,助力文献阅读效率提升50倍。

立即体验

用中文搜PubMed

大模型驱动的PubMed中文搜索引擎

马上搜索

文档翻译

学术文献翻译模型,支持多种主流文档格式。

立即体验