Suppr超能文献

双层光谱探测器CT成像在预测结直肠癌病理肿瘤分期和组织学分级中的应用价值。

Utility of dual-layer spectral-detector CT imaging for predicting pathological tumor stages and histologic grades of colorectal adenocarcinoma.

作者信息

Chen Weicui, Ye Yongsong, Zhang Daochun, Mao Liting, Guo Lei, Zhang Hanliang, Du Xiaohua, Deng Weiwei, Liu Bo, Liu Xian

机构信息

Department of Radiology, The Second Affiliated Hospital of Guangzhou University of Chinese Medicine, Guangzhou, China.

Taizhou Hospital of Zhejiang Province affiliated to Wenzhou Medical University, Taizhou, China.

出版信息

Front Oncol. 2022 Oct 3;12:1002592. doi: 10.3389/fonc.2022.1002592. eCollection 2022.

Abstract

OBJECTIVES

To assess the utility of Dual-layer spectral-detector CT (DLCT) in predicting the pT stage and histologic grade for colorectal adenocarcinoma (CRAC).

METHODS

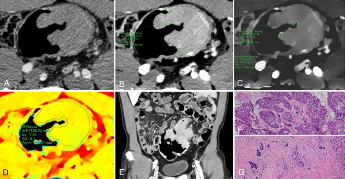
A total of 131 patients (mean 62.7 ± 12.9 years; 72 female, 59 male) with pathologically confirmed CRAC (35 pT1-2, 61 pT3, and 35 pT4; 32 high grade and 99 low grade), who received dual-phase DLCT were enrolled in this retrospective study. Normalized iodine concentration (NIC), slope of the spectral HU curve (λHU), and effective atomic number (Eff-Z) were measured for each lesion by two radiologists independently. Intraobserver reliability and interobserver agreement were assessed. The above values were compared between three pT-stage and two histologic-grade groups. The correlation between the pT stages and above values were assessed. Receiver operating characteristic (ROC) curves were calculated to evaluate the diagnostic efficacy.

RESULTS

Intra-class correlation coefficients were ranged from 0.856 to 0.983 for all measurements. Eff-Z [7.21(0.09) vs 7.31 (0.10) vs 7.35 (0.19)], NIC [0.11 (0.05) vs 0.15 (0.08) vs 0.15 (0.08)], NIC [0.27 (0.06) vs 0.34 (0.11) vs 0.35 (0.12)], λHU [1.20 (0.45) vs 1.93 (1.18) vs 2.37 (0.91)], and λHU [2.07 (0.68) vs 2.35 (0.62) vs 3.09 (1.07)] were significantly different among pT stage groups (all <0.001) and exhibited a positive correlation with pT stages (= 0.503, 0.455, 0.394, 0.512, 0.376, respectively, all <0.001). Eff-Z [7.37 (0.10) vs 7.28 (0.08)], NIC[0.20 (0.10) vs 0.13 (0.08)], NIC[0.35 (0.07) vs 0.31 (0.11)], and λHU [2.59 (1.11) vs 1.63 (0.75)] in the high-grade group were markedly higher than those in the low-grade group (all <0.05). For discriminating the advanced- from early-stage CARC, the AUCs of Eff-Z, NIC, NIC, λHU, and λHU were 0.83, 0.80, 0.79, 0.86, and 0.68, respectively (all <0.001). For discriminating the high- from low-grade CARC, the AUCs of Eff-Z, NIC, NIC, and λHU were 0.81, 0.81, 0.64, and 0.81, respectively (all <0.05).

CONCLUSIONS

The quantitative parameters derived from DLCT may provide new markers for assessing pT stages and histologic differentiation in patients with CRAC.

摘要

目的

评估双层光谱探测器CT(DLCT)在预测结直肠癌(CRAC)的pT分期和组织学分级中的应用价值。

方法

本回顾性研究纳入了131例经病理证实的CRAC患者(平均年龄62.7±12.9岁;女性72例,男性59例),这些患者均接受了双期DLCT检查(35例pT1-2期,61例pT3期,35例pT4期;32例高级别,99例低级别)。两名放射科医生独立测量每个病变的归一化碘浓度(NIC)、光谱HU曲线斜率(λHU)和有效原子序数(Eff-Z)。评估观察者内可靠性和观察者间一致性。比较上述值在三个pT分期组和两个组织学分级组之间的差异。评估pT分期与上述值之间的相关性。计算受试者工作特征(ROC)曲线以评估诊断效能。

结果

所有测量的组内相关系数范围为0.856至0.983。Eff-Z[7.21(0.09)对7.31(0.10)对7.35(0.19)]、NIC[0.11(0.05)对0.15(0.08)对0.15(0.08)]、NIC[0.27(0.06)对0.34(0.11)对0.35(0.12)]、λHU[1.20(0.45)对1.93(1.18)对2.37(0.91)]和λHU[2.07(0.68)对2.35(0.62)对3.09(1.07)]在pT分期组之间存在显著差异(均<0.001),并且与pT分期呈正相关(分别为=0.503、0.455、0.394、0.512、0.376,均<0.001)。高级别组的Eff-Z[7.37(0.10)对7.28(0.08)]、NIC[0.20(0.10)对0.13(0.08)]、NIC[0.35(0.07)对0.31(0.11)]和λHU[2.59(1.11)对1.63(0.75)]明显高于低级别组(均<0.05)。对于区分进展期与早期CARC,Eff-Z、NIC、NIC、λHU和λHU的AUC分别为0.83、0.80、0.79、0.86和0.68(均<0.001)。对于区分高级别与低级别CARC,Eff-Z、NIC、NIC和λHU的AUC分别为0.81、0.81、0.64和0.81(均<0.05)。

结论

从DLCT得出的定量参数可为评估CRAC患者的pT分期和组织学分化提供新的标志物。

https://cdn.ncbi.nlm.nih.gov/pmc/blobs/8701/9564703/322327ede683/fonc-12-1002592-g001.jpg

文献AI研究员

20分钟写一篇综述,助力文献阅读效率提升50倍。

立即体验

用中文搜PubMed

大模型驱动的PubMed中文搜索引擎

马上搜索

文档翻译

学术文献翻译模型,支持多种主流文档格式。

立即体验