Suppr超能文献

HDAC6 依赖性 TAK1 去乙酰化增强 sIL-6R 释放,促进结肠癌中巨噬细胞 M2 极化。

HDAC6-dependent deacetylation of TAK1 enhances sIL-6R release to promote macrophage M2 polarization in colon cancer.

机构信息

Department of Gastrointestinal Cancer Biology, Tianjin Medical University Cancer Institute & Hospital, National Clinical Research Center for Cancer, Tianjin, China.

Key Laboratory of Cancer Immunology and Biotherapy, Tianjin, China.

出版信息

Cell Death Dis. 2022 Oct 21;13(10):888. doi: 10.1038/s41419-022-05335-1.

Abstract

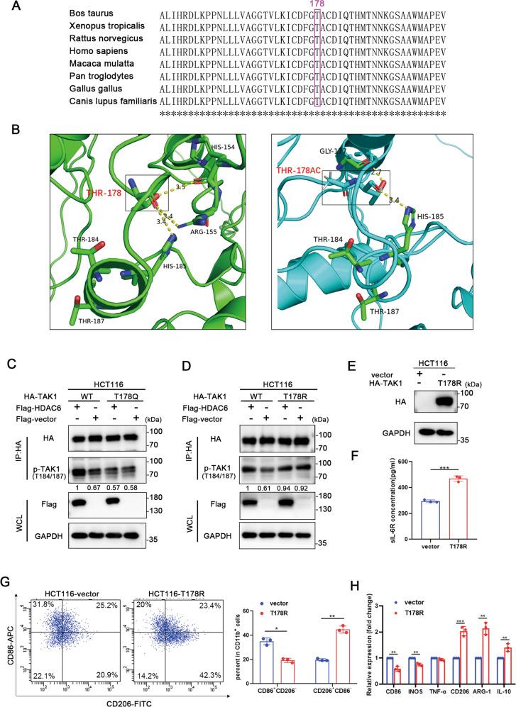
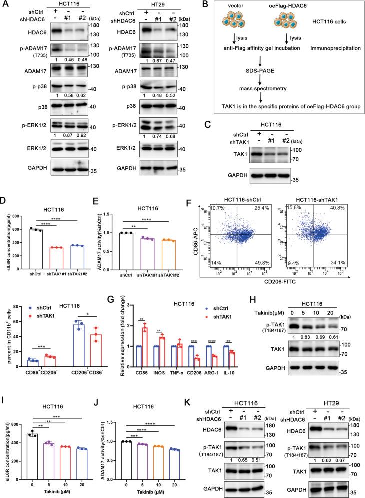
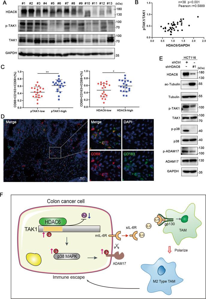
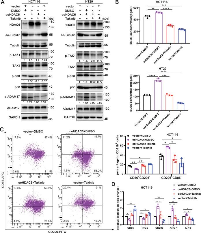
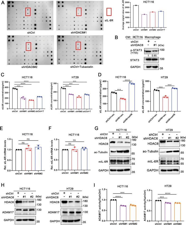
Histone deacetylase 6 (HDAC6), a member of the HDAC family, has been identified as a potential therapeutic target for tumor therapy, but the function and underlying mechanisms of HDAC6 in colon cancer are incompletely characterized. Our study showed that the infiltration ratio of M2 macrophages was increased in colon cancer tissues with high HDAC6 expression. Similarly, the knockdown of HDAC6 in colon cancer cells inhibited cocultured macrophage M2 polarization in vitro. Analysis of the antibody chip revealed that HDAC6 promoted sIL-6R release to enhance macrophage M2 polarization. Mass spectrometry and immunoprecipitation demonstrated that, mechanistically, HDAC6 interacted with transforming growth factor β-activated kinase 1 (TAK1), deacetylated TAK1 at T178 and promoted TAK1 phosphorylation. TAK1-p38 MAPK signaling could further increase the phosphorylation and activity of ADAM17, which is responsible for shedding of IL-6R. Notably, the expression of phosphorylated TAK1 was positively correlated with HDAC6 expression and macrophage M2 polarization in human colon cancer tissues. Our study revealed a new HDAC6-TAK1-ADAM17 regulatory axis that mediates sIL-6R release and macrophage polarization in colon cancer.

摘要

组蛋白去乙酰化酶 6(HDAC6)是 HDAC 家族的成员之一,已被确定为肿瘤治疗的潜在治疗靶点,但 HDAC6 在结肠癌中的功能和潜在机制尚未完全阐明。我们的研究表明,在高 HDAC6 表达的结肠癌组织中,M2 巨噬细胞的浸润比例增加。同样,在结肠癌细胞中敲低 HDAC6 可抑制体外共培养巨噬细胞 M2 极化。抗体芯片分析显示,HDAC6 促进 sIL-6R 的释放,从而增强巨噬细胞 M2 极化。质谱分析和免疫沉淀表明,从机制上讲,HDAC6 与转化生长因子β激活激酶 1(TAK1)相互作用,使 TAK1 在 T178 处去乙酰化,并促进 TAK1 磷酸化。TAK1-p38 MAPK 信号通路可进一步增加 ADAM17 的磷酸化和活性,ADAM17 负责 IL-6R 的脱落。值得注意的是,磷酸化 TAK1 的表达与人结肠癌组织中 HDAC6 的表达和巨噬细胞 M2 极化呈正相关。我们的研究揭示了一个新的 HDAC6-TAK1-ADAM17 调节轴,介导了 sIL-6R 的释放和结肠癌中的巨噬细胞极化。

https://cdn.ncbi.nlm.nih.gov/pmc/blobs/68a4/9587286/0168420c2d2b/41419_2022_5335_Fig1_HTML.jpg

文献AI研究员

20分钟写一篇综述,助力文献阅读效率提升50倍。

立即体验

用中文搜PubMed

大模型驱动的PubMed中文搜索引擎

马上搜索

文档翻译

学术文献翻译模型,支持多种主流文档格式。

立即体验