Suppr超能文献

口腔上皮发育异常和口腔鳞状细胞癌中RNA m6A去甲基化酶的研究

A study of RNA m6A demethylases in oral epithelial dysplasia and oral squamous cell carcinoma.

作者信息

Udompatanakorn Chatchaphan, Sriviriyakul Pichamon, Taebunpakul Patrayu

机构信息

Department of Oral Surgery and Oral Medicine, Faculty of Dentistry, Srinakharinwirot University, Bangkok, Thailand.

出版信息

J Oral Biol Craniofac Res. 2023 Mar-Apr;13(2):111-116. doi: 10.1016/j.jobcr.2022.12.003. Epub 2022 Dec 10.

Abstract

PURPOSE

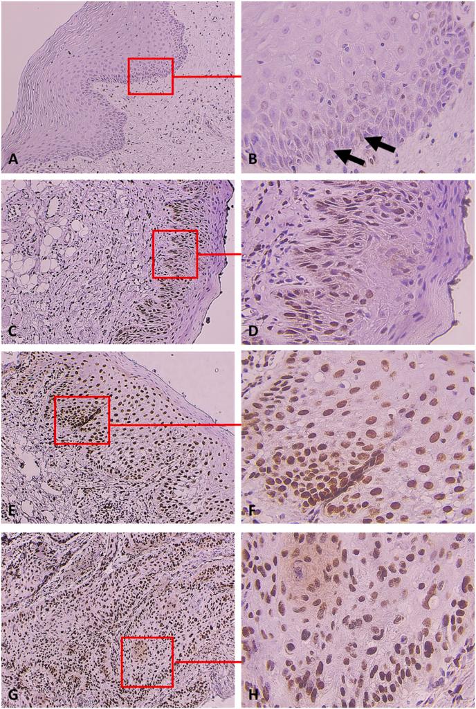
N6-Methyladenosine (m6A) modification is involved in the tumorigenesis of various cancers. However, the roles of RNA m6A demethylases, fat mass and obesity-associated protein (FTO), and AlkB homolog 5 (ALKBH5) in oral epithelial dysplasia (OED) and oral squamous cell carcinoma (OSCC) remain unclear. This study focuses on FTO and ALKBH5 expression by using immunohistochemistry.

MATERIAL AND METHODS

Twenty specimens each of OED, OSCC, and normal oral mucosa (NOM) were included. The expression pattern, the number of positive cells, the cell-staining intensity, and the histochemical scoring (H-score) were examined and analyzed.

RESULTS

In all the OED and OSCC specimens, FTO and ALKBH5 were mainly expressed with moderate to strong staining intensity in the nuclei of the abnormal epithelial cells, respectively. Regarding the NOM, both RNA demethylases showed mild cell staining intensity and was present in 50-60% of the specimens. Interestingly, the percentage of cell positivity, the cell-staining intensity, and the H-score of the FTO and ALKBH5 in NOM, OED, and OSCC were increased, respectively (p < 0.001). There was also a positive correlation between the FTO and ALKBH5 expressions in OSCC (r = 0.62, p = 0.003), but not in the NOM and OED.

CONCLUSION

These results suggest a possible prognostic role of FTO and ALKBH5 expression in the malignant transformation of OED and tumor progression. Further studies are needed to elucidate the mechanisms underlying the roles of FTO and ALKBH5 in carcinogenesis.

摘要

目的

N6-甲基腺苷(m6A)修饰参与多种癌症的肿瘤发生。然而,RNA m6A去甲基化酶、脂肪量和肥胖相关蛋白(FTO)以及AlkB同源物5(ALKBH5)在口腔上皮发育异常(OED)和口腔鳞状细胞癌(OSCC)中的作用仍不清楚。本研究通过免疫组织化学法聚焦于FTO和ALKBH5的表达。

材料与方法

纳入20例OED、OSCC和正常口腔黏膜(NOM)标本。检查并分析其表达模式、阳性细胞数量、细胞染色强度和组织化学评分(H评分)。

结果

在所有OED和OSCC标本中,FTO和ALKBH5分别主要在异常上皮细胞核中呈中度至强染色强度表达。对于NOM,两种RNA去甲基化酶均显示轻度细胞染色强度,且存在于50%-60%的标本中。有趣的是,NOM、OED和OSCC中FTO和ALKBH5的细胞阳性率、细胞染色强度和H评分分别增加(p<0.001)。OSCC中FTO和ALKBH5表达之间也存在正相关(r=0.62,p=0.003),但在NOM和OED中无相关性。

结论

这些结果提示FTO和ALKBH5表达在OED恶性转化和肿瘤进展中可能具有预后作用。需要进一步研究以阐明FTO和ALKBH5在致癌作用中发挥作用的潜在机制。

https://cdn.ncbi.nlm.nih.gov/pmc/blobs/4cbb/9792536/f14f0e00560f/ga1.jpg

文献AI研究员

20分钟写一篇综述,助力文献阅读效率提升50倍。

立即体验

用中文搜PubMed

大模型驱动的PubMed中文搜索引擎

马上搜索

文档翻译

学术文献翻译模型,支持多种主流文档格式。

立即体验