Suppr超能文献

端粒沉默的调控由核心组蛋白-自噬-Sir2 轴完成。

Regulation of telomere silencing by the core histones-autophagy-Sir2 axis.

机构信息

State Key Laboratory of Biocatalysis and Enzyme Engineering, College of Life Sciences, Hubei University, Wuhan, China.

State Key Laboratory of Biocatalysis and Enzyme Engineering, College of Life Sciences, Hubei University, Wuhan, China

出版信息

Life Sci Alliance. 2022 Dec 30;6(3). doi: 10.26508/lsa.202201614. Print 2023 Mar.

Abstract

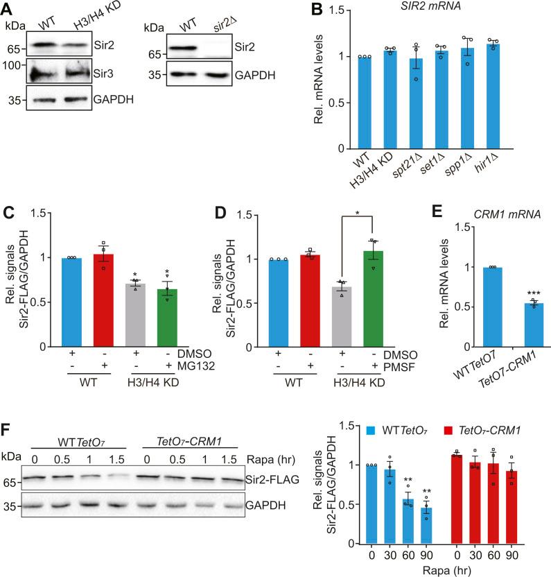
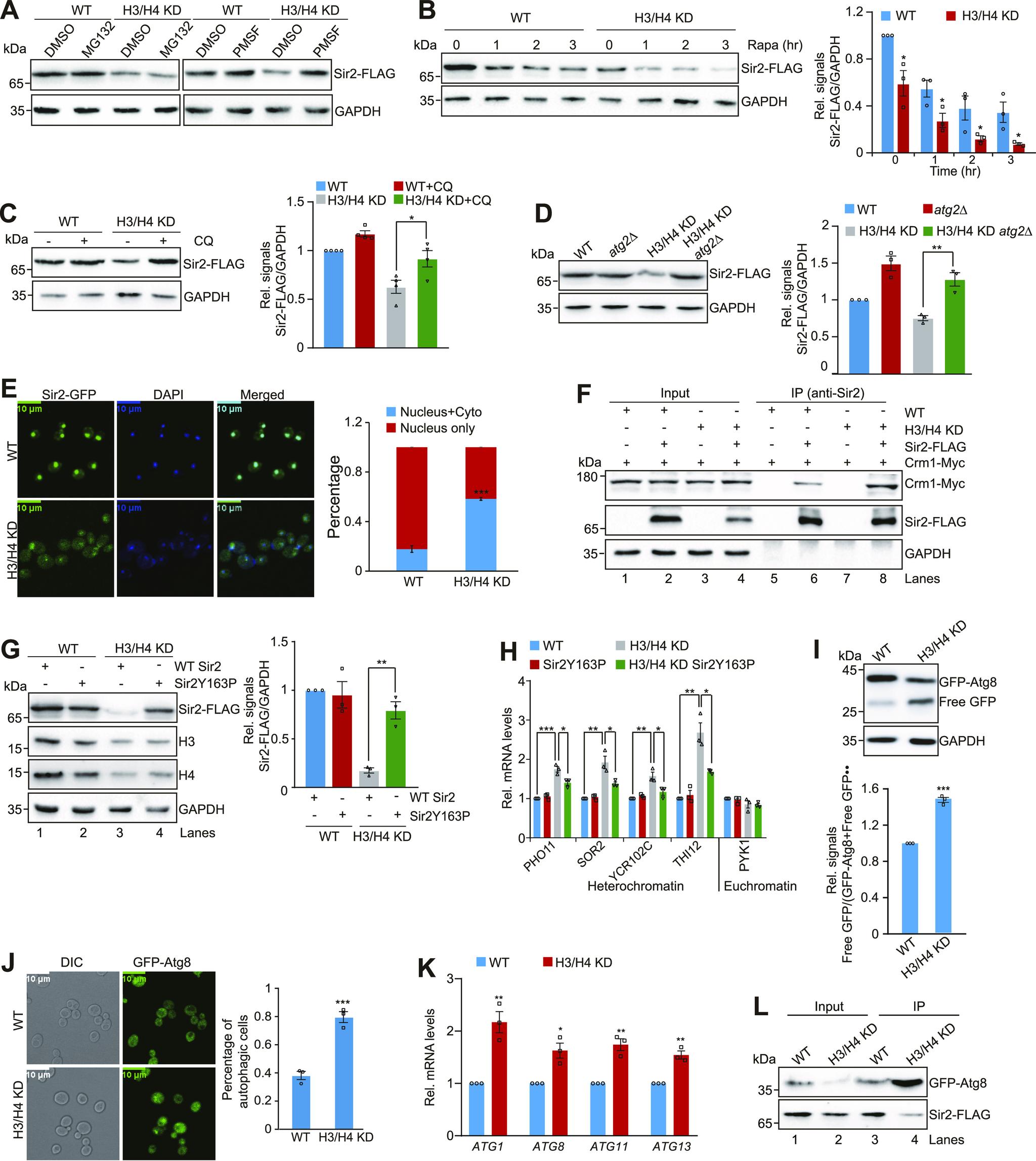
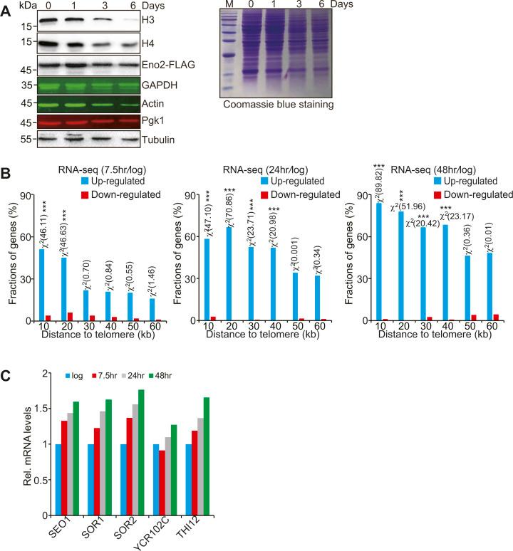
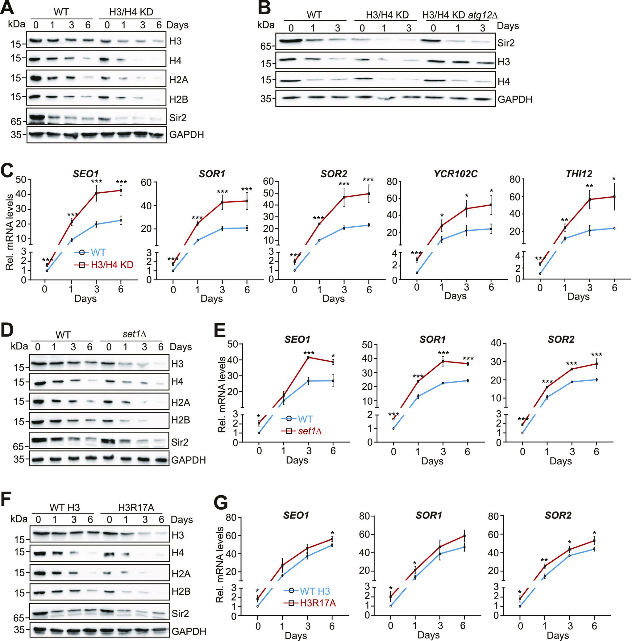
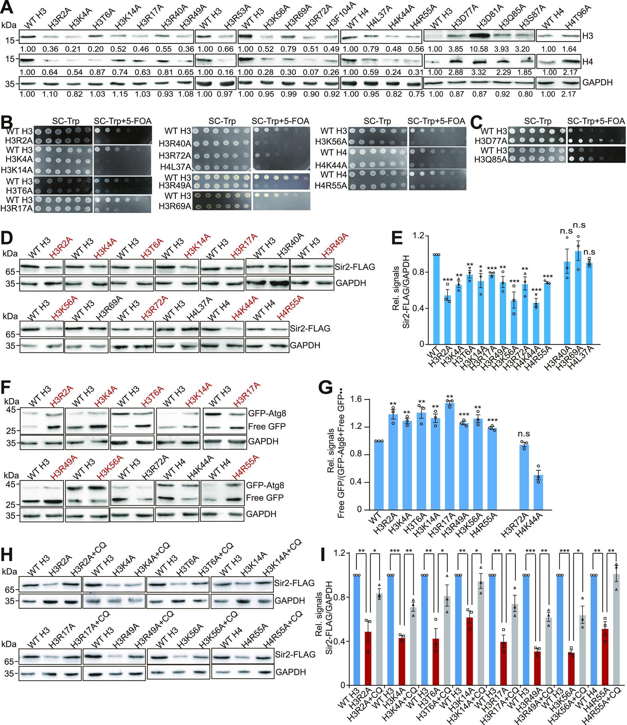
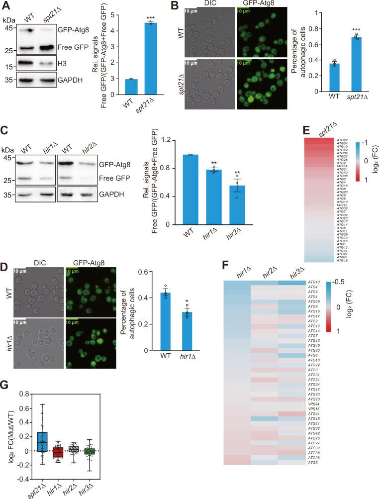
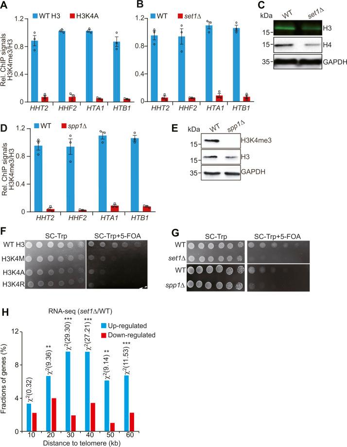
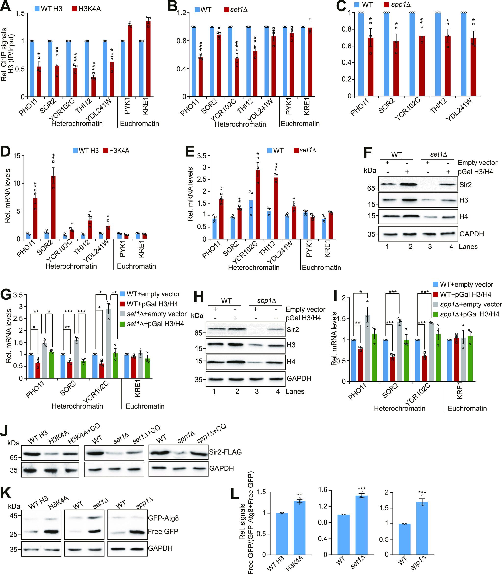
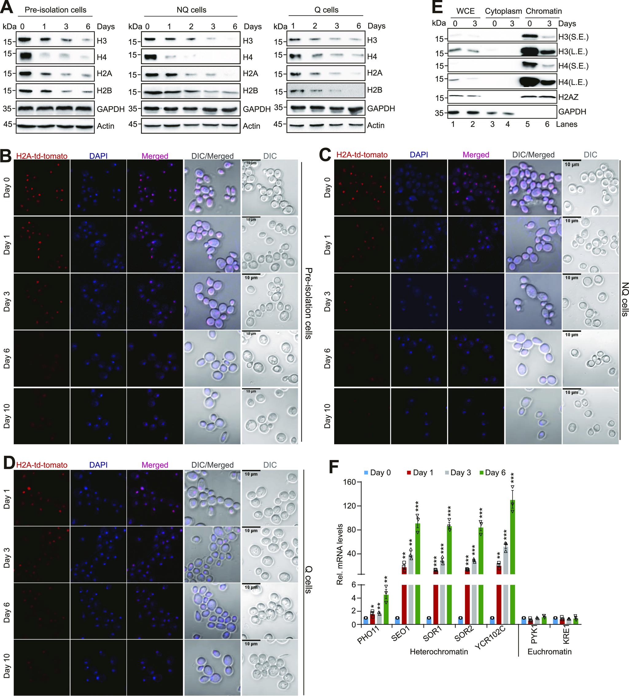
Telomeres contain compacted heterochromatin, and genes adjacent to telomeres are subjected to transcription silencing. Maintaining telomere structure integrity and transcription silencing is important to prevent the occurrence of premature aging and aging-related diseases. How telomere silencing is regulated during aging is not well understood. Here, we find that the four core histones are reduced during yeast chronological aging, leading to compromised telomere silencing. Mechanistically, histone loss promotes the nuclear export of Sir2 and its degradation by autophagy. Meanwhile, reducing core histones enhances the autophagy pathway, which further accelerates autophagy-mediated Sir2 degradation. By screening the histone mutant library, we identify eight histone mutants and one histone modification (histone methyltransferase Set1-catalyzed H3K4 trimethylation) that regulate telomere silencing by modulating the core histones-autophagy-Sir2 axis. Overall, our findings reveal core histones and autophagy as causes of aging-coupled loss of telomere silencing and shed light on dynamic regulation of telomere structure during aging.

摘要

端粒含有浓缩的异染色质,并且与端粒相邻的基因受到转录沉默的调控。维持端粒结构的完整性和转录沉默对于防止过早衰老和与衰老相关的疾病的发生非常重要。端粒沉默在衰老过程中是如何被调控的,目前还不是很清楚。在这里,我们发现,在酵母的时序衰老过程中,四种核心组蛋白减少,导致端粒沉默受损。从机制上讲,组蛋白的丢失促进了 Sir2 的核输出及其自噬降解。同时,降低核心组蛋白会增强自噬途径,从而进一步加速自噬介导的 Sir2 降解。通过筛选组蛋白突变体文库,我们鉴定出八种组蛋白突变体和一种组蛋白修饰(组蛋白甲基转移酶 Set1 催化的 H3K4 三甲基化),它们通过调节核心组蛋白-自噬-Sir2 轴来调节端粒沉默。总的来说,我们的研究结果揭示了核心组蛋白和自噬是导致衰老相关的端粒沉默丧失的原因,并阐明了端粒结构在衰老过程中的动态调控。

https://cdn.ncbi.nlm.nih.gov/pmc/blobs/c56c/9806677/1be21a5bd5e7/LSA-2022-01614_Fig1.jpg

文献AI研究员

20分钟写一篇综述,助力文献阅读效率提升50倍。

立即体验

用中文搜PubMed

大模型驱动的PubMed中文搜索引擎

马上搜索

文档翻译

学术文献翻译模型,支持多种主流文档格式。

立即体验