Department of Pediatrics, Institute of Pediatric Research, Children's Hospital of Soochow University, Suzhou, Jiangsu, China.
Department of Pediatrics, Fujian Provincial Hospital, Fujian Provincial Clinical College of Fujian Medical University, Fuzhou, Fujian, China.
Front Immunol. 2023 Jan 9;13:1090056. doi: 10.3389/fimmu.2022.1090056. eCollection 2022.
The Ca+/NFAT (Nuclear factor of activated T cells) signaling pathway activation is implicated in the pathogenesis of Kawasaki disease (KD); however, we lack detailed information regarding the regulatory network involved in the human coronary endothelial cell dysfunction and cardiovascular lesion development. Herein, we aimed to use mouse and endothelial cell models of KD vasculitis and to characterize the regulatory network of NFAT pathway in KD.
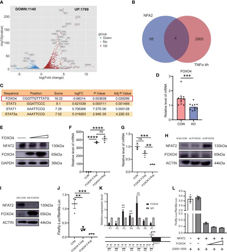
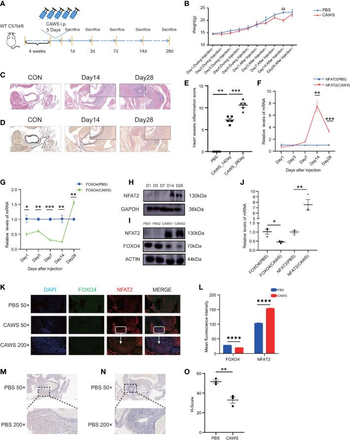
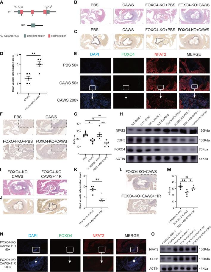
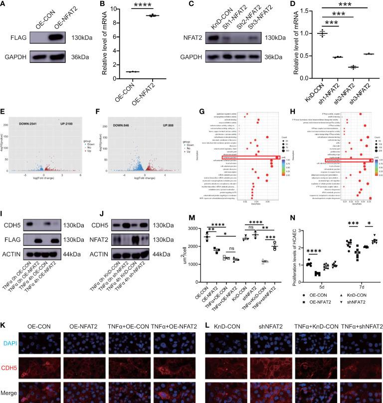
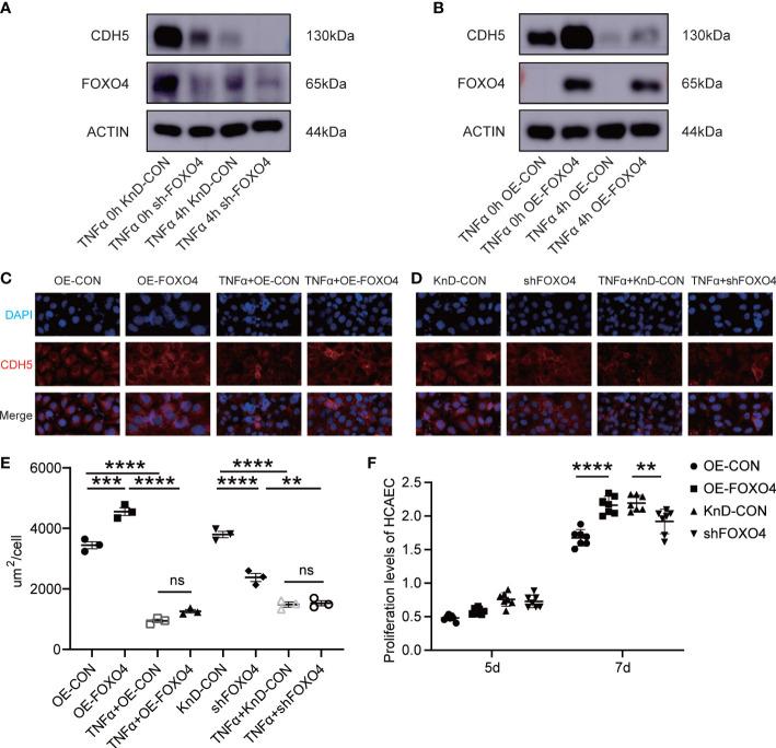
Among the NFAT gene family, showed the strongest transcriptional activity in peripheral blood mononuclear cells (PBMCs) from patients with KD. Then, overexpression and knockdown experiments in Human coronary artery endothelial cells (HCAECs) indicated that overexpression disrupted endothelial cell homeostasis by regulation of adherens junctions, whereas its knockdown protected HCAECs from such dysfunction. Combined analysis using RNA-sequencing and transcription factor (TF) binding site analysis in the promoter region predicted regulation by Forkhead box O4 (FOXO4). Western blotting, chromatin immunoprecipitation, and luciferase assays validated that binds to the promoter and transcriptionally represses . Moreover, knockout increased the extent of inflamed vascular tissues in a mouse model of KD vasculitis. Functional experiments showed that inhibition NFAT2 relieved knockout exaggerated vasculitis .
Our findings revealed the FOXO4/NFAT2 axis as a vital pathway in the progression of KD that is associated with endothelial cell homeostasis and cardiovascular inflammation development.
钙/核因子活化 T 细胞(NFAT)信号通路的激活与川崎病(KD)的发病机制有关;然而,我们缺乏关于涉及人冠状动脉内皮细胞功能障碍和心血管损伤发展的调节网络的详细信息。在此,我们旨在使用 KD 血管炎的小鼠和内皮细胞模型,并阐明 NFAT 通路在 KD 中的调节网络。
在 NFAT 基因家族中,在 KD 患者的外周血单核细胞(PBMCs)中显示出最强的转录活性。然后,在人冠状动脉内皮细胞(HCAECs)中进行过表达和敲低实验表明,NFAT2 过表达通过调节黏附连接破坏内皮细胞稳态,而其敲低则保护 HCAECs 免受这种功能障碍。使用 RNA-seq 和转录因子(TF)结合位点分析对 启动子区域进行联合分析,预测 FOXO4 的调节作用。Western blot、染色质免疫沉淀和荧光素酶测定验证了 与启动子结合并转录抑制 。此外,NFAT2 敲除增加了 KD 血管炎小鼠模型中炎症血管组织的程度。功能实验表明,抑制 NFAT2 可缓解 NFAT2 敲除引起的血管炎加重。
我们的研究结果揭示了 FOXO4/NFAT2 轴作为与内皮细胞稳态和心血管炎症发展相关的 KD 进展的重要途径。