Suppr超能文献

逆转座子蛋白 L1 ORF1p 的表达对肝癌致癌途径的影响:细胞质 PIN1 上调的作用。

Impact of retrotransposon protein L1 ORF1p expression on oncogenic pathways in hepatocellular carcinoma: the role of cytoplasmic PIN1 upregulation.

机构信息

Newcastle University Centre for Cancer, Biosciences Institute, Faculty of Medical Sciences, Newcastle University, Newcastle-upon-Tyne, NE2 4HH, UK.

Department of Cellular Pathology, Newcastle upon Tyne Hospitals NHS Foundation Trust, Newcastle-upon-Tyne, UK.

出版信息

Br J Cancer. 2023 Mar;128(7):1236-1248. doi: 10.1038/s41416-023-02154-9. Epub 2023 Jan 27.

Abstract

BACKGROUND

Molecular characterisation of hepatocellular carcinoma (HCC) is central to the development of novel therapeutic strategies for the disease. We have previously demonstrated mutagenic consequences of Long-Interspersed Nuclear Element-1 (LINE1s/L1) retrotransposition. However, the role of L1 in HCC, besides somatic mutagenesis, is not well understood.

METHODS

We analysed L1 expression in the TCGA-HCC RNAseq dataset (n = 372) and explored potential relationships between L1 expression and clinical features. The findings were confirmed by immunohistochemical (IHC) analysis of an independent human HCC cohort (n = 48) and functional mechanisms explored using in vitro and in vivo model systems.

RESULTS

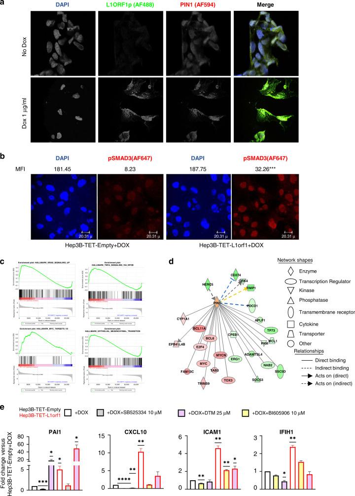
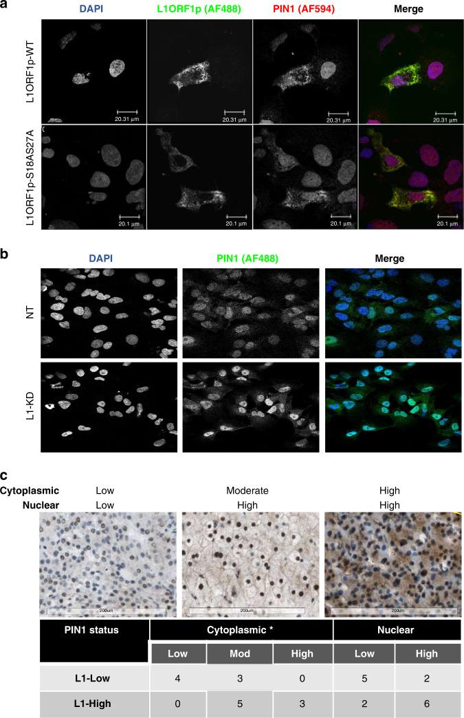
We observed positive associations between L1 and activated TGFβ-signalling, TP53 mutation, alpha-fetoprotein and tumour invasion. IHC confirmed a positive association between pSMAD3, a surrogate for TGFβ-signalling status, and L1 ORF1p (P < 0.0001, n = 32). Experimental modulation of L1 ORF1p levels revealed an influence of L1 ORF1p on key hepatocarcinogenesis-related pathways. Reduction in cell migration and invasive capacity was observed upon L1 ORF1 knockdown, both in vitro and in vivo. In particular, L1 ORF1p increased PIN1 cytoplasmic localisation. Blocking PIN1 activity abrogated L1 ORF1p-induced NF-κB-mediated inflammatory response genes while further activated TGFβ-signalling confirming differential alteration of PIN1 activity in cellular compartments by L1 ORF1p.

DISCUSSION

Our data demonstrate a causal link between L1 ORF1p and key oncogenic pathways mediated by PIN1, presenting a novel therapeutic avenue.

摘要

背景

肝细胞癌 (HCC) 的分子特征是开发该疾病新治疗策略的核心。我们之前已经证明了长散在核元件-1 (LINE1s/L1) 反转录转座的诱变后果。然而,除了体细胞突变之外,L1 在 HCC 中的作用尚未得到很好的理解。

方法

我们分析了 TCGA-HCC RNAseq 数据集 (n=372) 中的 L1 表达,并探索了 L1 表达与临床特征之间的潜在关系。通过对独立的人类 HCC 队列 (n=48) 的免疫组织化学 (IHC) 分析和体外及体内模型系统的功能机制研究证实了这一发现。

结果

我们观察到 L1 与激活的 TGFβ 信号、TP53 突变、甲胎蛋白和肿瘤侵袭之间存在正相关。IHC 证实了 pSMAD3(TGFβ 信号状态的替代物)与 L1 ORF1p 之间存在正相关 (P<0.0001,n=32)。L1 ORF1p 水平的实验调节揭示了 L1 ORF1p 对关键肝癌发生相关途径的影响。在体外和体内观察到 L1 ORF1 敲低后细胞迁移和侵袭能力降低。特别是,L1 ORF1p 增加了 PIN1 的细胞质定位。阻断 PIN1 活性消除了 L1 ORF1p 诱导的 NF-κB 介导的炎症反应基因,同时进一步激活了 TGFβ 信号,证实了 L1 ORF1p 在细胞区室中对 PIN1 活性的不同改变。

讨论

我们的数据表明,L1 ORF1p 与 PIN1 介导的关键致癌途径之间存在因果关系,为新的治疗途径提供了依据。

https://cdn.ncbi.nlm.nih.gov/pmc/blobs/0d43/10050422/cddb31b48797/41416_2023_2154_Fig1_HTML.jpg

文献AI研究员

20分钟写一篇综述,助力文献阅读效率提升50倍。

立即体验

用中文搜PubMed

大模型驱动的PubMed中文搜索引擎

马上搜索

文档翻译

学术文献翻译模型,支持多种主流文档格式。

立即体验