Suppr超能文献

丹酚酸B对尼罗罗非鱼环磷酰胺诱导的肝损伤的氧化应激、自噬和凋亡具有调节作用()。 (括号里内容原文缺失,翻译时保留原样)

Salvianolic Acid B Regulates Oxidative Stress, Autophagy and Apoptosis against Cyclophosphamide-Induced Hepatic Injury in Nile Tilapia ().

作者信息

Cao Liping, Yin Guojun, Du Jinliang, Jia Rui, Gao Jiancao, Shao Nailin, Li Quanjie, Zhu Haojun, Zheng Yao, Nie Zhijuan, Ding Weidong, Xu Gangchun

机构信息

Key Laboratory of Integrated Rice-Fish Farming Ecology, Ministry of Agriculture and Rural Affairs, Freshwater Fisheries Research Center, Chinese Academy of Fishery Sciences, Wuxi 214081, China.

出版信息

Animals (Basel). 2023 Jan 18;13(3):341. doi: 10.3390/ani13030341.

Abstract

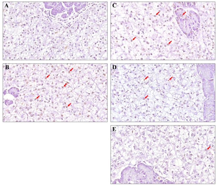
Salvianolic acid B (Sal B), as one of the main water-soluble components of , has significant pharmacological activities, including antioxidant, free radical elimination and biofilm protection actions. However, the protective effect of Sal B on Nile tilapia and the underlying mechanism are rarely reported. Therefore, the aim of this study was to evaluate the effects of Sal B on antioxidant stress, apoptosis and autophagy in Nile tilapia liver. In this experiment, Nile tilapia were fed diets containing sal B (0.25, 0.50 and 0.75 g·kg) for 60 days, and then the oxidative hepatic injury of the tilapia was induced via intrapleural injection of 50 g·kg cyclophosphamide (CTX) three times. After the final exposure to CTX, the Nile tilapia were weighed and blood and liver samples were collected for the detection of growth and biochemical indicators, pathological observations and TUNEL detection, as well as the determination of mRNA expression levels. The results showed that after the CTX treatment, the liver was severely damaged, the antioxidant capacity of the Nile tilapia was significantly decreased and the hepatocyte autophagy and apoptosis levels were significantly increased. Meanwhile, dietary Sal B can not only significantly improve the growth performance of tilapia and effectively reduce CTX-induced liver morphological lesions, but can also alleviate CTX-induced hepatocyte autophagy and apoptosis. In addition, Sal B also significantly regulated the expression of genes related to antioxidative stress, autophagy and apoptosis pathways. This suggested that the hepatoprotective effect of Sal B may be achieved through various pathways, including scavenging free radicals and inhibiting hepatocyte apoptosis and autophagy.

摘要

丹酚酸B(Sal B)作为丹参的主要水溶性成分之一,具有显著的药理活性,包括抗氧化、清除自由基和生物膜保护作用。然而,Sal B对尼罗罗非鱼的保护作用及其潜在机制鲜有报道。因此,本研究旨在评估Sal B对尼罗罗非鱼肝脏抗氧化应激、细胞凋亡和自噬的影响。在本实验中,尼罗罗非鱼投喂含Sal B(0.25、0.50和0.75 g·kg)的饲料60天,然后通过胸腔注射50 g·kg环磷酰胺(CTX)三次诱导罗非鱼肝脏氧化损伤。在最后一次接触CTX后,对尼罗罗非鱼称重并采集血液和肝脏样本,用于检测生长和生化指标、病理观察和TUNEL检测,以及mRNA表达水平的测定。结果表明,CTX处理后,尼罗罗非鱼肝脏严重受损,抗氧化能力显著降低,肝细胞自噬和凋亡水平显著升高。同时,饲料中的Sal B不仅能显著提高罗非鱼的生长性能,有效减轻CTX诱导的肝脏形态损伤,还能减轻CTX诱导的肝细胞自噬和凋亡。此外,Sal B还显著调节了与抗氧化应激、自噬和凋亡途径相关基因的表达。这表明Sal B的肝脏保护作用可能是通过多种途径实现的,包括清除自由基和抑制肝细胞凋亡及自噬。

https://cdn.ncbi.nlm.nih.gov/pmc/blobs/e8e2/9913662/f7d02975b7cb/animals-13-00341-g001.jpg

文献AI研究员

20分钟写一篇综述,助力文献阅读效率提升50倍。

立即体验

用中文搜PubMed

大模型驱动的PubMed中文搜索引擎

马上搜索

文档翻译

学术文献翻译模型,支持多种主流文档格式。

立即体验