Suppr超能文献

SLIT2-ROBO1 轴促进的共适应有助于胰腺导管腺癌的肝转移。

Coadaptation fostered by the SLIT2-ROBO1 axis facilitates liver metastasis of pancreatic ductal adenocarcinoma.

机构信息

State Key Laboratory of Oncogenes and Related Genes, Shanghai Cancer Institute, Ren Ji Hospital, School of Medicine, Shanghai Jiao Tong University, Shanghai, 200240, P.R. China.

Department of Biliary-Pancreatic Surgery, Ren Ji Hospital, School of Medicine, Shanghai Jiao Tong University, Shanghai, P.R. China.

出版信息

Nat Commun. 2023 Feb 15;14(1):861. doi: 10.1038/s41467-023-36521-0.

Abstract

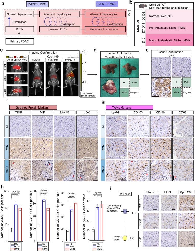
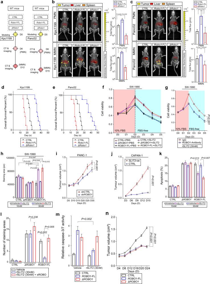
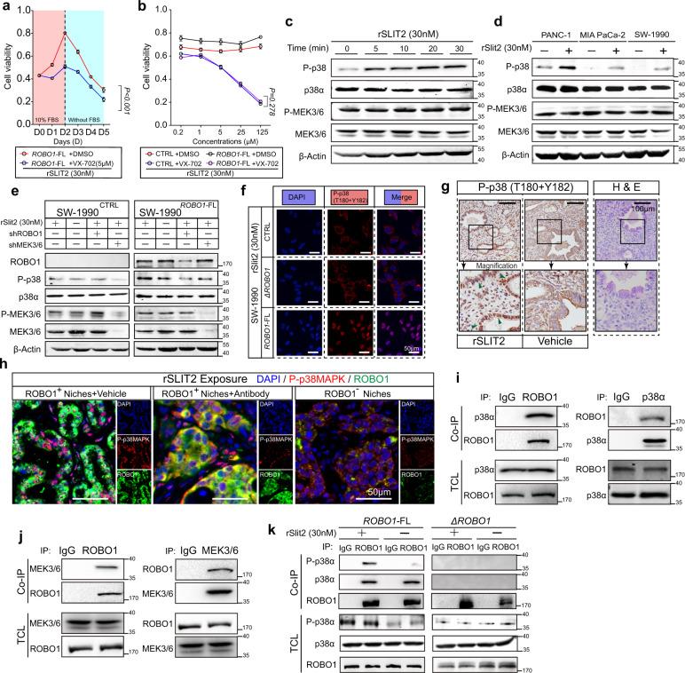
To explore the mechanism of coadaptation and the potential drivers of pancreatic ductal adenocarcinoma (PDAC) metastasis to the liver, we study key molecules involved in this process and their translational value. Premetastatic niche (PMN) and macrometastatic niche (MMN) formation in a mouse model is observed via CT combined with 3D organ reconstruction bioluminescence imaging, and then we screen slit guidance ligand 2 (SLIT2) and its receptor roundabout guidance receptor 1 (ROBO1) as important factors. After we confirm the expression and distribution of SLIT2 and ROBO1 in samples from PDAC patients and several mouse models, we discover that SLIT2-ROBO1-mediated coadaptation facilitated the implantation and outgrowth of PDAC disseminated tumour cells (DTCs) in the liver. We also demonstrate the dependence receptor (DR) characteristics of ROBO1 in a follow-up mechanistic study. A neutralizing antibody targeting ROBO1 significantly attenuate liver metastasis of PDAC by preventing the coadaptation effect. Thus, we demonstrate that coadaptation is supported by the DR characteristics in the PMN and MMN.

摘要

为了探索胰腺导管腺癌 (PDAC) 转移至肝脏的共适应机制和潜在驱动因素,我们研究了该过程中涉及的关键分子及其转化价值。通过 CT 结合 3D 器官重建生物发光成像,观察到小鼠模型中的前转移生态位 (PMN) 和大转移生态位 (MMN) 形成,然后筛选出裂缝导向配体 2 (SLIT2) 和其受体圆顶状导向受体 1 (ROBO1) 作为重要因素。在确认 PDAC 患者和几种小鼠模型的样本中 SLIT2 和 ROBO1 的表达和分布后,我们发现 SLIT2-ROBO1 介导的共适应促进了 PDAC 播散性肿瘤细胞 (DTC) 在肝脏中的植入和生长。我们在后续的机制研究中还证明了 ROBO1 的依赖性受体 (DR) 特征。针对 ROBO1 的中和抗体通过阻止共适应作用显著减弱了 PDAC 的肝转移。因此,我们证明共适应是由 PMN 和 MMN 中的 DR 特征支持的。

https://cdn.ncbi.nlm.nih.gov/pmc/blobs/f1e5/9932171/18de0fe70eb2/41467_2023_36521_Fig1_HTML.jpg

文献AI研究员

20分钟写一篇综述,助力文献阅读效率提升50倍。

立即体验

用中文搜PubMed

大模型驱动的PubMed中文搜索引擎

马上搜索

文档翻译

学术文献翻译模型,支持多种主流文档格式。

立即体验