Suppr超能文献

基于益生菌的纳米颗粒用于细菌性肺炎的靶向微生物群调节和免疫恢复

Probiotic-based nanoparticles for targeted microbiota modulation and immune restoration in bacterial pneumonia.

作者信息

Fu Jieni, Liu Xiangmei, Cui Zhenduo, Zheng Yufeng, Jiang Hui, Zhang Yu, Li Zhaoyang, Liang Yanqin, Zhu Shengli, Chu Paul K, Yeung Kelvin Wai Kwok, Wu Shuilin

机构信息

School of Materials Science & Engineering, the Key Laboratory of Advanced Ceramics and Machining Technology by the Ministry of Education of China, Tianjin University, Tianjin 300072, China.

School of Materials Science & Engineering, Peking University, Beijing 100871, China.

出版信息

Natl Sci Rev. 2022 Oct 16;10(2):nwac221. doi: 10.1093/nsr/nwac221. eCollection 2023 Feb.

Abstract

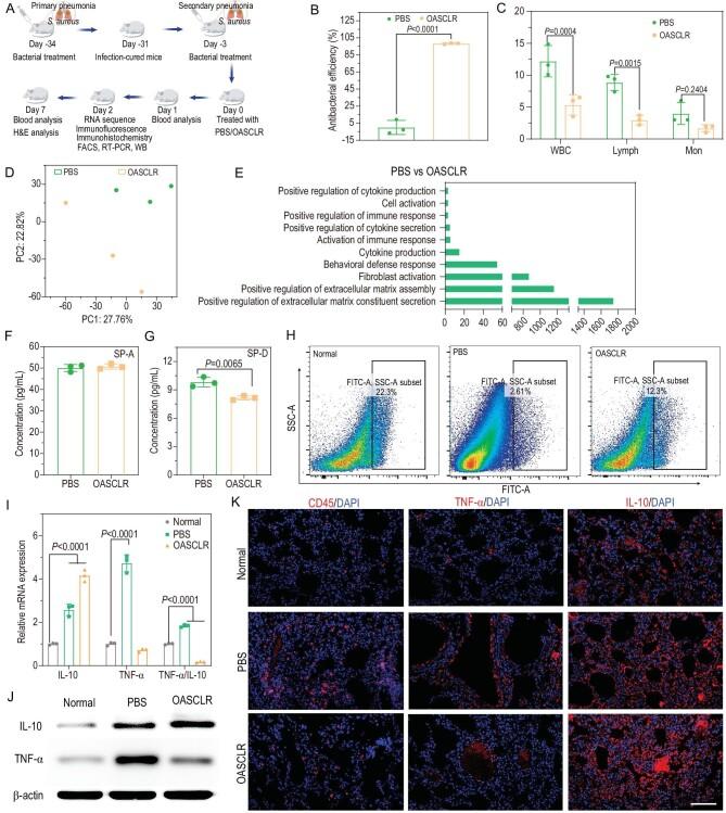
While conventional bacterial pneumonia mainly centralizes avoidance of bacterial colonization, it remains unclear how to restore the host immunity for hyperactive immunocompetent primary and immunocompromised secondary bacterial pneumonia. Here, probiotic-based nanoparticles of OASCLR were formed by coating chitosan, hyaluronic acid and ononin on living . OASCLR nanoparticles could effectively kill various clinic common pathogens and antibacterial efficiency was >99.97%. Importantly, OASCLR could modulate lung microbiota, increasing the overall richness and diversity of microbiota by decreasing pathogens and increasing probiotic and commensal bacteria. Additionally, OASCLR could target inflammatory macrophages by the interaction of OASCLR with the macrophage binding site of CD44 and alleviate overactive immune responses for hyperactive immunocompetent pneumonia. Surprisingly, OASCLR could break the state of the macrophage's poor phagocytic ability by upregulating the expression of the extracellular matrix assembly, immune activation and fibroblast activation in immunocompromised pneumonia. The macrophage's phagocytic ability was increased from 2.61% to 12.3%. Our work provides a potential strategy for hyperactive immunocompetent primary and immunocompromised secondary bacterial pneumonia.

摘要

虽然传统的细菌性肺炎主要集中在避免细菌定植,但如何恢复免疫功能亢进的原发性和免疫功能低下的继发性细菌性肺炎患者的宿主免疫力仍不清楚。在此,通过在活菌上包被壳聚糖、透明质酸和芒柄花苷形成了基于益生菌的OASCLR纳米颗粒。OASCLR纳米颗粒能有效杀灭各种临床常见病原体,抗菌效率>99.97%。重要的是,OASCLR可调节肺部微生物群,通过减少病原体并增加益生菌和共生菌来提高微生物群的整体丰富度和多样性。此外,OASCLR可通过与CD44的巨噬细胞结合位点相互作用靶向炎性巨噬细胞,并减轻免疫功能亢进性肺炎的过度活跃免疫反应。令人惊讶的是,OASCLR可通过上调免疫功能低下性肺炎中细胞外基质组装、免疫激活和成纤维细胞激活的表达来打破巨噬细胞吞噬能力差的状态。巨噬细胞的吞噬能力从2.61%提高到了12.3%。我们的工作为免疫功能亢进的原发性和免疫功能低下的继发性细菌性肺炎提供了一种潜在策略。

https://cdn.ncbi.nlm.nih.gov/pmc/blobs/ced6/9935993/eefd72d79ca9/nwac221fig1.jpg

文献AI研究员

20分钟写一篇综述,助力文献阅读效率提升50倍。

立即体验

用中文搜PubMed

大模型驱动的PubMed中文搜索引擎

马上搜索

文档翻译

学术文献翻译模型,支持多种主流文档格式。

立即体验