Suppr超能文献

木葡聚糖、豌豆蛋白和 提取物在银屑病临床前模型中的功效评价。

Evaluation of the Efficacy of Xyloglucan, Pea Protein and Extract in a Preclinical Model of Psoriasis.

机构信息

Department of Chemical, Biological, Pharmaceutical and Environmental Sciences, University of Messina, 98166 Messina, Italy.

出版信息

Int J Mol Sci. 2023 Feb 4;24(4):3122. doi: 10.3390/ijms24043122.

Abstract

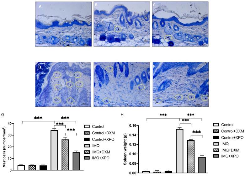
Psoriasis is a chronic inflammatory skin disease characterized by epidermal gene abnormalities, epidermal barrier defects and inflammation. Corticosteroids are considered to be standard treatments, but often come with side effects and lose efficacy with long-term use. Alternative treatments targeting the epidermal barrier defect are needed to manage the disease. Film-forming substances such as xyloglucan, pea protein and extract (XPO) have generated interest for their ability to restore skin barrier integrity and may pose an alternative approach to disease management. Thus, the aim of this two-part study was to evaluate the barrier-protective properties of a topical cream containing XPO on the membrane permeability of keratinocytes exposed to inflammatory conditions and compare its efficacy to dexamethasone (DXM) in an in vivo model of psoriasis-like dermatitis. XPO treatment significantly reduced adhesion, subsequent skin invasion and restored epithelial barrier function in keratinocytes. Furthermore, the treatment restored the integrity of keratinocytes, reducing tissue damage. In mice with psoriasis-like dermatitis, XPO significantly reduced erythema, inflammatory markers and epidermal thickening with a superior efficacy to dexamethasone. Given the promising results, XPO may represent a novel steroid-sparing therapeutic for epidermal-related diseases such as psoriasis, thanks to its ability to preserve skin barrier function and integrity.

摘要

银屑病是一种慢性炎症性皮肤病,其特征是表皮基因异常、表皮屏障缺陷和炎症。皮质类固醇被认为是标准治疗方法,但长期使用常伴有副作用且疗效丧失。需要针对表皮屏障缺陷的替代治疗方法来治疗这种疾病。木葡聚糖、豌豆蛋白和提取物 (XPO) 等成膜物质因其能够恢复皮肤屏障完整性而受到关注,可能是一种治疗疾病的替代方法。因此,本研究分为两部分,旨在评估含有 XPO 的局部乳膏对暴露于炎症条件下的角质形成细胞的膜通透性的屏障保护特性,并将其功效与地塞米松 (DXM) 在银屑病样皮炎的体内模型中进行比较。XPO 治疗可显著降低角质形成细胞的黏附性、随后的皮肤侵袭,并恢复上皮屏障功能。此外,该治疗还可恢复角质形成细胞的完整性,减少组织损伤。在银屑病样皮炎的小鼠中,XPO 可显著减轻红斑、炎症标志物和表皮增厚,其疗效优于地塞米松。鉴于其有前景的结果,XPO 可能代表一种新型的类固醇节约型治疗药物,可用于治疗银屑病等与表皮相关的疾病,因为它能够维持皮肤屏障功能和完整性。

https://cdn.ncbi.nlm.nih.gov/pmc/blobs/d13d/9966091/b52a5bb075e6/ijms-24-03122-g001.jpg

文献AI研究员

20分钟写一篇综述,助力文献阅读效率提升50倍。

立即体验

用中文搜PubMed

大模型驱动的PubMed中文搜索引擎

马上搜索

文档翻译

学术文献翻译模型,支持多种主流文档格式。

立即体验