Suppr超能文献

外泌体来源的 circCCAR1 促进肝癌中 CD8+T 细胞功能障碍和抗 PD1 耐药性。

Exosome-derived circCCAR1 promotes CD8 + T-cell dysfunction and anti-PD1 resistance in hepatocellular carcinoma.

机构信息

Department of Hepato-Pancreato-Biliary Surgery, First People's Hospital of Kunming City & Calmette Affiliated Hospital of Kunming Medical University, 1228 Beijing Road, Panlong District, Kunming, 650032, Yunnan, China.

出版信息

Mol Cancer. 2023 Mar 18;22(1):55. doi: 10.1186/s12943-023-01759-1.

Abstract

BACKGROUND

Circular RNAs (circRNAs) can be encapsulated into exosomes to participate in intercellular communication, affecting the malignant progression of a variety of tumors. Dysfunction of CD8 + T cells is the main factor in immune escape from hepatocellular carcinoma (HCC). Nevertheless, the effect of exosome-derived circRNAs on CD8 + T-cell dysfunction needs further exploration.

METHODS

The effect of circCCAR1 on the tumorigenesis and metastasis of HCC was assessed by in vitro and in vivo functional experiments. The function of circCCAR1 in CD8 + T-cell dysfunction was measured by enzyme-linked immunosorbent assay (ELISA), western blotting and flow cytometry. Chromatin immunoprecipitation, biotinylated RNA pull-down, RNA immunoprecipitation, and MS2 pull-down assays were used to the exploration of mechanism. A mouse model with reconstituted human immune system components (huNSG mice) was constructed to explore the role of exosomal circCCAR1 in the resistance to anti-PD1 therapy in HCC.

RESULTS

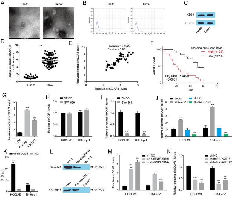
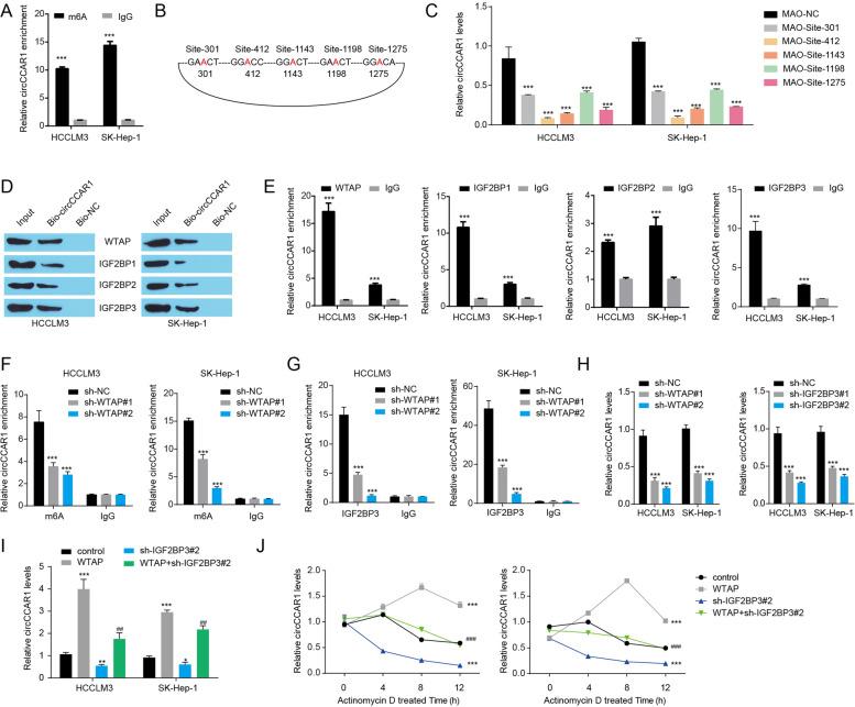
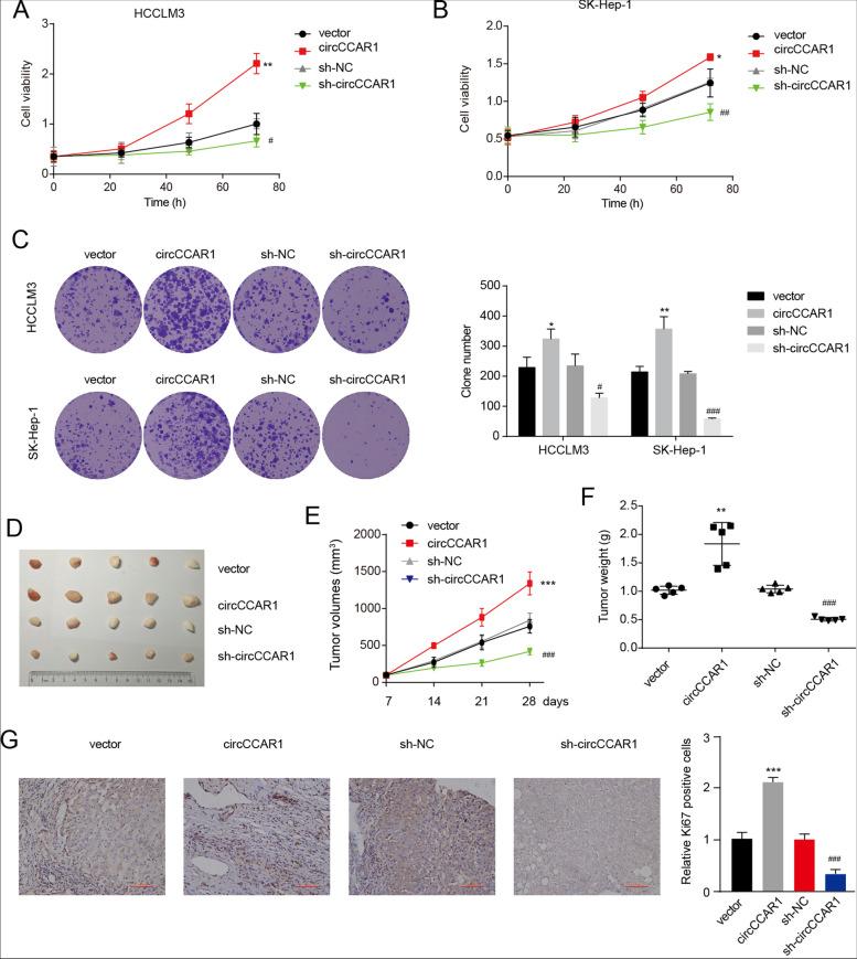
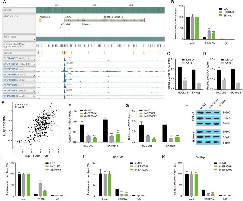
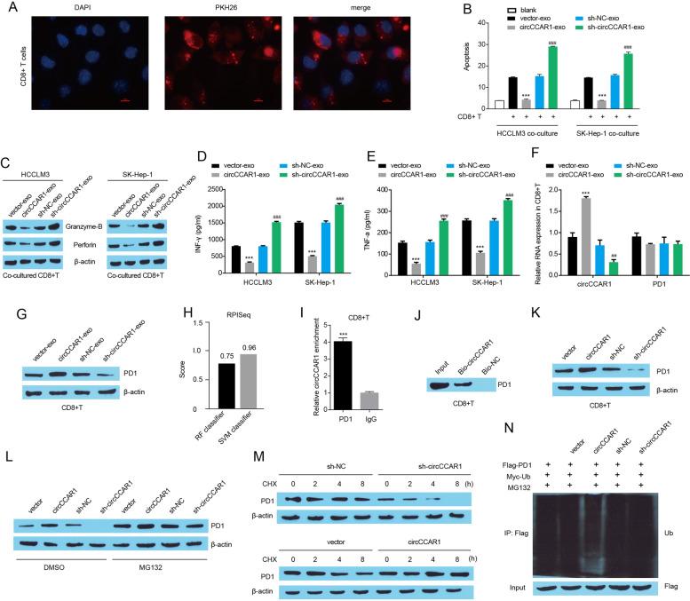
Increased circCCAR1 levels existed in tumor tissues and exosomes in the plasma of HCC patients, in the culture supernatant and HCC cells. CircCCAR1 accelerated the growth and metastasis of HCC in vitro and in vivo. E1A binding protein p300 (EP300) and eukaryotic translation initiation factor 4A3 (EIF4A3) promoted the biogenesis of circCCAR1, and Wilms tumor 1-associated protein (WTAP)-mediated m6A modification enhanced circCCAR1 stability by binding insulin-like growth factor 2 mRNA-binding protein 3 (IGF2BP3). CircCCAR1 acted as a sponge for miR-127-5p to upregulate its target WTAP and a feedback loop comprising circCCAR1/miR-127-5p/WTAP axis was formed. CircCCAR1 is secreted by HCC cells in a heterogeneous nuclear ribonucleoprotein A2/B1 (hnRNPA2B1)-dependent manner. Exosomal circCCAR1 was taken in by CD8 + T cells and caused dysfunction of CD8 + T cells by stabilizing the PD-1 protein. CircCCAR1 promoted resistance to anti-PD1 immunotherapy. Furthermore, increased cell division cycle and apoptosis regulator 1 (CCAR1) induced by EP300 promoted the binding of CCAR1 and β-catenin protein, which further enhanced the transcription of PD-L1.

CONCLUSIONS

The circCCAR1/miR-127-5p/WTAP feedback loop enhances the growth and metastasis of HCC. Exosomal circCCAR1 released by HCC cells contributes to immunosuppression by facilitating CD8 + T-cell dysfunction in HCC. CircCCAR1 induces resistance to anti-PD1 immunotherapy, providing a potential therapeutic strategy for HCC patients.

摘要

背景

环状 RNA(circRNA)可以被包裹在细胞外囊泡中,参与细胞间通讯,影响多种肿瘤的恶性进展。CD8+T 细胞功能障碍是肝癌(HCC)免疫逃逸的主要因素。然而,外泌体来源的 circRNAs 对 CD8+T 细胞功能障碍的影响仍需要进一步探索。

方法

通过体外和体内功能实验评估 circCCAR1 对 HCC 发生和转移的影响。酶联免疫吸附试验(ELISA)、Western blot 和流式细胞术检测 circCCAR1 对 CD8+T 细胞功能障碍的影响。染色质免疫沉淀、生物素化 RNA 下拉、RNA 免疫沉淀和 MS2 下拉实验用于探索机制。构建了具有重建人免疫系统成分的小鼠模型(huNSG 小鼠),以探索外泌体 circCCAR1 在 HCC 对抗 PD1 治疗耐药中的作用。

结果

HCC 患者肿瘤组织和血浆中的外泌体中存在circCCAR1 水平升高,在培养上清液和 HCC 细胞中也存在circCCAR1 水平升高。CircCCAR1 促进 HCC 的体内外生长和转移。E1A 结合蛋白 p300(EP300)和真核起始因子 4A3(EIF4A3)促进 circCCAR1 的生物发生,而 Wilms 肿瘤 1 相关蛋白(WTAP)介导的 m6A 修饰通过结合胰岛素样生长因子 2 mRNA 结合蛋白 3(IGF2BP3)增强 circCCAR1 的稳定性。CircCCAR1 作为 miR-127-5p 的海绵,上调其靶标 WTAP,并形成 circCCAR1/miR-127-5p/WTAP 轴的反馈回路。CircCCAR1 以异质核核糖核蛋白 A2/B1(hnRNPA2B1)依赖的方式由 HCC 细胞分泌。外泌体 circCCAR1 被 CD8+T 细胞摄取,并通过稳定 PD-1 蛋白导致 CD8+T 细胞功能障碍。CircCCAR1 促进对抗 PD1 免疫治疗的耐药性。此外,EP300 诱导的细胞分裂周期和凋亡调节因子 1(CCAR1)增加,促进了 CCAR1 和 β-连环蛋白蛋白的结合,进一步增强了 PD-L1 的转录。

结论

circCCAR1/miR-127-5p/WTAP 反馈回路增强了 HCC 的生长和转移。HCC 细胞释放的外泌体 circCCAR1 通过促进 HCC 中 CD8+T 细胞功能障碍,导致免疫抑制。CircCCAR1 诱导对抗 PD1 免疫治疗的耐药性,为 HCC 患者提供了一种潜在的治疗策略。

https://cdn.ncbi.nlm.nih.gov/pmc/blobs/9ff2/10024440/0a81a1ff5756/12943_2023_1759_Fig1_HTML.jpg

文献AI研究员

20分钟写一篇综述,助力文献阅读效率提升50倍。

立即体验

用中文搜PubMed

大模型驱动的PubMed中文搜索引擎

马上搜索

文档翻译

学术文献翻译模型,支持多种主流文档格式。

立即体验