Suppr超能文献

活体和巴氏杀菌阿克曼氏菌黏蛋白可降低小鼠对鼠伤寒沙门氏菌感染的易感性。

Live and pasteurized Akkermansia muciniphila decrease susceptibility to Salmonella Typhimurium infection in mice.

机构信息

National Engineering Research Center of Seafood, School of Food Science and Technology, Dalian Polytechnic University, Dalian, Liaoning 116034, China.

National Engineering Research Center of Seafood, School of Food Science and Technology, Dalian Polytechnic University, Dalian, Liaoning 116034, China.

出版信息

J Adv Res. 2023 Oct;52:89-102. doi: 10.1016/j.jare.2023.03.008. Epub 2023 Mar 28.

Abstract

INTRODUCTION

The gut microbiome is vital for providing resistance against colonized pathogenicbacteria. Recently, specific commensal species have become recognized as important mediators of host defense against microbial infection by a variety of mechanisms.

OBJECTIVES

To examine the contribution of live and pasteurized A. muciniphila to defend against the intestinal pathogen Salmonella Typhimurium in a streptomycin-treated mouse model of infection.

METHODS

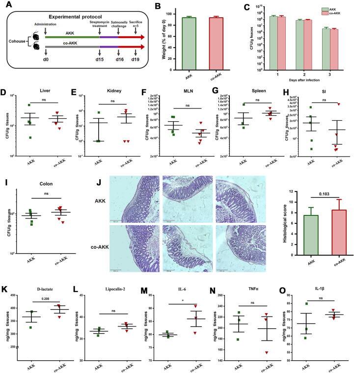
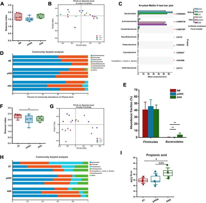
C57B6J mice were pretreated with phosphate-buffered saline (PBS), live Akkermansia muciniphila (AKK), and pasteurized A. muciniphila (pAKK) for two weeks, then mice were infected by S. Typhimurium SL 1344. 16S rRNA-based gut microbiota analysis was performed before and after infection. Bacterial counts in feces and tissues, histopathological analysis, gut barrier-related gene expression, and antimicrobial peptides were examined. Co-housing was performed to examine the role of microbiota in the change of susceptibility of mice to infection.

RESULTS

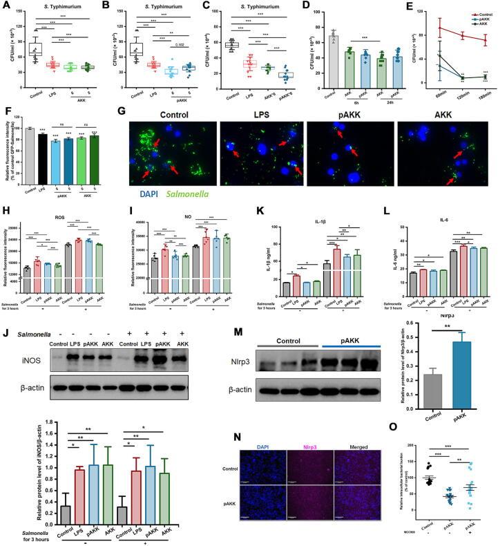
AKK and pAKK markedly decreased Salmonella fecal and systemic burdens and reduced inflammation during infection. Notably, further characterization of AKK and pAKK protective mechanisms revealed different candidate protective pathways. AKK promoted gutbarrier gene expression and the secretion of antimicrobial peptides, and co-housing studies suggested that AKK-associated microbial community played a role in attenuating infection. Moreover, pAKK had a positive effect on NLRP3 in infected mice. We verified that pretreatment of pAKK could promote the expression of NLRP3, and enhance the antimicrobial activity of macrophage, likely through increasing the production of reactive oxygen (ROS), nitric oxide (NO), and inflammatory cytokines.

CONCLUSION

Our study demonstrates that live or pasteurized A. muciniphila can be effective preventive measures for alleviating S. Typhimurium-induced disease, highlighting the potential of developing Akkermansia-based probiotics or postbiotics for the prevention of Salmonellosis.

摘要

简介

肠道微生物群对于提供对定植的致病性细菌的抵抗力至关重要。最近,特定的共生物种已被确认为通过多种机制宿主防御微生物感染的重要介质。

目的

在链霉素处理的感染小鼠模型中,研究活的和巴氏灭菌的 A. muciniphila 对防御肠道病原体鼠伤寒沙门氏菌的贡献。

方法

C57B6J 小鼠用磷酸盐缓冲盐水(PBS)、活阿克曼氏菌(AKK)和巴氏灭菌的 A. muciniphila(pAKK)预处理两周,然后用鼠伤寒沙门氏菌 SL 1344 感染小鼠。感染前后进行 16S rRNA 肠道微生物组分析。检查粪便和组织中的细菌计数、组织病理学分析、肠道屏障相关基因表达和抗菌肽。进行共培养以研究微生物群在改变小鼠对感染易感性中的作用。

结果

AKK 和 pAKK 显著降低了粪便和系统中的沙门氏菌负荷,并减轻了感染期间的炎症。值得注意的是,对 AKK 和 pAKK 保护机制的进一步表征揭示了不同的候选保护途径。AKK 促进肠道屏障基因表达和抗菌肽的分泌,共培养研究表明 AKK 相关微生物群在减轻感染方面发挥了作用。此外,pAKK 对感染小鼠的 NLRP3 有积极影响。我们验证了 pAKK 的预处理可以促进 NLRP3 的表达,并增强巨噬细胞的抗菌活性,这可能是通过增加活性氧(ROS)、一氧化氮(NO)和炎症细胞因子的产生。

结论

我们的研究表明,活的或巴氏灭菌的 A. muciniphila 可以是缓解鼠伤寒沙门氏菌诱导疾病的有效预防措施,突出了开发基于 Akkermansia 的益生菌或后生元预防沙门氏菌病的潜力。

https://cdn.ncbi.nlm.nih.gov/pmc/blobs/dbf4/10555781/6731e9c6a135/ga1.jpg

文献AI研究员

20分钟写一篇综述,助力文献阅读效率提升50倍。

立即体验

用中文搜PubMed

大模型驱动的PubMed中文搜索引擎

马上搜索

文档翻译

学术文献翻译模型,支持多种主流文档格式。

立即体验