Suppr超能文献

恶性上腔静脉综合征的血管内支架置入术——病例系列及文献综述

Endovascular stenting for malignant superior vena cava syndrome - Case series and review of literature.

作者信息

Arshad Abdul Majeed, Pandiyan Arun Pandiyan Somasundara, Ayub Irfan Ismail, Chockalingam Chandrasekar, Thangaswamy Dhanasekar

机构信息

Department of Respiratory Medicine, Sri Ramachandra Institute of Higher Education and Research, Chennai, Tamil Nadu, India.

出版信息

Lung India. 2023 Mar-Apr;40(2):165-168. doi: 10.4103/lungindia.lungindia_687_21.

Abstract

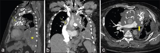
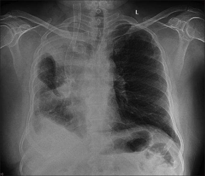
The treatment of malignant superior vena cava syndrome (SVCS) revolves around radiotherapy and chemotherapy to relieve symptoms with surgery being ruled out due to the advanced stage of malignancy. Primary placement of endovascular stent for palliation of malignant SVCS is not commonly reported in the literature. Here, we present two cases of malignant superior vena cava syndrome with successful relief of symptoms after the placement of endo vascular stent.

摘要

恶性上腔静脉综合征(SVCS)的治疗主要围绕放疗和化疗以缓解症状,由于恶性肿瘤处于晚期,手术被排除在外。文献中较少报道通过血管内支架置入术来缓解恶性SVCS的症状。在此,我们报告两例恶性上腔静脉综合征患者,在置入血管内支架后症状成功缓解。

https://cdn.ncbi.nlm.nih.gov/pmc/blobs/3173/10174651/31271dd2bed3/LI-40-165-g001.jpg

文献AI研究员

20分钟写一篇综述,助力文献阅读效率提升50倍。

立即体验

用中文搜PubMed

大模型驱动的PubMed中文搜索引擎

马上搜索

文档翻译

学术文献翻译模型,支持多种主流文档格式。

立即体验