Suppr超能文献

恶性上腔静脉综合征:最新进展

Malignant Superior Vena Cava Syndrome: State of the Art.

作者信息

Patriarcheas Vasileios, Grammoustianou Maria, Ptohis Nikolaos, Thanou Ioanna, Kostis Minas, Gkiozos Ioannis, Charpidou Andriani, Trontzas Ioannis, Syrigos Nikolaos, Kotteas Elias, Dimakakos Evangelos

机构信息

Internal Medicine, Thoracic Diseases General Hospital Sotiria, Athens, GRC.

Oncology, Thoracic Diseases General Hospital Sotiria, Athens, GRC.

出版信息

Cureus. 2022 Jan 4;14(1):e20924. doi: 10.7759/cureus.20924. eCollection 2022 Jan.

Abstract

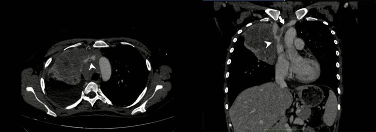
Superior vena cava syndrome (SVCS) is a clinical entity characterized by signs and symptoms arising from the obstruction or occlusion of the thin-walled superior vena cava (SVC) and can result in significant morbidity and mortality. Despite the rise of benign cases of SVCS, as a thrombotic complication of intravascular devices, it is most commonly seen secondary to malignancy as a consequence of thrombosis, direct invasion of tumor cells inside the vessel, or external compression. SVCS can be the initial presentation of a previously undiagnosed tumor in up to 60% of cases. Lung cancer and non-Hodgkin lymphoma (NHL) are responsible for up to 85%-90% of malignancy-related SVCS, while metastatic cancers account for approximately 10%. Herein, we review the pathophysiology, etiology, clinical presentation, diagnosis, and management of malignancy-related SVCS.

摘要

上腔静脉综合征(SVCS)是一种临床病症,其特征为薄壁上腔静脉(SVC)阻塞或闭塞所产生的体征和症状,可导致显著的发病率和死亡率。尽管作为血管内装置血栓形成并发症的SVCS良性病例有所增加,但它最常见的是继发于恶性肿瘤,原因是血栓形成、肿瘤细胞直接侵入血管内或外部压迫。在高达60%的病例中,SVCS可能是先前未被诊断肿瘤的首发表现。肺癌和非霍奇金淋巴瘤(NHL)导致高达85%-90%的与恶性肿瘤相关的SVCS,而转移性癌症约占10%。在此,我们综述与恶性肿瘤相关的SVCS的病理生理学、病因、临床表现、诊断和管理。

https://cdn.ncbi.nlm.nih.gov/pmc/blobs/2453/8727327/7c8feb3b7d00/cureus-0014-00000020924-i01.jpg

文献AI研究员

20分钟写一篇综述,助力文献阅读效率提升50倍。

立即体验

用中文搜PubMed

大模型驱动的PubMed中文搜索引擎

马上搜索

文档翻译

学术文献翻译模型,支持多种主流文档格式。

立即体验