Suppr超能文献

FAP 靶向 CAR-T 抑制 MDSCs 募集,以提高 Claudin18.2 靶向 CAR-T 对胰腺癌的抗肿瘤疗效。

FAP-targeted CAR-T suppresses MDSCs recruitment to improve the antitumor efficacy of claudin18.2-targeted CAR-T against pancreatic cancer.

机构信息

State Key Laboratory of Oncogenes and Related Genes, Shanghai Cancer Institute, Renji Hospital, Shanghai Jiaotong University School of Medicine, No. 25/Ln2200 XieTu Road, Shanghai, 200032, China.

CARsgen Therapeutics, Shanghai, 200032, China.

出版信息

J Transl Med. 2023 Apr 12;21(1):255. doi: 10.1186/s12967-023-04080-z.

Abstract

PURPOSE

The claudin 18.2 (CLDN18.2) antigen is frequently expressed in malignant tumors, including pancreatic ductal adenocarcinoma (PDAC). Although CLDN18.2-targeted CAR-T cells demonstrated some therapeutic efficacy in PDAC patients, further improvement is needed. One of the major obstacles might be the abundant cancer-associated fibroblasts (CAFs) in the PDAC tumor microenvironment (TME). Targeting fibroblast activation protein (FAP), a vital characteristic of CAFs provides a potential way to overcome this obstacle. In this study, we explored the combined antitumor activity of FAP-targeted and CLDN18.2-targeted CAR-T cells against PDAC.

METHODS

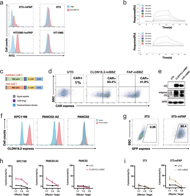
Novel FAP-targeted CAR-T cells were developed. Sequential treatment of FAP-targeted and CLDN18.2-targeted CAR-T cells as well as the corresponding mechanism were explored in immunocompetent mouse models of PDAC.

RESULTS

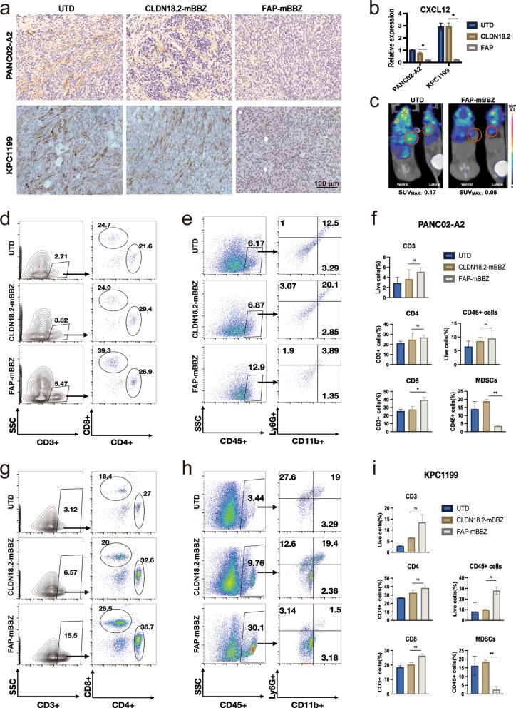
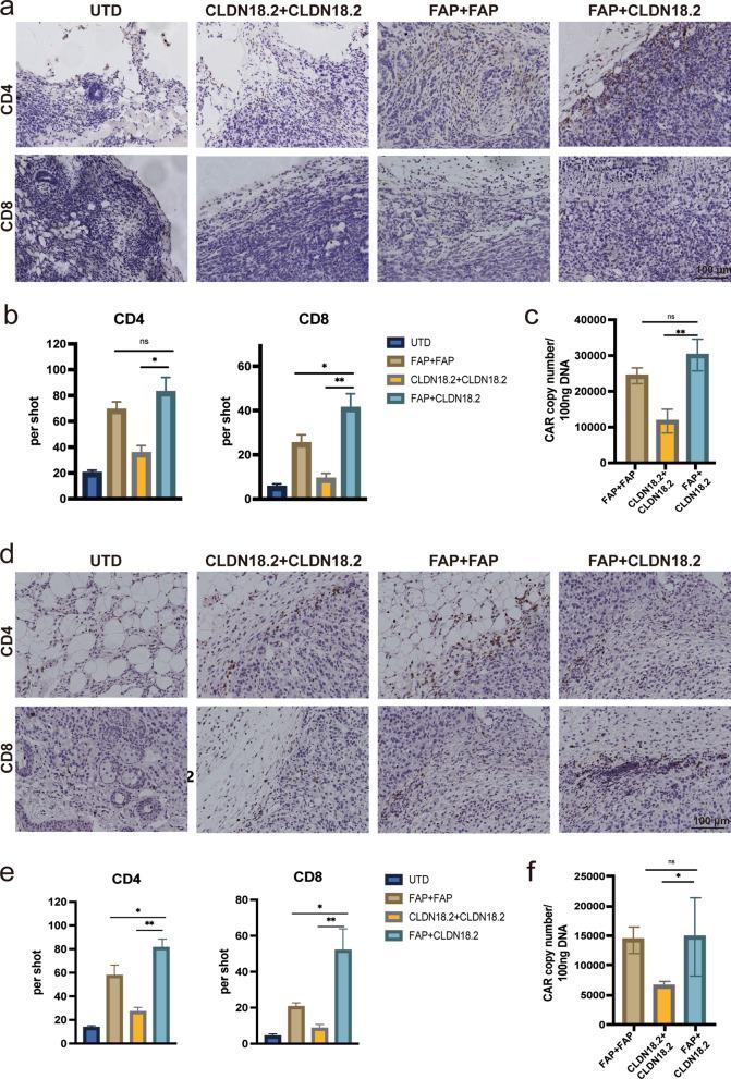
The results indicated that the priorly FAP-targeted CAR-T cells infusion could significantly eliminate CAFs and enhance the anti-PDAC efficacy of subsequently CLDN18.2-targeted CAR-T cells in vivo. Interestingly, we observed that FAP-targeted CAR-T cells could suppress the recruitment of myeloid-derived suppressor cells (MDSCs) and promote the survival of CD8 T cells and CAR-T cells in tumor tissue.

CONCLUSION

In summary, our finding demonstrated that FAP-targeted CAR-T cells could increase the antitumor activities of sequential CAR-T therapy via remodeling TME, at least partially through inhibiting MDSCs recruitment. Sequential infusion of FAP-targeted and CLDN18.2-targeted CAR-T cells might be a feasible approach to enhance the clinical outcome of PDAC.

摘要

目的

Claudin 18.2(CLDN18.2)抗原在包括胰腺导管腺癌(PDAC)在内的恶性肿瘤中频繁表达。尽管 CLDN18.2 靶向 CAR-T 细胞在 PDAC 患者中显示出了一定的治疗效果,但仍需要进一步的改善。其中一个主要障碍可能是 PDAC 肿瘤微环境(TME)中丰富的癌相关成纤维细胞(CAFs)。靶向成纤维细胞激活蛋白(FAP)是 CAFs 的一个重要特征,为克服这一障碍提供了一种潜在的方法。在本研究中,我们探索了靶向 FAP 和 CLDN18.2 的 CAR-T 细胞联合对 PDAC 的抗肿瘤活性。

方法

开发了新型靶向 FAP 的 CAR-T 细胞。在 PDAC 的免疫活性小鼠模型中,探索了靶向 FAP 和 CLDN18.2 的 CAR-T 细胞的序贯治疗及其相关机制。

结果

结果表明,先前输注靶向 FAP 的 CAR-T 细胞可显著消除 CAFs,并增强随后输注的靶向 CLDN18.2 的 CAR-T 细胞在体内抗 PDAC 的疗效。有趣的是,我们观察到靶向 FAP 的 CAR-T 细胞可抑制髓系来源抑制细胞(MDSCs)的募集,并促进肿瘤组织中 CD8 T 细胞和 CAR-T 细胞的存活。

结论

总之,我们的研究结果表明,靶向 FAP 的 CAR-T 细胞可通过重塑 TME 增加序贯 CAR-T 治疗的抗肿瘤活性,至少部分是通过抑制 MDSCs 的募集。靶向 FAP 和 CLDN18.2 的 CAR-T 细胞的序贯输注可能是增强 PDAC 临床疗效的一种可行方法。

https://cdn.ncbi.nlm.nih.gov/pmc/blobs/1ed0/10091631/a27d9a716c40/12967_2023_4080_Fig1_HTML.jpg

文献AI研究员

20分钟写一篇综述,助力文献阅读效率提升50倍。

立即体验

用中文搜PubMed

大模型驱动的PubMed中文搜索引擎

马上搜索

文档翻译

学术文献翻译模型,支持多种主流文档格式。

立即体验