Suppr超能文献

番茄红素抑制激光诱导的小鼠脉络膜新生血管中脉络膜血管内皮细胞的内皮-间充质转化。

Lycopene inhibits endothelial-to-mesenchymal transition of choroidal vascular endothelial cells in laser-induced mouse choroidal neovascularization.

机构信息

Department of Ophthalmology, Affiliated Hospital 2 of Nantong University, Nantong, 226001, China.

Department of Ophthalmology, Lixiang Eye Hospital of Soochow University, Suzhou, 215001, China.

出版信息

J Cell Mol Med. 2023 May;27(10):1327-1340. doi: 10.1111/jcmm.17730. Epub 2023 Apr 17.

Abstract

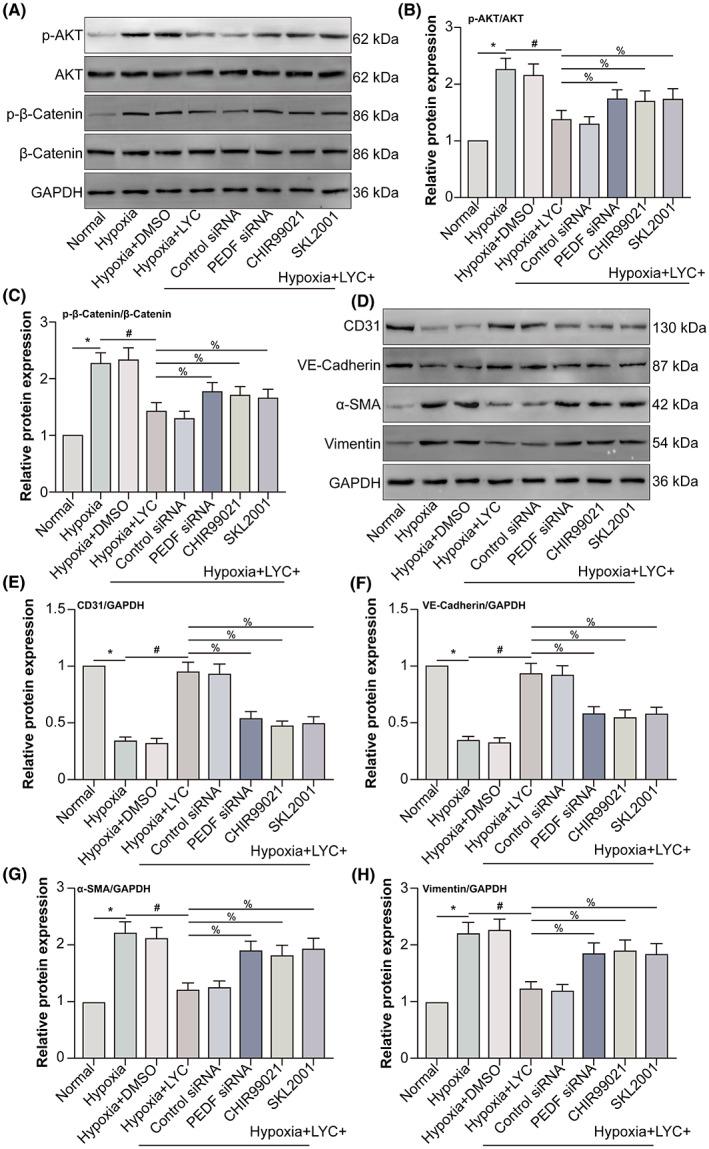
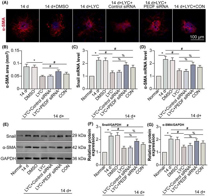
Choroidal neovascularization (CNV), is a major cause of irreversible blindness among the elderly population in developed countries, which is resulted from subretinal fibrosis without effective therapeutic strategies. Endothelial-to-mesenchymal transition (EndMT) of choroidal vascular endothelial cells (CVECs) contributes to subretinal fibrosis. Lycopene (LYC), a non-pro-vitamin A carotenoid, plays an anti-fibrotic role. Herein, we explored the effect and mechanism of LYC on the EndMT of CVECs during CNV. Firstly, LYC inhibited EndMT in hypoxic human choroidal endothelial cells (HCVECs). Meanwhile, LYC inhibited proliferation, androgen receptor (AR) expression and nuclear localization in hypoxic HCVECs. Then LYC-inhibited AR promotes the activation of microphthalmia-associated transcription factor (MITF) in hypoxic HCVECs. In addition, LYC down-regulated AR and induced MITF up-regulated pigment epithelium-derived factor (PEDF) transcription and expression in hypoxic HCVECs. Moreover, LYC-induced PEDF bound to laminin receptor (LR), inhibiting EndMT of hypoxic HCVECs via down-regulating protein kinase B (AKT)/β-catenin pathway. In vivo, LYC alleviated mouse laser-induced subretinal fibrosis secondary to CNV via up-regulating PEDF without any ocular or systemic toxicity. These results indicate that LYC inhibits EndMT of CVECs via modulating AR/MITF/PEDF/LR/AKT/β-catenin pathway, showing LYC is a promising therapeutic agent for CNV.

摘要

脉络膜新生血管(CNV)是发达国家老年人群中导致不可逆性失明的主要原因,它是由无有效治疗策略的视网膜下纤维化引起的。脉络膜血管内皮细胞(CVECs)的内皮到间充质转化(EndMT)有助于视网膜下纤维化。番茄红素(LYC)是一种非维生素 A 类胡萝卜素,具有抗纤维化作用。在此,我们探讨了 LYC 对 CNV 期间 CVECs 的 EndMT 的作用和机制。首先,LYC 抑制了缺氧人脉络膜内皮细胞(HCVECs)中的 EndMT。同时,LYC 抑制了缺氧 HCVECs 的增殖、雄激素受体(AR)表达和核定位。然后,LYC 抑制的 AR 促进了缺氧 HCVECs 中小眼畸形相关转录因子(MITF)的激活。此外,LYC 下调了 AR,并诱导了缺氧 HCVECs 中小眼畸形相关转录因子(MITF)上调色素上皮衍生因子(PEDF)的转录和表达。此外,LYC 诱导的 PEDF 与层粘连蛋白受体(LR)结合,通过下调蛋白激酶 B(AKT)/β-连环蛋白通路抑制缺氧 HCVECs 的 EndMT。在体内,LYC 通过上调 PEDF 缓解了小鼠激光诱导的 CNV 后发性视网膜下纤维化,而没有任何眼部或全身毒性。这些结果表明,LYC 通过调节 AR/MITF/PEDF/LR/AKT/β-连环蛋白通路抑制 CVECs 的 EndMT,表明 LYC 是治疗 CNV 的一种有前途的治疗剂。

https://cdn.ncbi.nlm.nih.gov/pmc/blobs/b925/10183704/0438156f9245/JCMM-27-1327-g009.jpg

文献AI研究员

20分钟写一篇综述,助力文献阅读效率提升50倍。

立即体验

用中文搜PubMed

大模型驱动的PubMed中文搜索引擎

马上搜索

文档翻译

学术文献翻译模型,支持多种主流文档格式。

立即体验