Suppr超能文献

与 CHD 相关的增强子塑造人类心肌细胞谱系的决定。

CHD-associated enhancers shape human cardiomyocyte lineage commitment.

机构信息

Cecil H. and Ida Green Center for Reproductive Biology Sciences, University of Texas Southwestern Medical Center, Dallas, United States.

Department of Internal Medicine, University of Texas Southwestern Medical Center, Dallas, United States.

出版信息

Elife. 2023 Apr 25;12:e86206. doi: 10.7554/eLife.86206.

Abstract

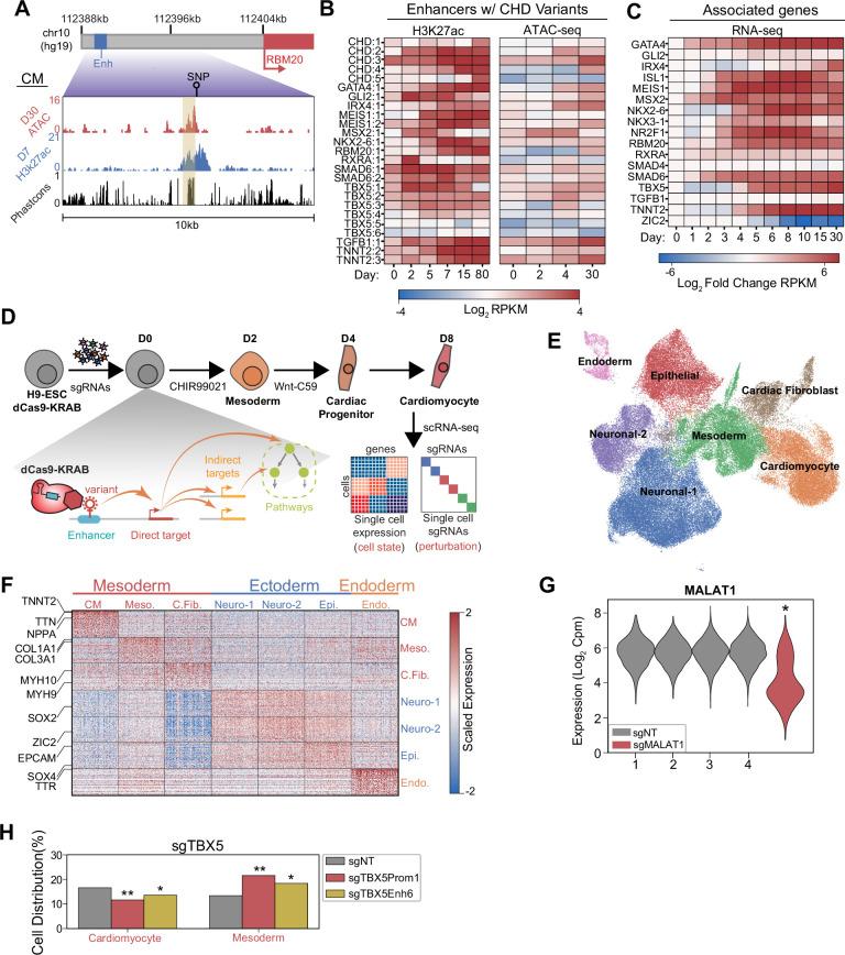
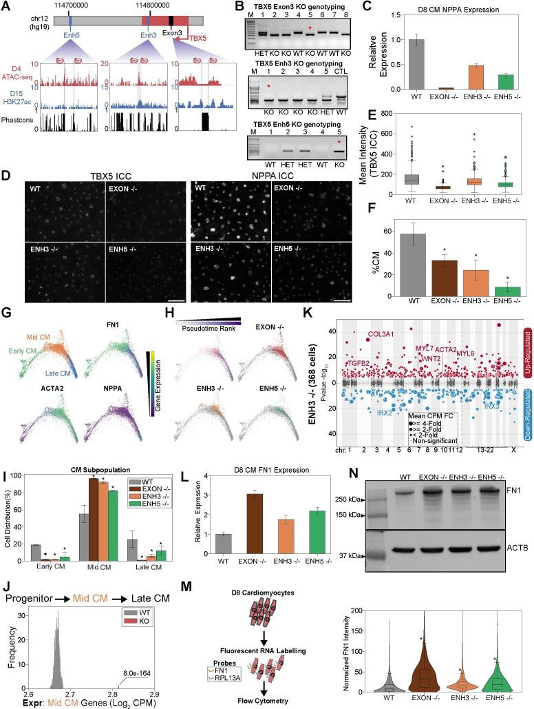
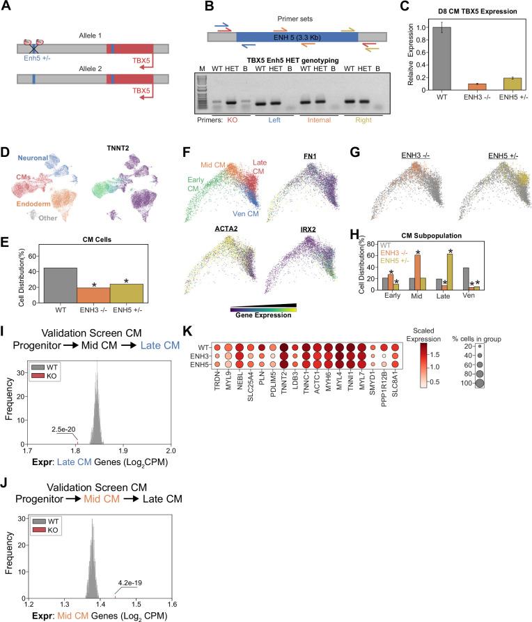
Enhancers orchestrate gene expression programs that drive multicellular development and lineage commitment. Thus, genetic variants at enhancers are thought to contribute to developmental diseases by altering cell fate commitment. However, while many variant-containing enhancers have been identified, studies to endogenously test the impact of these enhancers on lineage commitment have been lacking. We perform a single-cell CRISPRi screen to assess the endogenous roles of 25 enhancers and putative cardiac target genes implicated in genetic studies of congenital heart defects (CHDs). We identify 16 enhancers whose repression leads to deficient differentiation of human cardiomyocytes (CMs). A focused CRISPRi validation screen shows that repression of TBX5 enhancers delays the transcriptional switch from mid- to late-stage CM states. Endogenous genetic deletions of two TBX5 enhancers phenocopy epigenetic perturbations. Together, these results identify critical enhancers of cardiac development and suggest that misregulation of these enhancers could contribute to cardiac defects in human patients.

摘要

增强子协调驱动多细胞发育和谱系决定的基因表达程序。因此,人们认为增强子上的遗传变异通过改变细胞命运决定而导致发育疾病。然而,尽管已经鉴定出许多包含变异的增强子,但缺乏对这些增强子对内源性谱系决定影响的研究。我们进行了单细胞 CRISPRi 筛选,以评估 25 个增强子和心脏潜在靶基因的内源性作用,这些增强子和靶基因与先天性心脏病 (CHD) 的遗传研究有关。我们确定了 16 个增强子,其抑制作用导致人心肌细胞 (CM) 的分化不足。一个聚焦的 CRISPRi 验证筛选表明,TBX5 增强子的抑制作用延迟了从中期到晚期 CM 状态的转录转换。两个 TBX5 增强子的内源性遗传缺失可模拟表观遗传扰动。总之,这些结果确定了心脏发育的关键增强子,并表明这些增强子的调控异常可能导致人类患者的心脏缺陷。

https://cdn.ncbi.nlm.nih.gov/pmc/blobs/21c4/10156167/ed5987e483ce/elife-86206-fig1.jpg

文献AI研究员

20分钟写一篇综述,助力文献阅读效率提升50倍。

立即体验

用中文搜PubMed

大模型驱动的PubMed中文搜索引擎

马上搜索

文档翻译

学术文献翻译模型,支持多种主流文档格式。

立即体验