Suppr超能文献

骨病变衍生的细胞外囊泡通过转移 ALKBH5 靶向 miR-3190-5p 来促进肝癌中的促转移级联反应。

Bone Lesion-Derived Extracellular Vesicles Fuel Prometastatic Cascades in Hepatocellular Carcinoma by Transferring ALKBH5-Targeting miR-3190-5p.

机构信息

Hepatic Surgery Center, Tongji Hospital, Tongji Medical College, Huazhong University of Science and Technology, Wuhan, 430030, China.

Clinical Medical Research Center of Hepatic Surgery at Hubei Province, Wuhan, 430030, China.

出版信息

Adv Sci (Weinh). 2023 Jun;10(17):e2207080. doi: 10.1002/advs.202207080. Epub 2023 Apr 25.

Abstract

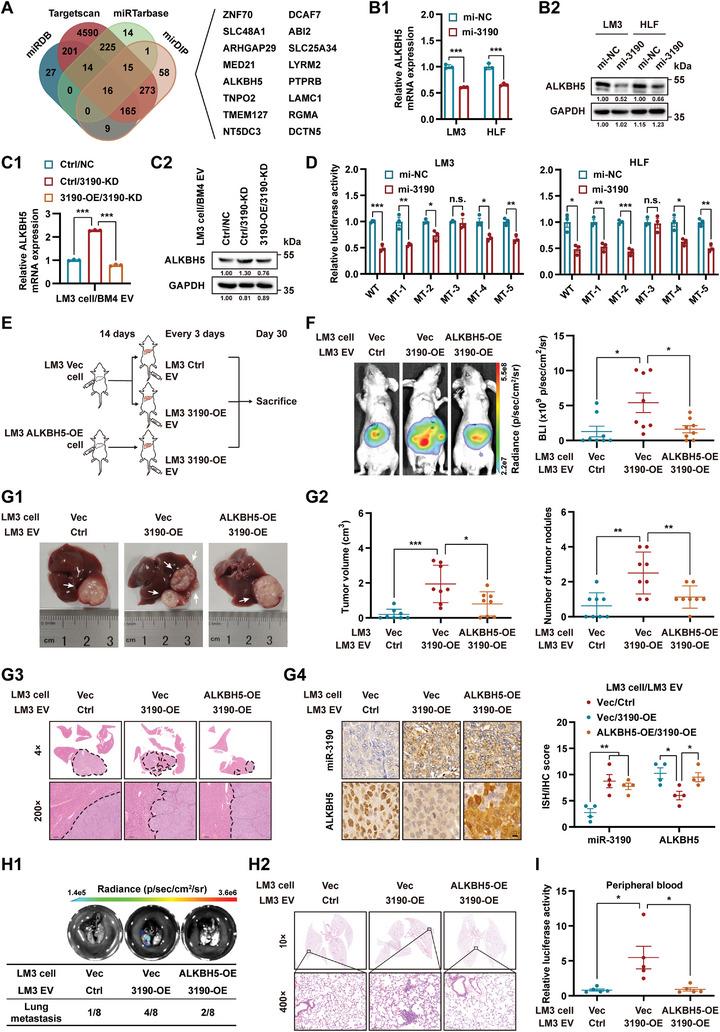
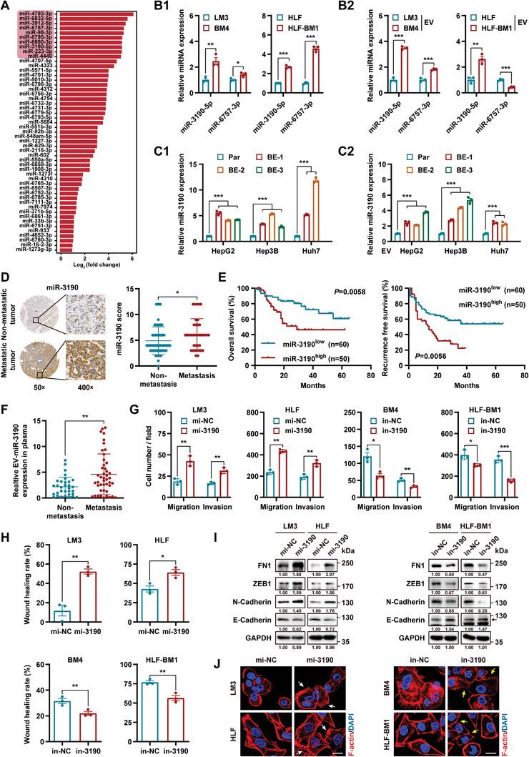
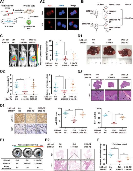
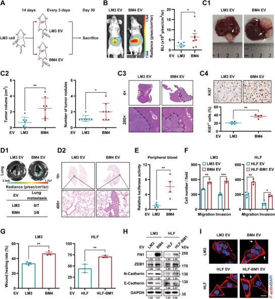
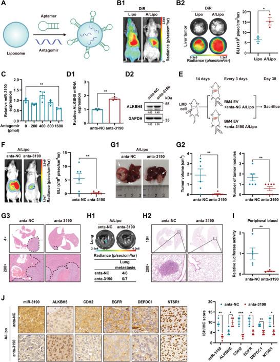
Bone is the second leading metastatic site for hepatocellular carcinoma (HCC). Patients with HCC and bone metastasis suffer poor quality of life and reduced survival time. Extracellular vesicles (EVs) are widely involved in HCC formation and metastasis. However, the communication between primary HCC and bone lesions mediated by EVs remains unclear and the possible effect of bone metastasis on the progression of HCC remains largely unknown. Here, bone-metastasized HCC-derived EVs (BM-EVs) are found to localize to orthotropic HCC cells and promote HCC progression. Mechanistically, miR-3190-5p (miR-3190) is upregulated in intracellular HCC cells isolated from bone lesions as well as in their derived EVs. miR-3190 in BM-EVs is transferred into orthotopic tumor cells and enhances their metastatic capacity by downregulating AlkB homolog 5 (ALKBH5) expression. Decreased level of ALKBH5 exacerbates the prometastatic characteristics of HCC by modulating gene expression in N6-methyladenosine-dependent and -independent ways. Finally, antagomir-miR-3190-loaded liposomes with HCC affinity successfully suppress HCC progression in mice treated with BM-EVs. These findings reveal that BM-EVs initiate prometastatic cascades in orthotopic HCC by transferring ALKBH5-targeting miR-3190 and miR-3190 is serving as a promising therapeutic target for inhibiting the progression of HCC in patients with bone metastasis.

摘要

骨是肝细胞癌(HCC)的第二大转移部位。患有 HCC 和骨转移的患者生活质量差,生存时间缩短。细胞外囊泡(EVs)广泛参与 HCC 的形成和转移。然而,由 EVs 介导的原发性 HCC 与骨病变之间的通讯尚不清楚,骨转移对 HCC 进展的可能影响在很大程度上仍然未知。在这里,发现骨转移的 HCC 衍生的 EVs(BM-EVs)定位于同源 HCC 细胞并促进 HCC 进展。在机制上,从骨病变中分离的细胞内 HCC 细胞以及它们衍生的 EVs 中上调了 miR-3190-5p(miR-3190)。BM-EVs 中的 miR-3190 被转移到同源肿瘤细胞中,并通过下调 AlkB 同源物 5(ALKBH5)表达来增强其转移能力。ALKBH5 水平降低通过 N6-甲基腺苷依赖性和非依赖性方式调节基因表达,从而加剧 HCC 的促转移特征。最后,载有 HCC 亲和力的抗 miR-3190 载脂蛋白成功抑制了接受 BM-EVs 治疗的小鼠中 HCC 的进展。这些发现表明,BM-EVs 通过转移靶向 ALKBH5 的 miR-3190 引发同源 HCC 的促转移级联反应,miR-3190 可作为抑制骨转移患者 HCC 进展的有前途的治疗靶点。

https://cdn.ncbi.nlm.nih.gov/pmc/blobs/8ae8/10265039/be15b7256915/ADVS-10-2207080-g005.jpg

文献AI研究员

20分钟写一篇综述,助力文献阅读效率提升50倍。

立即体验

用中文搜PubMed

大模型驱动的PubMed中文搜索引擎

马上搜索

文档翻译

学术文献翻译模型,支持多种主流文档格式。

立即体验