Suppr超能文献

免疫检查点抑制剂对错配修复缺陷的II型子宫内膜癌患者的潜在治疗作用

Promising Therapeutic Impact of Immune Checkpoint Inhibitors in Type II Endometrial Cancer Patients with Deficient Mismatch Repair Status.

作者信息

Sawada Kiyoka, Nakayama Kentaro, Razia Sultana, Yamashita Hitomi, Ishibashi Tomoka, Ishikawa Masako, Kanno Kosuke, Sato Seiya, Nakayama Satoru, Otsuki Yoshiro, Kyo Satoru

机构信息

Department of Obstetrics and Gynecology, Shimane University School of Medicine, Izumo 6938501, Japan.

Department of Obstetrics and Gynecology, Seirei Hamamatsu Hospital, Hamamatsu 4308558, Japan.

出版信息

Healthcare (Basel). 2023 Apr 9;11(8):1073. doi: 10.3390/healthcare11081073.

Abstract

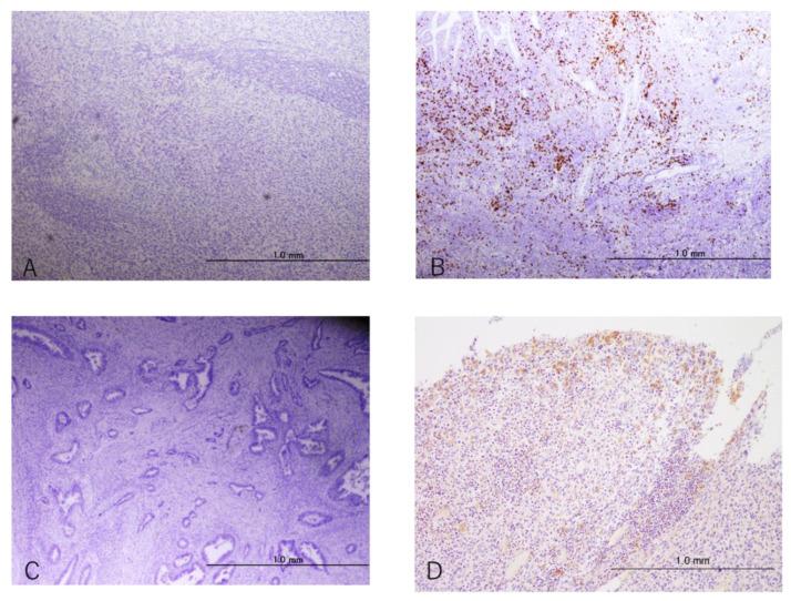
Type II endometrial cancer (EC) is responsible for most endometrial cancer-related deaths due to its aggressive nature, late-stage detection, and high tolerance to standard therapies. Thus, novel treatment strategies for type II EC are imperative. For patients with mismatch repair-deficient (dMMR) tumors, immunotherapy with immune checkpoint inhibitors represents a promising therapeutic strategy. However, the prevalence of dMMR tumors in type II EC patients remains unclear. In this study, using immunohistochemistry, we evaluated the expression of mismatch repair (MMR) proteins, tumor-infiltrating lymphocytes (CD8+), and immune checkpoint molecules (PD-L1) in 60 patients with type II EC (16, 5, 17, and 22 were endometrioid G3, serous, de-differentiated, and carcinosarcoma cases, respectively) to investigate the therapeutic effect of immune checkpoint inhibitors. Approximately 24 cases (40%) had a loss of MMR protein expression. The positivity rate of CD8+ ( = 0.0072) and PD-L1 ( = 0.0061) expression was significantly associated with the dMMR group. These results suggest immune checkpoint inhibitors (anti-PD-L1/PD-1 antibodies) could effectively treat type II EC with dMMR. The presence of dMMR might be a biomarker for a positive response to PD-1/PD-L1 immunotherapy in type II EC.

摘要

II型子宫内膜癌(EC)因其侵袭性、晚期检测以及对标准治疗的高耐受性,导致了大多数与子宫内膜癌相关的死亡。因此,针对II型EC的新型治疗策略势在必行。对于错配修复缺陷(dMMR)肿瘤患者,使用免疫检查点抑制剂进行免疫治疗是一种很有前景的治疗策略。然而,II型EC患者中dMMR肿瘤的患病率仍不清楚。在本研究中,我们采用免疫组织化学方法,评估了60例II型EC患者(分别有16例、5例、17例和22例为子宫内膜样G3、浆液性、去分化和癌肉瘤病例)中错配修复(MMR)蛋白、肿瘤浸润淋巴细胞(CD8+)和免疫检查点分子(PD-L1)的表达,以研究免疫检查点抑制剂的治疗效果。约24例(40%)患者出现MMR蛋白表达缺失。CD8+(P = 0.0072)和PD-L1(P = 0.0061)表达的阳性率与dMMR组显著相关。这些结果表明,免疫检查点抑制剂(抗PD-L1/PD-1抗体)可有效治疗dMMR的II型EC。dMMR的存在可能是II型EC对PD-1/PD-L1免疫治疗产生阳性反应的生物标志物。

https://cdn.ncbi.nlm.nih.gov/pmc/blobs/a53e/10137870/2ecaa92d3add/healthcare-11-01073-g001a.jpg

文献AI研究员

20分钟写一篇综述,助力文献阅读效率提升50倍。

立即体验

用中文搜PubMed

大模型驱动的PubMed中文搜索引擎

马上搜索

文档翻译

学术文献翻译模型,支持多种主流文档格式。

立即体验