Suppr超能文献

晚期抗原-4靶向脂质纳米颗粒在骨髓中的摄取和蓄积增加。

Increased Bone Marrow Uptake and Accumulation of Very-Late Antigen-4 Targeted Lipid Nanoparticles.

作者信息

Swart Laura E, Fens Marcel H A M, van Oort Anita, Waranecki Piotr, Mata Casimiro L Daniel, Tuk David, Hendriksen Martijn, van den Brink Luca, Schweighart Elizabeth, Seinen Cor, Nelson Ryan, Krippner-Heidenreich Anja, O'Toole Tom, Schiffelers Raymond M, Kooijmans Sander, Heidenreich Olaf

机构信息

Princess Máxima Center for Pediatric Oncology, Heidelberglaan 25, 3584 CS Utrecht, The Netherlands.

Department of Pharmaceutics, Utrecht Institute for Pharmaceutical Sciences, Utrecht University, 3584 CG Utrecht, The Netherlands.

出版信息

Pharmaceutics. 2023 May 27;15(6):1603. doi: 10.3390/pharmaceutics15061603.

Abstract

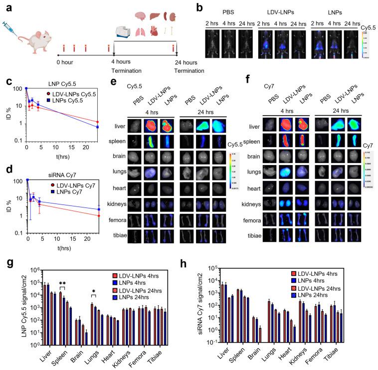
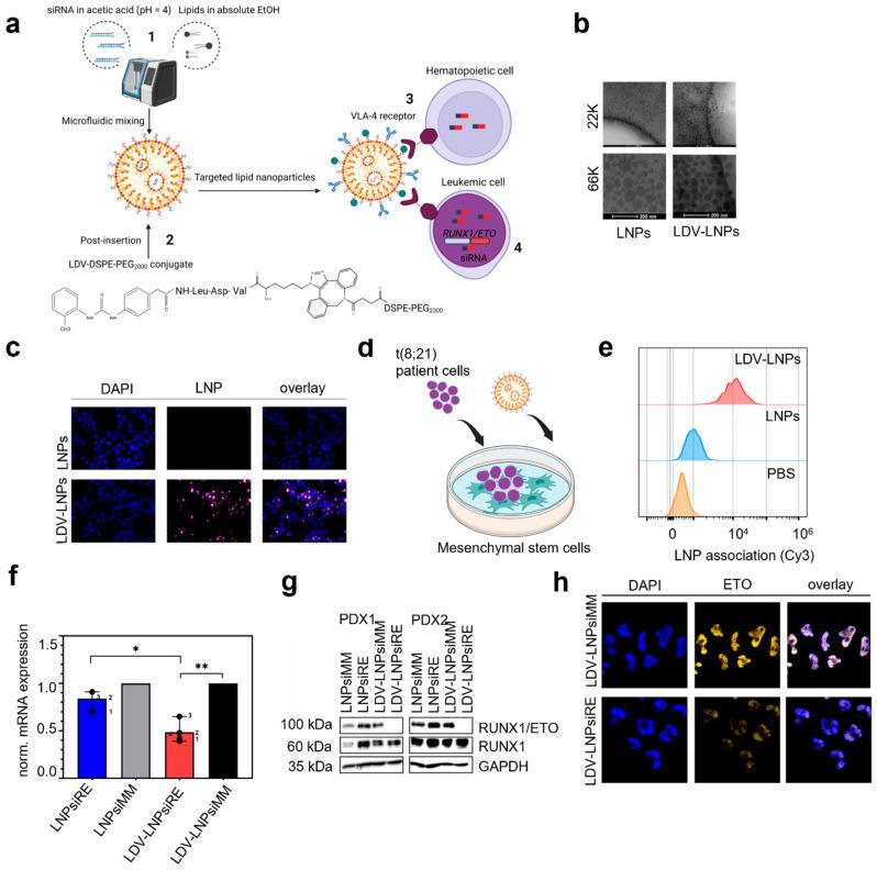
Lipid nanoparticles (LNPs) have evolved rapidly as promising delivery systems for oligonucleotides, including siRNAs. However, current clinical LNP formulations show high liver accumulation after systemic administration, which is unfavorable for the treatment of extrahepatic diseases, such as hematological disorders. Here we describe the specific targeting of LNPs to hematopoietic progenitor cells in the bone marrow. Functionalization of the LNPs with a modified Leu-Asp-Val tripeptide, a specific ligand for the very-late antigen 4 resulted in an improved uptake and functional siRNA delivery in patient-derived leukemia cells when compared to their non-targeted counterparts. Moreover, surface-modified LNPs displayed significantly improved bone-marrow accumulation and retention. These were associated with increased LNP uptake by immature hematopoietic progenitor cells, also suggesting similarly improved uptake by leukemic stem cells. In summary, we describe an LNP formulation that successfully targets the bone marrow including leukemic stem cells. Our results thereby support the further development of LNPs for targeted therapeutic interventions for leukemia and other hematological disorders.

摘要

脂质纳米颗粒(LNPs)作为包括小干扰RNA(siRNAs)在内的寡核苷酸的有前景的递送系统已迅速发展。然而,目前的临床LNP制剂在全身给药后显示出高肝脏蓄积,这对于肝外疾病如血液系统疾病的治疗是不利的。在此,我们描述了LNPs对骨髓中造血祖细胞的特异性靶向。用修饰的亮氨酸-天冬氨酸-缬氨酸三肽(一种极晚期抗原4的特异性配体)对LNPs进行功能化,与未靶向的对应物相比,在患者来源的白血病细胞中导致了更好的摄取和功能性siRNA递送。此外,表面修饰的LNPs显示出显著改善的骨髓蓄积和滞留。这些与未成熟造血祖细胞对LNP摄取的增加相关,也提示白血病干细胞的摄取同样得到改善。总之,我们描述了一种成功靶向包括白血病干细胞在内的骨髓的LNP制剂。因此,我们的结果支持进一步开发LNPs用于白血病和其他血液系统疾病的靶向治疗干预。

https://cdn.ncbi.nlm.nih.gov/pmc/blobs/468f/10304323/b6a0ef1a1daf/pharmaceutics-15-01603-g001.jpg

文献AI研究员

20分钟写一篇综述,助力文献阅读效率提升50倍。

立即体验

用中文搜PubMed

大模型驱动的PubMed中文搜索引擎

马上搜索

文档翻译

学术文献翻译模型,支持多种主流文档格式。

立即体验