Suppr超能文献

Mdivi-1 通过抑制 DRP1 依赖性线粒体分裂来减轻动脉粥样硬化,通过调节 M1 极化来实现。

Inhibition of DRP1-dependent mitochondrial fission by Mdivi-1 alleviates atherosclerosis through the modulation of M1 polarization.

机构信息

Department of General Practice, The Second Affiliated Hospital of Chongqing Medical University, Chongqing, China.

Department of Ophthalmology, The Second Affiliated Hospital of Chongqing Medical University, Chongqing, China.

出版信息

J Transl Med. 2023 Jun 30;21(1):427. doi: 10.1186/s12967-023-04270-9.

Abstract

BACKGROUND

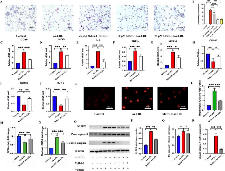
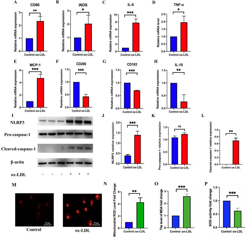
Inflammation and immune dysfunction with classically activated macrophages(M1) infiltration are important mechanisms in the progression of atherosclerosis (AS). Dynamin-related protein 1 (DRP1)-dependent mitochondrial fission is a novel target for alleviating inflammatory diseases. This study aimed to investigate the effects of DRP1 inhibitor Mdivi-1 on AS.

METHODS

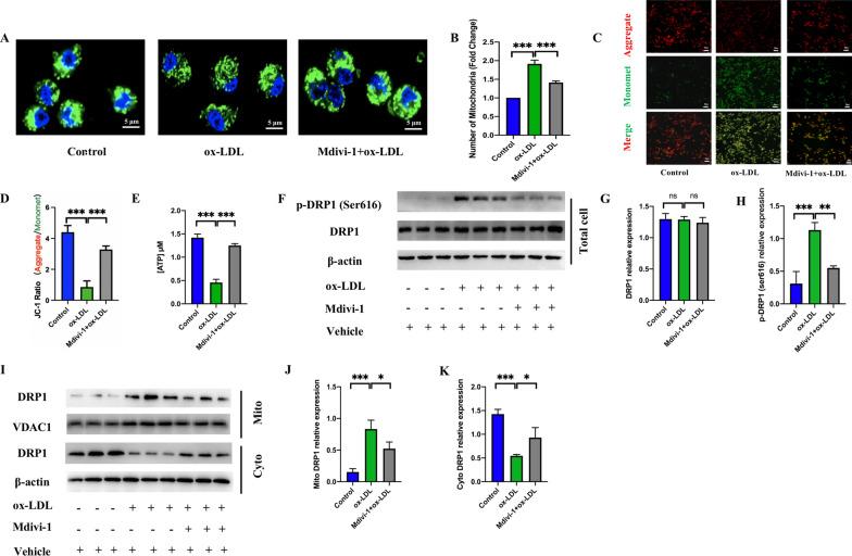
ApoE mice were fed with a high-fat diet supplemented with or without Mdivi-1. RAW264.7 cells were stimulated by ox-LDL, pretreated with or without MCC950, Mito-TEMPO, or Mdivi-1. The burden of plaques and foam cell formation were determined using ORO staining. The blood lipid profles and inflammatory cytokines in serum were detected by commercial kits and ELISA, respectively. The mRNA expression of macrophage polarization markers, activation of NLRP3 and the phosphorylation state of DRP1 were detected. Mitochondrial reactive oxygen species (mito-ROS), mitochondrial staining, ATP level and mitochondrial membrane potential were detected by mito-SOX, MitoTracker, ATP determination kit and JC-1 staining, respectively.

RESULTS

In vivo, Mdivi-1 reduced the plaque areas, M1 polarization, NLRP3 activation and DRP1 phosphorylation at Ser616. In vitro, oxidized low-density lipoprotein (ox-LDL) triggered M1 polarization, NLRP3 activation and abnormal accumulation of mito-ROS. MCC950 and Mito-TEMPO suppressed M1 polarization mediated foam cell formation. Mito-TEMPO significantly inhibited NLRP3 activation. In addition, Mdivi-1 reduced foam cells by inhibiting M1 polarization. The possible mechanisms responsible for the anti-atherosclerotic effects of Mdivi-1 on reducing M1 polarization were associated with suppressing mito-ROS/NLRP3 pathway by inhibiting DRP1 mediated mitochondrial fission. In vitro, similar results were observed by DRP1 knockdown.

CONCLUSION

Inhibition of DRP1-dependent mitochondrial fission by Mdivi-1 alleviated atherogenesis via suppressing mito-ROS/NLRP3-mediated M1 polarization, indicating DRP1-dependent mitochondrial fission as a potential therapeutic target for AS.

摘要

背景

炎症和免疫功能障碍伴随着经典激活的巨噬细胞(M1)浸润是动脉粥样硬化(AS)进展的重要机制。动力相关蛋白 1(DRP1)依赖性线粒体裂变是缓解炎症性疾病的一个新靶点。本研究旨在探讨 DRP1 抑制剂 Mdivi-1 对 AS 的影响。

方法

apoE 小鼠给予高脂饮食,补充或不补充 Mdivi-1。用 ox-LDL 刺激 RAW264.7 细胞,用 MCC950、Mito-TEMPO 或 Mdivi-1 预处理。用 ORO 染色法测定斑块负担和泡沫细胞形成。用商业试剂盒和 ELISA 分别检测血清中的血脂谱和炎症细胞因子。检测巨噬细胞极化标志物的 mRNA 表达、NLRP3 的激活和 DRP1 的磷酸化状态。用 mito-SOX、MitoTracker、ATP 测定试剂盒和 JC-1 染色分别检测线粒体活性氧(mito-ROS)、线粒体染色、ATP 水平和线粒体膜电位。

结果

体内,Mdivi-1 减少了斑块面积、M1 极化、NLRP3 激活和 DRP1 丝氨酸 616 的磷酸化。体外,氧化型低密度脂蛋白(ox-LDL)触发了 M1 极化、NLRP3 激活和异常积聚的 mito-ROS。MCC950 和 Mito-TEMPO 抑制了 M1 极化介导的泡沫细胞形成。Mito-TEMPO 显著抑制了 NLRP3 的激活。此外,Mdivi-1 通过抑制 M1 极化减少泡沫细胞。Mdivi-1 通过抑制 DRP1 介导的线粒体裂变抑制 mito-ROS/NLRP3 通路来减少 M1 极化的抗动脉粥样硬化作用的可能机制。在体外,DRP1 敲低也观察到了类似的结果。

结论

Mdivi-1 通过抑制 DRP1 依赖性线粒体裂变减轻动脉粥样硬化形成,通过抑制 mito-ROS/NLRP3 介导的 M1 极化抑制动脉粥样硬化形成,表明 DRP1 依赖性线粒体裂变可能成为 AS 的潜在治疗靶点。

https://cdn.ncbi.nlm.nih.gov/pmc/blobs/3ebd/10311781/387b39ab4676/12967_2023_4270_Fig1_HTML.jpg

文献AI研究员

20分钟写一篇综述,助力文献阅读效率提升50倍。

立即体验

用中文搜PubMed

大模型驱动的PubMed中文搜索引擎

马上搜索

文档翻译

学术文献翻译模型,支持多种主流文档格式。

立即体验