Suppr超能文献

钙调节异常通过干扰AMPK/Drp1信号通路破坏线粒体稳态,从而加剧斑块进展和不稳定性。

Calcium dysregulation disrupts mitochondrial homeostasis by interfering AMPK/Drp1 pathway to aggravate plaque progression and instability.

作者信息

Hu Pingping, Liu Mengmeng, Wu Tongtong, Zhang Yiping, Liu Chenyuan, Wang Langtao, Zhang Wanping, Que Yumei, You Jiali, Yu Weimin, Tong Xiaoyong

机构信息

Chongqing Key Laboratory for Pharmaceutical Metabolism Research, College of Pharmacy, Chongqing Medical University, Chongqing, 400016, China.

School of Pharmaceutical Sciences, Chongqing University, Chongqing, 401331, China.

出版信息

Theranostics. 2025 Jun 23;15(15):7567-7583. doi: 10.7150/thno.112041. eCollection 2025.

Abstract

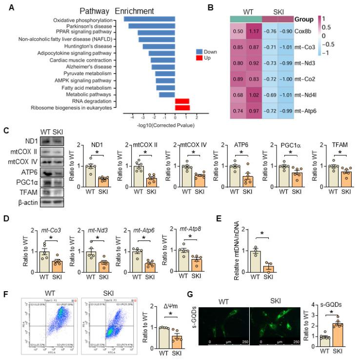
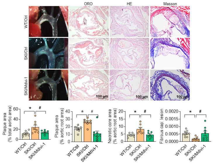
: Inactivation of Cys (C674) of sarcoplasmic/endoplasmic reticulum calcium ATPase 2 (SERCA2) disrupts intracellular calcium (Ca) homeostasis and SERCA2 dysfunction has been implicated in the pathogenesis of atherosclerosis and aortic aneurysms. However, the precise role of SERCA2 dysfunction in aortic smooth muscle cells (SMCs) and its contribution to atherosclerosis remains unclear. : We Used heterozygous SERCA2 C674S knock-in (SKI) mice to mimic the partial irreversible oxidation inactivation of C674 thiol under pathological conditions. The whole aorta and aortic root were isolated for immunohistological analysis, RNA sequencing and proteomic analysis. The primary SMCs were collected for cell culture, protein expression and immunofluorescence analysis. : Compared with SMCs from WT mice, SKI SMCs demonstrated abnormally activated AMPK/Drp1 pathway adenosine 5'-monophosphate-activated protein kinase (AMPK)/dynamin related protein 1 (Drp1) pathway, and mitochondrial disorders, including increased cytosolic/mitochondrial Ca²⁺ level, oxidative stress, ATP depletion, decreased mitochondrial membrane potential (Δψm), and disrupted mitochondrial dynamics. In SKI SMCs, stimulation of AMPK by metformin or 5-aminoimidazole-4-carboxamide-1-β-D-ribofuranoside (AICAR), or inhibition of Drp1 with mitochondrial division inhibitor 1 (Mdivi-1), restored mitochondrial homeostasis, mitigated excessive matrix metalloproteinase 2 and SMC apoptosis, thereby preserved SMC function. of metformin and Mdivi-1 both ameliorated atherosclerosis triggered by SERCA2 dysfunction and particularly enhanced plaque stability. SERCA2 dysfunction accelerates atherosclerotic plaques formation and increases plaque vulnerability by disrupting the AMPK/Drp1 pathway in aortic SMCs, leading to mitochondrial disorders and impairing SMCs function. Targeting of AMPK or Drp1 pharmacologically may offer promising therapeutic avenues for atherosclerosis, particularly in reducing atherosclerotic plaques vulnerability.

摘要

肌浆网/内质网钙ATP酶2(SERCA2)的半胱氨酸(C674)失活会破坏细胞内钙(Ca)稳态,SERCA2功能障碍与动脉粥样硬化和主动脉瘤的发病机制有关。然而,SERCA2功能障碍在主动脉平滑肌细胞(SMC)中的具体作用及其对动脉粥样硬化的影响仍不清楚。:我们使用杂合的SERCA2 C674S基因敲入(SKI)小鼠来模拟病理条件下C674硫醇的部分不可逆氧化失活。分离整个主动脉和主动脉根部进行免疫组织学分析、RNA测序和蛋白质组分析。收集原代SMC进行细胞培养、蛋白质表达和免疫荧光分析。:与野生型小鼠的SMC相比,SKI SMC表现出异常激活的AMPK/Drp1途径,即腺苷5'-单磷酸激活蛋白激酶(AMPK)/动力蛋白相关蛋白1(Drp1)途径,以及线粒体紊乱,包括胞质/线粒体Ca²⁺水平升高、氧化应激、ATP耗竭、线粒体膜电位(Δψm)降低和线粒体动力学破坏。在SKI SMC中,用二甲双胍或5-氨基咪唑-4-甲酰胺-1-β-D-呋喃核糖苷(AICAR)刺激AMPK,或用线粒体分裂抑制剂1(Mdivi-1)抑制Drp1,可恢复线粒体稳态,减轻过量的基质金属蛋白酶2和SMC凋亡,从而保留SMC功能。二甲双胍和Mdivi-1均改善了由SERCA2功能障碍引发的动脉粥样硬化,尤其增强了斑块稳定性。SERCA2功能障碍通过破坏主动脉SMC中的AMPK/Drp1途径加速动脉粥样硬化斑块形成并增加斑块易损性,导致线粒体紊乱并损害SMC功能。从药理学上靶向AMPK或Drp1可能为动脉粥样硬化提供有前景的治疗途径,特别是在降低动脉粥样硬化斑块易损性方面。

https://cdn.ncbi.nlm.nih.gov/pmc/blobs/0967/12315820/1bc1e8604cdd/thnov15p7567g001.jpg

文献AI研究员

20分钟写一篇综述,助力文献阅读效率提升50倍。

立即体验

用中文搜PubMed

大模型驱动的PubMed中文搜索引擎

马上搜索

文档翻译

学术文献翻译模型,支持多种主流文档格式。

立即体验