Suppr超能文献

H3K27 三甲基化缺失对脑膜瘤的影响:一项荟萃分析。

Impact of H3K27 trimethylation loss in meningiomas: a meta-analysis.

机构信息

Department of Neurosurgery, Brigham and Women's Hospital, Boston, MA, USA.

Harvard Medical School, Boston, MA, USA.

出版信息

Acta Neuropathol Commun. 2023 Jul 25;11(1):122. doi: 10.1186/s40478-023-01615-9.

Abstract

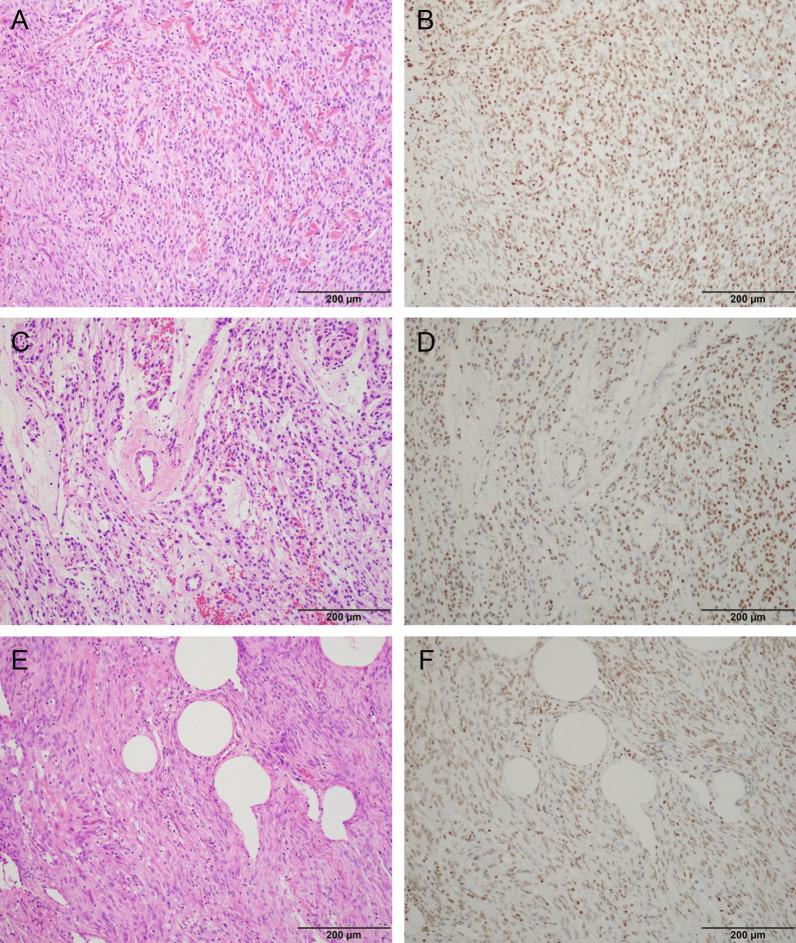
Trimethylation of lysine 27 on histone 3 (H3K27me3) loss has been implicated in worse prognoses for patients with meningiomas. However, there have been challenges in measuring H3K27me3 loss, quantifying its impact, and interpreting its clinical utility. We conducted a systematic review across Pubmed, Embase, and Web of Science to identify studies examining H3K27me3 loss in meningioma. Clinical, histopathological, and immunohistochemistry (IHC) characteristics were aggregated. A meta-analysis was performed using a random-effects model to assess prevalence of H3K27me3 loss and meningioma recurrence risk. Study bias was characterized using the NIH Quality Assessment Tool and funnel plots. Nine publications met inclusion criteria with a total of 2376 meningioma cases. The prevalence of H3K27me3 loss was 16% (95% CI 0.09-0.27), with higher grade tumors associated with a significantly greater proportion of loss. H3K27me3 loss was more common in patients who were male, had recurrent meningiomas, or required adjuvant radiation therapy. Patients were 1.70 times more likely to have tumor recurrence with H3K27me3 loss (95% CI 1.35-2.15). The prevalence of H3K27me3 loss in WHO grade 2 and 3 meningiomas was found to be significantly greater in tissue samples less than five years old versus tissue of all ages and when a broader definition of IHC staining loss was applied. This analysis demonstrates that H3K27me3 loss significantly associates with more aggressive meningiomas. While differences in IHC and tumor tissue age have led to heterogeneity in studying H3K27me3 loss, a robust prognostic signal is present. Our findings suggest an opportunity to improve study design and standardize tissue processing to optimize clinical viability of this epigenetic marker.

摘要

赖氨酸 27 上的三甲基化(H3K27me3)缺失与脑膜瘤患者的预后较差有关。然而,在测量 H3K27me3 缺失、量化其影响以及解释其临床应用方面存在挑战。我们在 Pubmed、Embase 和 Web of Science 上进行了系统综述,以确定研究脑膜瘤中 H3K27me3 缺失的研究。汇总了临床、组织病理学和免疫组织化学(IHC)特征。使用随机效应模型进行荟萃分析,以评估 H3K27me3 缺失和脑膜瘤复发风险的患病率。使用 NIH 质量评估工具和漏斗图描述研究偏倚。有 9 篇出版物符合纳入标准,共有 2376 例脑膜瘤病例。H3K27me3 缺失的患病率为 16%(95%CI 0.09-0.27),高级别肿瘤与缺失的比例显著更高。H3K27me3 缺失在男性、复发性脑膜瘤或需要辅助放疗的患者中更为常见。H3K27me3 缺失的患者肿瘤复发的可能性是无缺失患者的 1.70 倍(95%CI 1.35-2.15)。在组织样本小于 5 年与所有年龄的组织以及应用更广泛的 IHC 染色缺失定义时,发现 H3K27me3 在 WHO 分级 2 和 3 脑膜瘤中的缺失率显著更高。这项分析表明,H3K27me3 缺失与侵袭性更强的脑膜瘤显著相关。虽然 IHC 和肿瘤组织年龄的差异导致研究 H3K27me3 缺失存在异质性,但存在稳健的预后信号。我们的研究结果表明,有机会改进研究设计并标准化组织处理,以优化该表观遗传标志物的临床可行性。

https://cdn.ncbi.nlm.nih.gov/pmc/blobs/fcbd/10369842/1218a5805bb1/40478_2023_1615_Fig1_HTML.jpg

文献AI研究员

20分钟写一篇综述,助力文献阅读效率提升50倍。

立即体验

用中文搜PubMed

大模型驱动的PubMed中文搜索引擎

马上搜索

文档翻译

学术文献翻译模型,支持多种主流文档格式。

立即体验