Suppr超能文献

基于高剂量率放疗的CRISPR/Cas9介导的C57BL/6小鼠程序性死亡受体配体1基因敲除

HDR-based CRISPR/Cas9-mediated Knockout of PD-L1 in C57BL/6 Mice.

作者信息

Heeb Laura V, Taskoparan Betül, Katsoulas Antonios, Beffinger Michal, Clavien Pierre-Alain, Kobold Sebastian, Gupta Anurag, Berg Johannes Vom

机构信息

Department of Visceral Surgery and Transplantation University Hospital Zurich, Zurich, Switzerland.

Institute of Laboratory Animal Science, University of Zurich, Zurich, Switzerland.

出版信息

Bio Protoc. 2023 Jul 20;13(14):e4724. doi: 10.21769/BioProtoc.4724.

Abstract

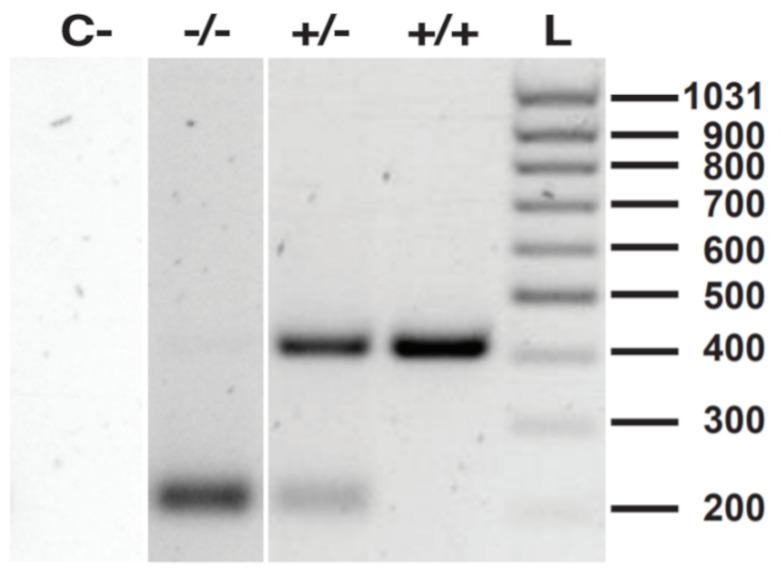
The immune-inhibitory molecule programmed cell death ligand 1 (PD-L1) has been shown to play a role in pathologies such as autoimmunity, infections, and cancer. The expression of PD-L1 not only on cancer cells but also on non-transformed host cells is known to be associated with cancer progression. Generation of PD-L1 deficiency in the murine system enables us to specifically study the role of PD-L1 in physiological processes and diseases. One of the most versatile and easy to use site-specific gene editing tools is the CRISPR/Cas9 system, which is based on an RNA-guided nuclease system. Similar to its predecessors, the Zinc finger nucleases or transcription activator-like effector nucleases (TALENs), CRISPR/Cas9 catalyzes double-strand DNA breaks, which can result in frameshift mutations due to random nucleotide insertions or deletions via non-homologous end joining (NHEJ). Furthermore, although less frequently, CRISPR/Cas9 can lead to insertion of defined sequences due to homology-directed repair (HDR) in the presence of a suitable template. Here, we describe a protocol for the knockout of PD-L1 in the murine C57BL/6 background using CRISPR/Cas9. Targeting of exon 3 coupled with the insertion of a HindIII restriction site leads to a premature stop codon and a loss-of-function phenotype. We describe the targeting strategy as well as founder screening, genotyping, and phenotyping. In comparison to NHEJ-based strategy, the presented approach results in a defined stop codon with comparable efficiency and timelines as NHEJ, generates convenient founder screening and genotyping options, and can be swiftly adapted to other targets.

摘要

免疫抑制分子程序性细胞死亡配体1(PD-L1)已被证明在自身免疫、感染和癌症等病理过程中发挥作用。已知PD-L1不仅在癌细胞上表达,而且在未转化的宿主细胞上表达也与癌症进展相关。在小鼠系统中产生PD-L1缺陷使我们能够专门研究PD-L1在生理过程和疾病中的作用。最通用且易于使用的位点特异性基因编辑工具之一是CRISPR/Cas9系统,它基于一种RNA引导的核酸酶系统。与它的前身锌指核酸酶或转录激活样效应物核酸酶(TALENs)类似,CRISPR/Cas9催化双链DNA断裂,由于通过非同源末端连接(NHEJ)随机插入或缺失核苷酸,这可能导致移码突变。此外,虽然频率较低,但在存在合适模板的情况下,CRISPR/Cas9可因同源定向修复(HDR)导致特定序列的插入。在这里,我们描述了一种使用CRISPR/Cas9在小鼠C57BL/6背景中敲除PD-L1的方案。靶向第3外显子并插入HindIII限制性位点会导致过早的终止密码子和功能丧失表型。我们描述了靶向策略以及对创始小鼠的筛选、基因分型和表型分析。与基于NHEJ的策略相比,本文提出的方法产生了一个确定的终止密码子,效率和时间线与NHEJ相当,产生了方便的创始小鼠筛选和基因分型选项,并且可以迅速适应其他靶点。

https://cdn.ncbi.nlm.nih.gov/pmc/blobs/6eb6/10366997/37ed76454384/BioProtoc-13-14-4724-g001.jpg

文献AI研究员

20分钟写一篇综述,助力文献阅读效率提升50倍。

立即体验

用中文搜PubMed

大模型驱动的PubMed中文搜索引擎

马上搜索

文档翻译

学术文献翻译模型,支持多种主流文档格式。

立即体验