Suppr超能文献

血小板因子可减轻炎症并改善衰老相关认知障碍。

Platelet factors attenuate inflammation and rescue cognition in ageing.

机构信息

Department of Anatomy, University of California San Francisco, San Francisco, CA, USA.

Biomedical Sciences Graduate Program, University of California San Francisco, San Francisco, CA, USA.

出版信息

Nature. 2023 Aug;620(7976):1071-1079. doi: 10.1038/s41586-023-06436-3. Epub 2023 Aug 16.

Abstract

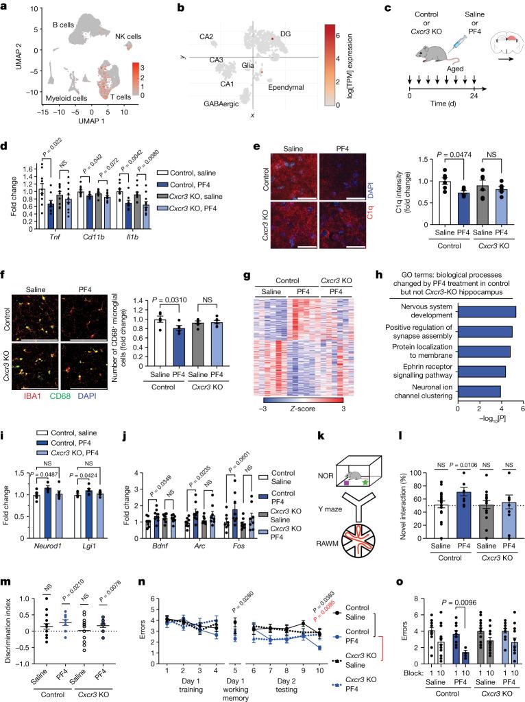
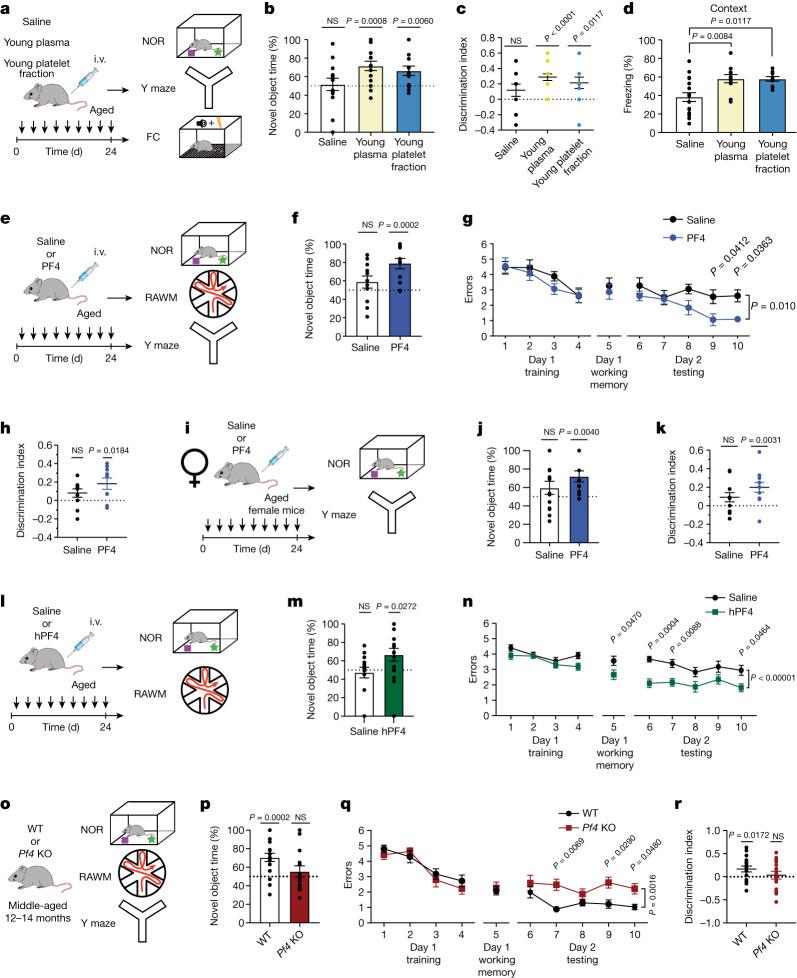
Identifying therapeutics to delay, and potentially reverse, age-related cognitive decline is critical in light of the increased incidence of dementia-related disorders forecasted in the growing older population. Here we show that platelet factors transfer the benefits of young blood to the ageing brain. Systemic exposure of aged male mice to a fraction of blood plasma from young mice containing platelets decreased neuroinflammation in the hippocampus at the transcriptional and cellular level and ameliorated hippocampal-dependent cognitive impairments. Circulating levels of the platelet-derived chemokine platelet factor 4 (PF4) (also known as CXCL4) were elevated in blood plasma preparations of young mice and humans relative to older individuals. Systemic administration of exogenous PF4 attenuated age-related hippocampal neuroinflammation, elicited synaptic-plasticity-related molecular changes and improved cognition in aged mice. We implicate decreased levels of circulating pro-ageing immune factors and restoration of the ageing peripheral immune system in the beneficial effects of systemic PF4 on the aged brain. Mechanistically, we identified CXCR3 as a chemokine receptor that, in part, mediates the cellular, molecular and cognitive benefits of systemic PF4 on the aged brain. Together, our data identify platelet-derived factors as potential therapeutic targets to abate inflammation and rescue cognition in old age.

摘要

鉴于预计在不断增长的老年人群体中与痴呆相关的疾病发病率增加,确定能够延缓和潜在逆转与年龄相关的认知能力下降的治疗方法至关重要。在这里,我们表明血小板因子将年轻血液的益处传递给衰老的大脑。将年轻小鼠的血小板包含的血浆的一部分系统地暴露于老年雄性小鼠中,可降低海马体在转录和细胞水平上的神经炎症,并改善海马体依赖性认知障碍。与老年人相比,年轻小鼠和人类的血浆制剂中血小板衍生趋化因子血小板因子 4(PF4)(也称为 CXCL4)的循环水平升高。外源性 PF4 的系统给药可减轻与年龄相关的海马体神经炎症,引起与突触可塑性相关的分子变化,并改善老年小鼠的认知能力。我们暗示循环中衰老免疫因子水平降低以及衰老外周免疫系统的恢复,是 PF4 对衰老大脑产生有益作用的原因。从机制上讲,我们确定了 CXCR3 作为趋化因子受体,部分介导了 PF4 对衰老大脑的细胞,分子和认知益处。总之,我们的数据将血小板衍生因子确定为潜在的治疗靶标,以减轻衰老过程中的炎症并恢复认知能力。

https://cdn.ncbi.nlm.nih.gov/pmc/blobs/c97d/10468395/26792825f25b/41586_2023_6436_Fig1_HTML.jpg

文献AI研究员

20分钟写一篇综述,助力文献阅读效率提升50倍。

立即体验

用中文搜PubMed

大模型驱动的PubMed中文搜索引擎

马上搜索

文档翻译

学术文献翻译模型,支持多种主流文档格式。

立即体验