Suppr超能文献

异常巴氏涂片中人乳头瘤病毒感染的患病率

Prevalence of human papillomavirus infection in abnormal pap smears.

作者信息

Mishra Jaya, Kalantri Sweety, Raphael Vandana, Dey Biswajit, Khonglah Yookarin, Das Ananya

机构信息

Department of Pathology, North Eastern Indira Gandhi Regional Institute of Health and Medical Sciences, Shillong, Meghalaya, India.

Department of Obstetrics and Gynaecology, North Eastern Indira Gandhi Regional Institute of Health and Medical Sciences, Shillong, Meghalaya, India.

出版信息

Cytojournal. 2023 Aug 29;20:21. doi: 10.25259/Cytojournal_8_2021. eCollection 2023.

Abstract

OBJECTIVES

This study was undertaken to study the prevalence of human papillomavirus (HPV) infection using the polymerase chain reaction (PCR) technique in abnormal cervical pap smears and to correlate the different cytological results with HPV infection.

MATERIAL AND METHODS

A total of 1788 cervical pap smears of women more than 30 years of age conducted over a period of 1 year 3 months (June 2015-August 2016) were screened by liquid-based cytology. High-risk (HR)-HPV testing was performed by PCR in abnormal lesions. Inflammatory smears and some atypical squamous cells of undetermined significance (ASCUS)-reactive cases were excluded from HPV testing. Histopathological correlation was done wherever possible.

RESULTS

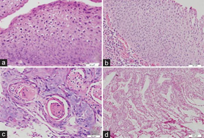
The overall prevalence of the intraepithelial lesions/malignancy was ASCUS. (ASCUS) - 79 (4.42%), atypical squamous cells cannot exclude high-grade squamous intraepithelial lesion (ASC-H) - 10 (0.56%), low-grade squamous intraepithelial lesion (LSIL) - 26 (1.45%), high-grade squamous intraepithelial lesion (HSIL) - 15 (0.84%), squamous cell carcinoma - 5 (0.28%), and adenocarcinoma - 1 case (0.06%). Overall, 136 (7.60%) samples were classified as abnormal. Seventy-seven samples were included for HR-HPV testing - 20 ASCUS, 10 ASC-H, 26 LSIL, 15 HSIL, and 6 malignant cases. A control group of ten samples with normal cervical cytology within the normal limit (Control) (WNLc) was tested for HR-HPV. HR-HPV was detected in 20% of samples of the WNLc group, 45% of the ASCUS group, 70% of the ASC-H group, 73.07% of the LSIL group, 86.67% of the HSIL, and 83.34% of the samples in the malignant group. Overall, HR-HPV was detected in 68.83% of abnormal cervical pap smears.

CONCLUSION

Our study shows that the percentage of HR-HPV-positive case increases with the severity of cytologic morphology. HPV had 4 times higher positivity in squamous intraepithelial lesion as compared to ASCUS.

摘要

目的

本研究旨在采用聚合酶链反应(PCR)技术研究异常宫颈涂片中人乳头瘤病毒(HPV)感染的患病率,并将不同的细胞学结果与HPV感染进行关联分析。

材料与方法

在1年3个月(2015年6月至2016年8月)期间,共收集了1788例30岁以上女性的宫颈涂片,采用液基细胞学进行筛查。对异常病变进行PCR高危(HR)-HPV检测。HPV检测排除炎性涂片和一些意义不明确的非典型鳞状细胞(ASCUS)反应性病例。尽可能进行组织病理学关联分析。

结果

上皮内病变/恶性肿瘤的总体患病率为ASCUS(非典型鳞状细胞不能排除高级别鳞状上皮内病变)-79例(4.42%)、非典型鳞状细胞不能排除高级别鳞状上皮内病变(ASC-H)-10例(0.56%)、低级别鳞状上皮内病变(LSIL)-26例(1.45%)、高级别鳞状上皮内病变(HSIL)-15例(0.84%)、鳞状细胞癌-5例(0.28%)、腺癌-1例(0.06%)。总体而言,136例(7.60%)样本被分类为异常。77例样本进行HR-HPV检测-20例ASCUS、10例ASC-H、26例LSIL、15例HSIL和6例恶性病例。对10例宫颈细胞学正常在正常范围内(对照)(WNLc)的样本组成的对照组进行HR-HPV检测。WNLc组20%的样本、ASCUS组45%的样本、ASC-H组70%的样本、LSIL组73.07%的样本、HSIL组86.67%的样本以及恶性组83.34%的样本检测到HR-HPV。总体而言,68.83%的异常宫颈涂片检测到HR-HPV。

结论

我们的研究表明,HR-HPV阳性病例的百分比随细胞学形态严重程度增加。与ASCUS相比,HPV在鳞状上皮内病变中的阳性率高4倍。

https://cdn.ncbi.nlm.nih.gov/pmc/blobs/f88c/10481853/a5e4f26415de/Cytojournal-20-21-g001.jpg

文献AI研究员

20分钟写一篇综述,助力文献阅读效率提升50倍。

立即体验

用中文搜PubMed

大模型驱动的PubMed中文搜索引擎

马上搜索

文档翻译

学术文献翻译模型,支持多种主流文档格式。

立即体验