Suppr超能文献

SEMA3B-AS1通过抑制依赖于信号素3B的血管内皮生长因子(VEGF)信号通路激活来抑制结直肠癌进展。

SEMA3B-AS1 suppresses colorectal carcinoma progression by inhibiting Semaphorin 3B-dependent VEGF signaling pathway activation.

作者信息

Wang Yi-Qing, Chen Hui, Xu Shuang, Liao Cong-Rui, Xu Anran, Han Yue, Yang Min-Hui, Zhao Li, Hu Sha-Sha, Wang Lan, Li Qing-Yuan, Zhan Ling-Ying, Ding Yan-Qing, Wang Shuang

机构信息

Department of Pathology Nanfang Hospital Southern Medical University Guangzhou Guangdong China.

Department of Pathology School of Basic Medical Sciences Southern Medical University Guangzhou Guangdong China.

出版信息

MedComm (2020). 2023 Sep 10;4(5):e365. doi: 10.1002/mco2.365. eCollection 2023 Oct.

Abstract

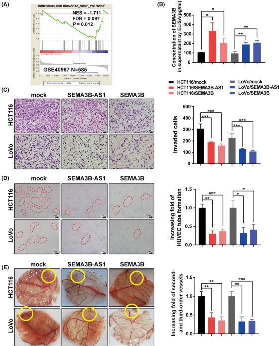
Mounting evidence has demonstrated the considerable regulatory effects of long noncoding RNAs (lncRNAs) in the tumorigenesis and progression of various carcinomas. LncRNA Semaphorin 3B (SEMA3B) antisense RNA 1 () has been found to be dysregulated in a few carcinomas recently. However, its potential function and mechanism in colorectal carcinoma (CRC) have not yet been examined. Here we show that acts as a crucial regulator of CRC progression. We found that expression was downregulated in CRC cell lines and tissues. Downregulation of was significantly associated with poor survival in CRC patients. Overexpression of reduced the cell growth and metastasis of CRC in vivo and in vitro. In addition, promoted the expression of its sense-cognate gene SEMA3B, a member of the Semaphorin family (SEMAs), by recruiting EP300 to induce H3K9 acetylation at the SEMA3B promoter. Furthermore, we proved that suppressed CRC angiogenesis by affecting the vascular endothelial growth factor signaling pathway activation which was regulated by the SEMA3B-NRP1 axis. Our work unravels a novel mechanism of in the inhibition of CRC malignant progression and highlights its probability as a new promising diagnostic marker and therapeutic target for CRC interventions.

摘要

越来越多的证据表明,长链非编码RNA(lncRNA)在各种癌症的发生和发展中具有重要的调节作用。最近发现,lncRNA信号素3B(SEMA3B)反义RNA1()在一些癌症中表达失调。然而,其在结直肠癌(CRC)中的潜在功能和机制尚未得到研究。在此,我们表明 是CRC进展的关键调节因子。我们发现, 在CRC细胞系和组织中的表达下调。 的下调与CRC患者的不良生存显著相关。 的过表达在体内和体外均降低了CRC的细胞生长和转移。此外, 通过招募EP300诱导SEMA3B启动子处的H3K9乙酰化,促进了其同源基因SEMA3B(信号素家族(SEMAs)的成员)的表达。此外,我们证明, 通过影响由SEMA3B-NRP1轴调节的血管内皮生长因子信号通路激活来抑制CRC血管生成。我们的研究揭示了 在抑制CRC恶性进展中的新机制,并突出了其作为CRC干预新的有前景的诊断标志物和治疗靶点的可能性。

https://cdn.ncbi.nlm.nih.gov/pmc/blobs/6e93/10492924/96fe58ebd5f2/MCO2-4-e365-g005.jpg

文献AI研究员

20分钟写一篇综述,助力文献阅读效率提升50倍。

立即体验

用中文搜PubMed

大模型驱动的PubMed中文搜索引擎

马上搜索

文档翻译

学术文献翻译模型,支持多种主流文档格式。

立即体验