Suppr超能文献

宏基因组下一代测序辅助鉴定非结核分枝杆菌感染。

Metagenomic next-generation sequencing assistance in identifying non-tuberculous mycobacterial infections.

机构信息

Department of Respiratory and Critical Care Medicine, The First Affiliated Hospital of Zhengzhou University, Zhengzhou, China.

出版信息

Front Cell Infect Microbiol. 2023 Aug 31;13:1253020. doi: 10.3389/fcimb.2023.1253020. eCollection 2023.

Abstract

INTRODUCTION

The advent of metagenomics next-generation sequencing (mNGS) has garnered attention as a novel method for detecting pathogenic infections, including Non-Tuberculous Mycobacterial (NTM) and tuberculosis (TB).However, the robustness and specificity of mNGS in NTM diagnostics have not been fully explored.

METHODS

In this retrospective study, we enrolled 27 patients with NTM genomic sequences via mNGS and conducted a comprehensive clinical evaluation.

RESULTS

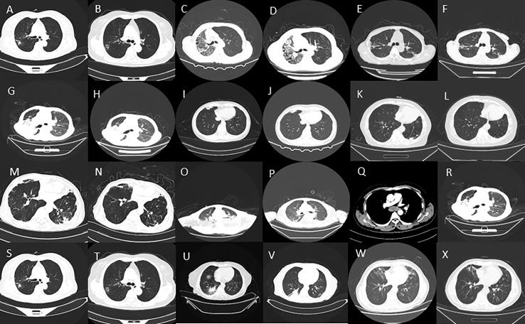
Pulmonary NTM disease was the most commonly observed presentation, with a subset of patients also presenting with extrapulmonary NTM infections.mNGS analysis identified six distinct NTM species, primarily Mycobacteriumavium complex (MAC), followed by Mycobacterium intracellulare andMycobacterium abscessus. Conventional routine culture methods encountered challenges, resulting in negative results for all available 22 samples. Among the 10 patients who underwent quantitative polymerase chain reaction (qPCR) testing, five tested positive for NTM.

DISCUSSION

It is important to note that further species typing is necessary to determine the specific NTM type, as traditional pathogen detection methods serve as an initial step. In contrast, when supplemented with pathogen data, enables the identification of specific species, facilitating precise treatment decisions. In conclusion, mNGS demonstrates significant potential in aidingthe diagnosis of NTMdisease by rapidly detecting NTM pathogens and guiding treatment strategies. Its enhanced performance, faster turnaround time (TAT), and species identification capabilities make mNGS a promising tool for managing NTM infections.

摘要

简介

宏基因组下一代测序(mNGS)的出现引起了人们的关注,它是一种检测致病感染的新方法,包括非结核分枝杆菌(NTM)和结核分枝杆菌(TB)。然而,mNGS 在 NTM 诊断中的稳健性和特异性尚未得到充分探索。

方法

在这项回顾性研究中,我们通过 mNGS 对 27 例 NTM 基因组序列的患者进行了全面的临床评估。

结果

肺部 NTM 疾病是最常见的表现,一部分患者还表现出肺部外 NTM 感染。mNGS 分析鉴定了六种不同的 NTM 物种,主要是鸟分枝杆菌复合体(MAC),其次是胞内分枝杆菌和脓肿分枝杆菌。常规的常规培养方法遇到了挑战,导致所有 22 个可用样本的结果均为阴性。在接受定量聚合酶链反应(qPCR)检测的 10 名患者中,有 5 名患者的 NTM 检测呈阳性。

讨论

需要注意的是,进一步的物种分型对于确定特定的 NTM 类型是必要的,因为传统的病原体检测方法是一个初始步骤。相比之下,当与病原体数据结合使用时,它能够识别特定的物种,有助于做出精确的治疗决策。总之,mNGS 通过快速检测 NTM 病原体并指导治疗策略,在辅助 NTM 疾病诊断方面具有重要潜力。其增强的性能、更快的周转时间(TAT)和物种鉴定能力使其成为管理 NTM 感染的有前途的工具。

https://cdn.ncbi.nlm.nih.gov/pmc/blobs/cb1f/10500063/25b05cd0b07e/fcimb-13-1253020-g001.jpg

文献AI研究员

20分钟写一篇综述,助力文献阅读效率提升50倍。

立即体验

用中文搜PubMed

大模型驱动的PubMed中文搜索引擎

马上搜索

文档翻译

学术文献翻译模型,支持多种主流文档格式。

立即体验