Suppr超能文献

奥曲肽对 的抗真菌疗效。

Antifungal Efficacy of Antimicrobial Peptide Octominin II against .

机构信息

College of Veterinary Medicine and Research Institute of Veterinary Medicine, Chungnam National University, Daejeon 34134, Republic of Korea.

National Marine Biodiversity Institute of Korea (MABIK), Janghang-eup 33662, Republic of Korea.

出版信息

Int J Mol Sci. 2023 Sep 13;24(18):14053. doi: 10.3390/ijms241814053.

Abstract

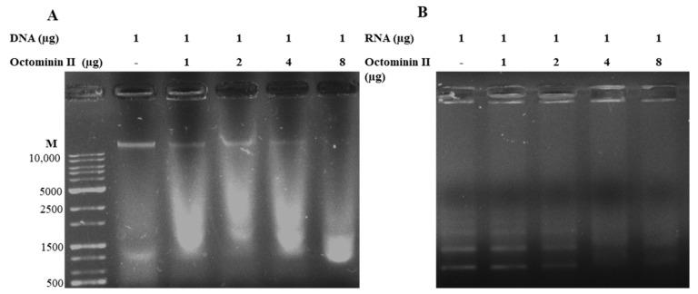
Most clinically isolated strains are drug-resistant, emphasizing the urgent need to discover alternative therapies. In this study, the previously characterized Octominin was modified into a shorter peptide with an 18 amino acid sequence (GWLIRGAIHAGKAIHGLI) and named Octominin II. The secondary structure of Octominin II is a random coil with a helical turn and a positive charge (+2.46) with a hydrophobic ratio of 0.46. Octominin II inhibited , , and with minimum inhibitory and fungicidal concentrations against of 80 and 120 µg/mL, respectively. Field emission scanning electron microscopy confirmed that Octominin II treatment caused ultra-structural changes in cells. Furthermore, membrane permeability results for the fluorescent indicator propidium iodide revealed modifications in cell wall integrity in Octominin II-treated . Octominin II treatment increases the production of reactive oxygen species (ROS) in . Gene expression studies revealed that Octominin II suppresses virulence genes of such as , , , , , and . In addition, a nucleic acid binding assay revealed that Octominin II degraded genomic DNA and total RNA in a concentration-dependent manner. Additionally, Octominin II inhibited and eradicated biofilm formation. Octominin II showed relatively less cytotoxicity on raw 264.7 cells (0-200 µg/mL) and hemolysis activity on murine erythrocytes (6.25-100 µg/mL). In vivo studies confirmed that Octominin II reduced the pathogenicity of . Overall, the data suggests that Octominin II inhibits by employing different modes of action and can be a promising candidate for controlling multidrug-resistant infections.

摘要

大多数临床分离株均具有耐药性,这强调了迫切需要发现替代疗法。在这项研究中,先前表征的 Octominin 被修饰成具有 18 个氨基酸序列(GWLIRGAIHAGKAIHGLI)的更短肽,并命名为 Octominin II。Octominin II 的二级结构为无规卷曲,带有螺旋转折和正电荷(+2.46),疏水性比为 0.46。Octominin II 对 、 和 具有抑制作用,对 的最小抑菌和杀菌浓度分别为 80 和 120 µg/mL。场发射扫描电子显微镜证实 Octominin II 处理导致 细胞超微结构发生变化。此外,荧光指示剂碘化丙啶的膜通透性结果表明,Octominin II 处理后的 细胞壁完整性发生改变。Octominin II 处理会增加 中活性氧(ROS)的产生。基因表达研究表明,Octominin II 抑制 中的毒力基因,如 、 、 、 、 和 。此外,核酸结合测定显示,Octominin II 以浓度依赖的方式降解基因组 DNA 和总 RNA。此外,Octominin II 抑制和根除 生物膜形成。Octominin II 对原始 264.7 细胞(0-200 µg/mL)的细胞毒性相对较低,对鼠红细胞的溶血活性(6.25-100 µg/mL)也较低。体内研究证实,Octominin II 降低了 的致病性。总的来说,数据表明 Octominin II 通过不同的作用模式抑制 ,可以成为控制多药耐药 的有前途的候选药物。

https://cdn.ncbi.nlm.nih.gov/pmc/blobs/22e3/10531694/75d2cb01fa52/ijms-24-14053-g001.jpg

文献AI研究员

20分钟写一篇综述,助力文献阅读效率提升50倍。

立即体验

用中文搜PubMed

大模型驱动的PubMed中文搜索引擎

马上搜索

文档翻译

学术文献翻译模型,支持多种主流文档格式。

立即体验