Suppr超能文献

cIAPs 控制 RIPK1 激酶活性依赖性和非依赖性细胞死亡和组织炎症。

cIAPs control RIPK1 kinase activity-dependent and -independent cell death and tissue inflammation.

机构信息

Faculty of Medicine and University Hospital of Cologne, Institute for Molecular Immunology, University of Cologne, Cologne, Germany.

Faculty of Medicine and University Hospital of Cologne, Department of General, Visceral, Cancer and Transplantation Surgery, University of Cologne, Cologne, Germany.

出版信息

EMBO J. 2023 Nov 15;42(22):e113614. doi: 10.15252/embj.2023113614. Epub 2023 Oct 4.

Abstract

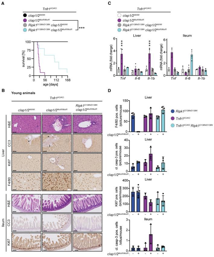
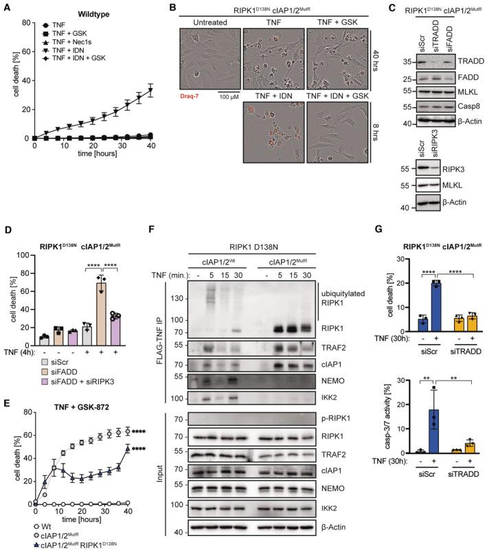
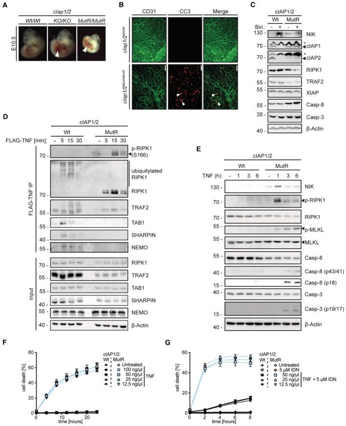
Cellular inhibitor of apoptosis proteins (cIAPs) are RING-containing E3 ubiquitin ligases that ubiquitylate receptor-interacting protein kinase 1 (RIPK1) to regulate TNF signalling. Here, we established mice simultaneously expressing enzymatically inactive cIAP1/2 variants, bearing mutations in the RING domains of cIAP1/2 (cIAP1/2 mutant RING, cIAP1/2 ). cIap1/2 mice died during embryonic development due to RIPK1-mediated apoptosis. While expression of kinase-inactive RIPK1 rescued embryonic development, Ripk1 /cIap1/2 mice developed systemic inflammation and died postweaning. Cells expressing cIAP1/2 and RIPK1 were still susceptible to TNF-induced apoptosis and necroptosis, implying additional kinase-independent RIPK1 activities in regulating TNF signalling. Although further ablation of Ripk3 did not lead to any phenotypic improvement, Tnfr1 gene knock-out prevented early onset of systemic inflammation and premature mortality, indicating that cIAPs control TNFR1-mediated toxicity independent of RIPK1 and RIPK3. Beyond providing novel molecular insights into TNF-signalling, the mouse model established in this study can serve as a useful tool to further evaluate ongoing therapeutic protocols using inhibitors of TNF, cIAPs and RIPK1.

摘要

细胞凋亡抑制蛋白 (cIAPs) 是含有 RING 结构域的 E3 泛素连接酶,可泛素化受体相互作用蛋白激酶 1 (RIPK1) 以调节 TNF 信号转导。在这里,我们建立了同时表达酶失活 cIAP1/2 变体的小鼠,这些变体在 cIAP1/2 的 RING 结构域中带有突变 (cIAP1/2 突变 RING,cIAP1/2 )。cIap1/2 小鼠由于 RIPK1 介导的细胞凋亡而在胚胎发育过程中死亡。虽然激酶失活的 RIPK1 的表达挽救了胚胎发育,但 Ripk1 /cIap1/2 小鼠发生全身炎症并在断奶后死亡。表达 cIAP1/2 和 RIPK1 的细胞仍然容易受到 TNF 诱导的细胞凋亡和坏死的影响,这表明在调节 TNF 信号转导方面存在其他激酶非依赖性 RIPK1 活性。尽管进一步消融 Ripk3 并没有导致任何表型改善,但 Tnfr1 基因敲除可防止全身炎症的早期发作和过早死亡,表明 cIAPs 可独立于 RIPK1 和 RIPK3 控制 TNFR1 介导的毒性。除了为 TNF 信号转导提供新的分子见解外,本研究中建立的小鼠模型还可以作为评估使用 TNF、cIAPs 和 RIPK1 的抑制剂的现行治疗方案的有用工具。

https://cdn.ncbi.nlm.nih.gov/pmc/blobs/a79a/10646551/16fc69841a23/EMBJ-42-e113614-g001.jpg

文献AI研究员

20分钟写一篇综述,助力文献阅读效率提升50倍。

立即体验

用中文搜PubMed

大模型驱动的PubMed中文搜索引擎

马上搜索

文档翻译

学术文献翻译模型,支持多种主流文档格式。

立即体验