Suppr超能文献

严重创伤性脑损伤在受伤后最初数小时的处理 - 当前证据和争议。

The management of severe traumatic brain injury in the initial postinjury hours - current evidence and controversies.

机构信息

Neurocenter, Department of Neurosurgery, Turku University Hospital, Turku, Finland.

Department of Clinical Neurosciences, Neurosurgery Unit, University of Cambridge, Addenbrooke's Hospital, Cambridge, UK.

出版信息

Curr Opin Crit Care. 2023 Dec 1;29(6):650-658. doi: 10.1097/MCC.0000000000001094. Epub 2023 Oct 11.

Abstract

PURPOSE OF REVIEW

To provide an overview of recent studies discussing novel strategies, controversies, and challenges in the management of severe traumatic brain injury (sTBI) in the initial postinjury hours.

RECENT FINDINGS

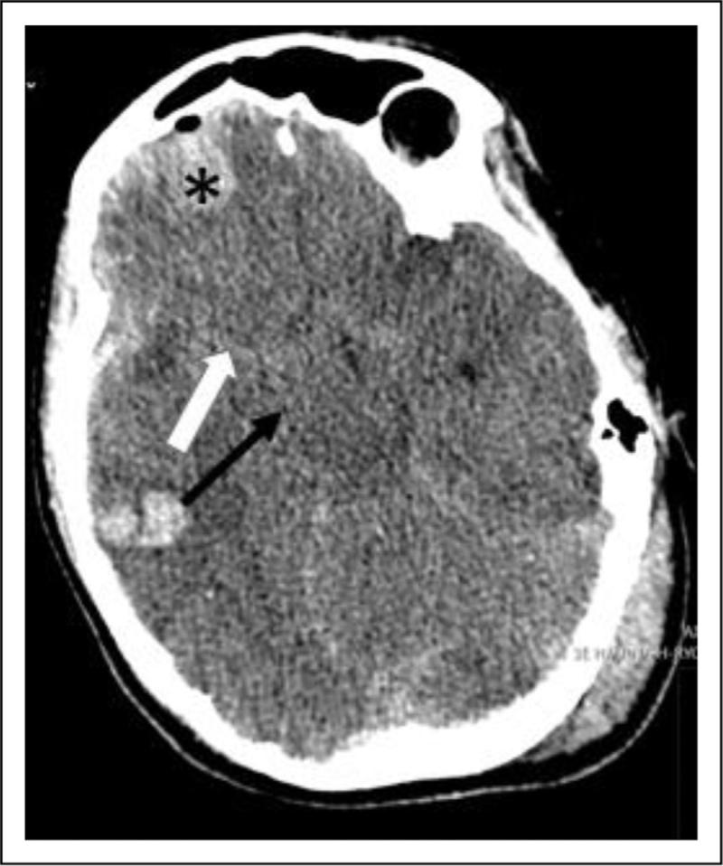
Prehospital management of sTBI should adhere to Advanced Trauma Life Support (ATLS) principles. Maintaining oxygen saturation and blood pressure within target ranges on-scene by anesthetist, emergency physician or trained paramedics has resulted in improved outcomes. Emergency department (ED) management prioritizes airway control, stable blood pressure, spinal immobilization, and correction of impaired coagulation. Noninvasive techniques such as optic nerve sheath diameter measurement, pupillometry, and transcranial Doppler may aid in detecting intracranial hypertension. Osmotherapy and hyperventilation are effective as temporary measures to reduce intracranial pressure (ICP). Emergent computed tomography (CT) findings guide surgical interventions such as decompressive craniectomy, or evacuation of mass lesions. There are no neuroprotective drugs with proven clinical benefit, and steroids and hypothermia cannot be recommended due to adverse effects in randomized controlled trials.

SUMMARY

Advancement of the prehospital and ED care that include stabilization of physiological parameters, rapid correction of impaired coagulation, noninvasive techniques to identify raised ICP, emergent surgical evacuation of mass lesions and/or decompressive craniectomy, and temporary measures to counteract increased ICP play pivotal roles in the initial management of sTBI. Individualized approaches considering the underlying pathology are crucial for accurate outcome prediction.

摘要

目的综述

提供关于严重创伤性脑损伤(sTBI)在受伤后最初几小时内的新治疗策略、争议和挑战的最新研究概述。

最近的发现

sTBI 的院前管理应遵循高级创伤生命支持(ATLS)原则。麻醉师、急诊医师或经过培训的护理人员在现场维持氧饱和度和血压在目标范围内已导致结果改善。急诊科管理的重点是气道控制、血压稳定、脊柱固定和凝血功能障碍的纠正。非侵入性技术,如视神经鞘直径测量、瞳孔测量和经颅多普勒超声,可能有助于检测颅内高压。渗透性治疗和过度通气是降低颅内压(ICP)的有效临时措施。紧急计算机断层扫描(CT)结果指导手术干预,如去骨瓣减压术或切除肿块病变。目前尚无具有临床获益证据的神经保护药物,由于随机对照试验中的不良反应,类固醇和低温不能推荐。

总结

包括稳定生理参数、快速纠正凝血功能障碍、识别颅内压升高的非侵入性技术、紧急手术切除肿块病变和/或去骨瓣减压术,以及临时措施以对抗升高的 ICP,这些都是在 sTBI 初始治疗中发挥关键作用的治疗策略。考虑潜在病理的个体化方法对于准确的预后预测至关重要。

https://cdn.ncbi.nlm.nih.gov/pmc/blobs/0a56/10624411/c40009d80758/cocca-29-650-g001.jpg

文献AI研究员

20分钟写一篇综述,助力文献阅读效率提升50倍。

立即体验

用中文搜PubMed

大模型驱动的PubMed中文搜索引擎

马上搜索

文档翻译

学术文献翻译模型,支持多种主流文档格式。

立即体验