Suppr超能文献

新辅助治疗与手术切除联合用于转移性重排肾细胞癌的安全有效治疗方案:一例报告

A safe and effective treatment combination of neoadjuvant therapy and surgical resection for metastatic -rearranged renal cell carcinoma:a case report.

作者信息

Yang Haiyang, Dong Xiang, Pan Xinghe, Ma Wenliang, Pan Jun, Guo Hongqian, Gan Weidong

机构信息

Nanjing Drum Tower Hospital Clinical College of Jiangsu University, Nanjing, China.

Nanjing Drum Tower Hospital, Affiliated Hospital of Medical School, Nanjing University, Nanjing, China.

出版信息

Front Oncol. 2023 Oct 23;13:1252282. doi: 10.3389/fonc.2023.1252282. eCollection 2023.

Abstract

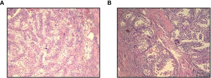
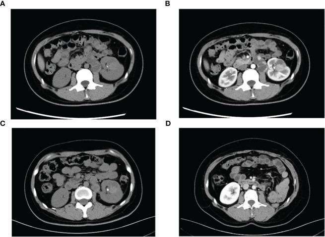
-rearranged renal cell carcinoma (RCC) is a rare subtype of renal tumor that primarily affects young women and is characterized by early metastasis and a poor prognosis. This case study presents a 29-year-old woman diagnosed with -rearranged RCC, who initially presented with painless gross hematuria. Computed Tomography (CT) imaging revealed the presence of a solid mass in the left kidney along with retroperitoneal metastasis. The patient received axitinib, a vascular endothelial growth factor receptor-tyrosine kinase inhibitor (VEGFR-TKI), as first-line neoadjuvant therapy. Subsequent testing confirmed positive expression of programmed death-1 protein L1 (), leading to the addition of tislelizumab, a PD1 inhibitor, to the treatment regimen. After 8 months, the patient's tumor size and metastases exhibited significant reduction, providing a favorable opportunity for subsequent surgical intervention. The tumor was classified as IV (pT3aN0M1) based on the pathologic stage of the American Joint Committee on Cancer (AJCC, 8th edition, 2017). The patient achieved long-term survival through combined systemic therapy involving surgery and neoadjuvant treatment. At the 30-month follow-up, there was no evidence of tumor recurrence or metastasis.

摘要

重排性肾细胞癌(RCC)是一种罕见的肾肿瘤亚型,主要影响年轻女性,其特征为早期转移和预后不良。本病例研究介绍了一名29岁被诊断为重排性RCC的女性,她最初表现为无痛性肉眼血尿。计算机断层扫描(CT)成像显示左肾有一个实性肿块以及腹膜后转移。患者接受了一线新辅助治疗阿昔替尼,一种血管内皮生长因子受体酪氨酸激酶抑制剂(VEGFR-TKI)。随后的检测证实程序性死亡-1蛋白L1()表达呈阳性,导致在治疗方案中添加了PD1抑制剂替雷利珠单抗。8个月后,患者的肿瘤大小和转移灶显著缩小,为后续手术干预提供了有利时机。根据美国癌症联合委员会(AJCC,第8版,2017年)的病理分期,该肿瘤被分类为IV期(pT3aN0M1)。患者通过包括手术和新辅助治疗在内的联合全身治疗实现了长期生存。在30个月的随访中,没有肿瘤复发或转移的证据。

https://cdn.ncbi.nlm.nih.gov/pmc/blobs/5ec9/10627181/d15f072d8c3e/fonc-13-1252282-g001.jpg

文献AI研究员

20分钟写一篇综述,助力文献阅读效率提升50倍。

立即体验

用中文搜PubMed

大模型驱动的PubMed中文搜索引擎

马上搜索

文档翻译

学术文献翻译模型,支持多种主流文档格式。

立即体验