Suppr超能文献

自体冻干富血小板纤维蛋白对兔骨软骨缺损修复的影响

Effect of autologous lyophilized platelet‑rich fibrin on the reconstruction of osteochondral defects in rabbits.

作者信息

Sun Jianwei, Han Leng, Liu Chundong, Ma Junli, Li Xiao, Sun Shuohui, Wang Zhifa

机构信息

The Fourth Recuperate Area, Guangzhou Special Service Recuperation Center of People's Liberation Army (PLA) of China Rocket Force, Guangzhou, Guangdong 510515, P.R. China.

Department of Pathology, General Hospital of Southern Theater Command of PLA, Guangzhou, Guangdong 510010, P.R. China.

出版信息

Exp Ther Med. 2023 Oct 24;26(6):569. doi: 10.3892/etm.2023.12268. eCollection 2023 Dec.

Abstract

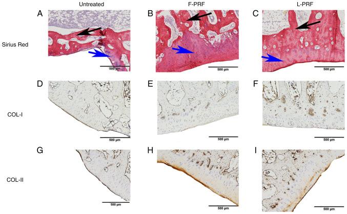
Osteochondral defects caused by degenerative diseases of joints, traumas and inflammation are important issues in clinical practice. Different types of autologous platelet concentrate (PCs) are used in bone and cartilage regeneration. The present study aimed to investigate the effect of lyophilized platelet-rich fibrin (L-PRF) on the repair of osteochondral defects in rabbits. L-PRF was first prepared from fresh PRF (F-PRF) through freeze-drying, and histological and microstructural observations were performed to compare the characteristics of L-PRF and F-PRF. Thereafter, these bioactive scaffolds were implanted into osteochondral defects surgically created in rabbits to assess their effects on tissue repair using micro-CT scanning, histological observations and the evaluation scoring method for cartilage repair established by the International Cartilage Repair Society (ICRS). L-PRF had a histological structure similar to F-PRF. At 16 weeks after implantation surgery, full-thickness osteochondral defects with a diameter of 5 mm and a depth of 4 mm were well-filled with newly regenerated tissues, exhibiting the simultaneous regeneration of avascular articular cartilage and well-vascularized subchondral bone, as proven through macroscopic and microscopic observations in PRF-treated groups compared with that in the untreated group. The application of L-PRF and F-PRF for osteochondral defects in rabbits contributed to massive host remodeling and reconstruction of osteochondral tissues, thus offering a prospective bioactive scaffold for the simultaneous reconstruction of articular cartilage and subchondral bone tissue.

摘要

由关节退行性疾病、创伤和炎症引起的骨软骨缺损是临床实践中的重要问题。不同类型的自体血小板浓缩物(PCs)被用于骨和软骨再生。本研究旨在探讨冻干富血小板纤维蛋白(L-PRF)对兔骨软骨缺损修复的影响。L-PRF首先由新鲜富血小板纤维蛋白(F-PRF)通过冷冻干燥制备而成,并进行组织学和微观结构观察以比较L-PRF和F-PRF的特性。此后,将这些生物活性支架植入通过手术在兔身上制造的骨软骨缺损中,使用微型计算机断层扫描(micro-CT)、组织学观察以及国际软骨修复协会(ICRS)建立的软骨修复评估评分方法来评估它们对组织修复的影响。L-PRF具有与F-PRF相似的组织结构。在植入手术后16周,直径5毫米、深度4毫米的全层骨软骨缺损被新再生组织良好填充,与未治疗组相比,PRF治疗组的宏观和微观观察结果证明,出现了无血管关节软骨和血管丰富的软骨下骨的同时再生。L-PRF和F-PRF应用于兔骨软骨缺损有助于大量宿主重塑和骨软骨组织重建,从而为关节软骨和软骨下骨组织的同时重建提供了一种有前景的生物活性支架。

https://cdn.ncbi.nlm.nih.gov/pmc/blobs/55ed/10632968/5a8f26fca2a0/etm-26-06-12268-g00.jpg

文献AI研究员

20分钟写一篇综述,助力文献阅读效率提升50倍。

立即体验

用中文搜PubMed

大模型驱动的PubMed中文搜索引擎

马上搜索

文档翻译

学术文献翻译模型,支持多种主流文档格式。

立即体验