Suppr超能文献

2022 年美国野生陆地哺乳动物中感染的高致病性禽流感 A(H5N1)病毒 2.3.4.4b 属。

Highly Pathogenic Avian Influenza A(H5N1) Virus Clade 2.3.4.4b Infections in Wild Terrestrial Mammals, United States, 2022.

出版信息

Emerg Infect Dis. 2023 Dec;29(12):2451-2460. doi: 10.3201/eid2912.230464.

Abstract

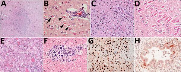
We describe the pathology of natural infection with highly pathogenic avian influenza A(H5N1) virus of Eurasian lineage Goose/Guangdong clade 2.3.4.4b in 67 wild terrestrial mammals throughout the United States during April 1‒July 21, 2022. Affected mammals include 50 red foxes (Vulpes vulpes), 6 striped skunks (Mephitis mephitis), 4 raccoons (Procyon lotor), 2 bobcats (Lynx rufus), 2 Virginia opossums (Didelphis virginiana), 1 coyote (Canis latrans), 1 fisher (Pekania pennanti), and 1 gray fox (Urocyon cinereoargenteus). Infected mammals showed primarily neurologic signs. Necrotizing meningoencephalitis, interstitial pneumonia, and myocardial necrosis were the most common lesions; however, species variations in lesion distribution were observed. Genotype analysis of sequences from 48 animals indicates that these cases represent spillover infections from wild birds.

摘要

我们描述了 2022 年 4 月 1 日至 7 月 21 日期间,美国 67 种野生陆地哺乳动物中,欧亚大陆系鹅/广东分支 2.3.4.4b 的高致病性禽流感 A(H5N1)病毒的自然感染病理学。受影响的哺乳动物包括 50 只红狐(Vulpes vulpes)、6 只条纹臭鼬(Mephitis mephitis)、4 只浣熊(Procyon lotor)、2 只山猫(Lynx rufus)、2 只弗吉尼亚负鼠(Didelphis virginiana)、1 只郊狼(Canis latrans)、1 只海狸(Pekania pennanti)和 1 只灰狐(Urocyon cinereoargenteus)。受感染的哺乳动物主要表现为神经症状。坏死性脑膜脑炎、间质性肺炎和心肌坏死是最常见的病变;然而,观察到了病变分布的种间差异。对 48 只动物的序列进行基因型分析表明,这些病例代表了野鸟的溢出感染。

https://cdn.ncbi.nlm.nih.gov/pmc/blobs/01d1/10683806/c553dfaf68fc/23-0464-F1.jpg

文献AI研究员

20分钟写一篇综述,助力文献阅读效率提升50倍。

立即体验

用中文搜PubMed

大模型驱动的PubMed中文搜索引擎

马上搜索

文档翻译

学术文献翻译模型,支持多种主流文档格式。

立即体验